Suppr超能文献

从人胃中分离和鉴定 。

Isolation and characterization of from human stomach.

机构信息

Department of Bacteriology II, National Institute of Infectious Diseases, 208-0011 Tokyo, Japan;

Antimicrobial Research Center, National Institute of Infectious Diseases, 189-0002 Tokyo, Japan.

出版信息

Proc Natl Acad Sci U S A. 2021 Mar 30;118(13). doi: 10.1073/pnas.2026337118.

Abstract

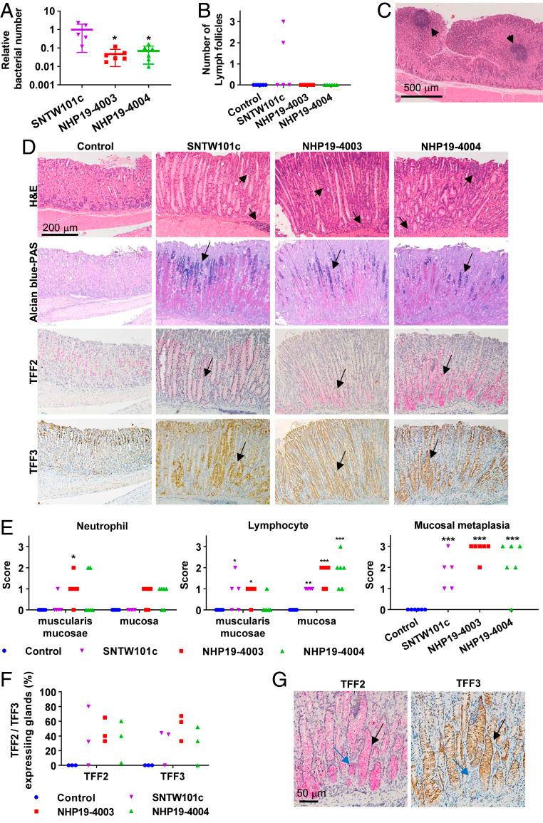
, a bacterial species naturally hosted by pigs, can colonize the human stomach in the context of gastric diseases such as gastric mucosa-associated lymphoid tissue (MALT) lymphoma. Because has been successfully isolated from pigs, but not from humans, evidence linking human infection to gastric diseases has remained incomplete. In this study, we successfully in vitro cultured directly from human stomachs. Unlike , the viability of decreases significantly on neutral pH; therefore, we achieved this using a low-pH medium for transport of gastric biopsies. Ultimately, we isolated from three patients with gastric diseases, including gastric MALT lymphoma. Successful eradication of yielded significant improvements in endoscopic and histopathological findings. Oral infection of mice with clinical isolates elicited gastric and systemic inflammatory responses; in addition, progression of gastric mucosal metaplasia was observed 4 mo postinfection. Because could be isolated from the stomachs of infected mice, our findings satisfied Koch's postulates. Although further prospective clinical studies are needed, , like , is likely a gastric pathogen in humans. Furthermore, comparative genomic analysis of using complete genomes of clinical isolates revealed that the genome of each isolate contained highly plastic genomic regions encoding putative strain-specific virulence factors, including type IV secretion system-associated genes, and that isolates from humans and pigs were genetically very similar, suggesting possible pig-to-human transmission.

摘要

猪源细菌 定植于人类胃部可导致胃部疾病,如胃黏膜相关淋巴组织(MALT)淋巴瘤。因为 已成功从猪体中分离,而从未从人体中分离,所以将人类 感染与胃部疾病联系起来的证据并不完整。在本研究中,我们成功地从人类胃部直接体外培养出 。与 不同, 在中性 pH 值下的生存能力显著下降;因此,我们使用低 pH 值的培养基来运送胃部活检样本。最终,我们从三名患有胃部疾病(包括胃 MALT 淋巴瘤)的患者中分离出了 。成功根除 后,内镜和组织病理学检查发现明显改善。将 临床分离株感染小鼠后,可引发胃部和全身炎症反应;此外,还可观察到胃黏膜化生的进展,感染后 4 个月。由于 可从感染小鼠的胃部分离出来,因此我们的发现满足科赫假设。尽管需要进一步的前瞻性临床研究,但 与 一样,可能是人类胃部的病原体。此外,对使用临床分离株的全基因组进行 的比较基因组分析表明,每个 分离株的基因组都包含高度可塑的基因组区域,这些区域编码潜在的菌株特异性毒力因子,包括 IV 型分泌系统相关基因,而且来自人和猪的 分离株在遗传上非常相似,提示可能存在猪向人传播的情况。

https://cdn.ncbi.nlm.nih.gov/pmc/blobs/ca00/8020762/9939be6361d1/pnas.2026337118fig01.jpg

文献检索

告别复杂PubMed语法,用中文像聊天一样搜索,搜遍4000万医学文献。AI智能推荐,让科研检索更轻松。

立即免费搜索

文件翻译

保留排版,准确专业,支持PDF/Word/PPT等文件格式,支持 12+语言互译。

免费翻译文档

深度研究

AI帮你快速写综述,25分钟生成高质量综述,智能提取关键信息,辅助科研写作。

立即免费体验