Suppr超能文献

G-CSF 和 AMD3100 的联合应用可动员骨髓源性干细胞以防止顺铂诱导的小鼠急性肾损伤。

The combination of G-CSF and AMD3100 mobilizes bone marrow-derived stem cells to protect against cisplatin-induced acute kidney injury in mice.

机构信息

Department of Geriatrics, Tongji Hospital, Tongji Medical College, Huazhong University of Science and Technology, Wuhan, 430030, China.

Department of Urology, Third Hospital of Shanxi Medical University, Shanxi Bethune Hospital, Shanxi Academy of Medical Sciences, Taiyuan, 030032, China.

出版信息

Stem Cell Res Ther. 2021 Mar 24;12(1):209. doi: 10.1186/s13287-021-02268-y.

Abstract

BACKGROUND

Several studies have confirmed that mobilizing bone marrow-derived stem cells (BMSCs) ameliorates renal function loss following cisplatin-induced acute kidney injury (AKI). The aim of this study was to explore whether the combination of granulocyte-colony stimulating factor (G-CSF) and plerixafor (AMD3100) exerts beneficial effects on renal function recovery in a model of cisplatin-induced nephrotoxicity.

METHODS

C57BL/6J mice received intraperitoneal injections of G-CSF (200 μg/kg/day) for 5 consecutive days. On the day of the last injection, the mice received a single subcutaneous dose of AMD3100 (5 mg/kg) 1 h before cisplatin 20 mg/kg injection. Ninety-six hours after cisplatin injection, the mice were euthanized, and blood and tissue samples were collected to assess renal function and tissue damage. Cell mobilization was assessed by flow cytometry (FCM).

RESULTS

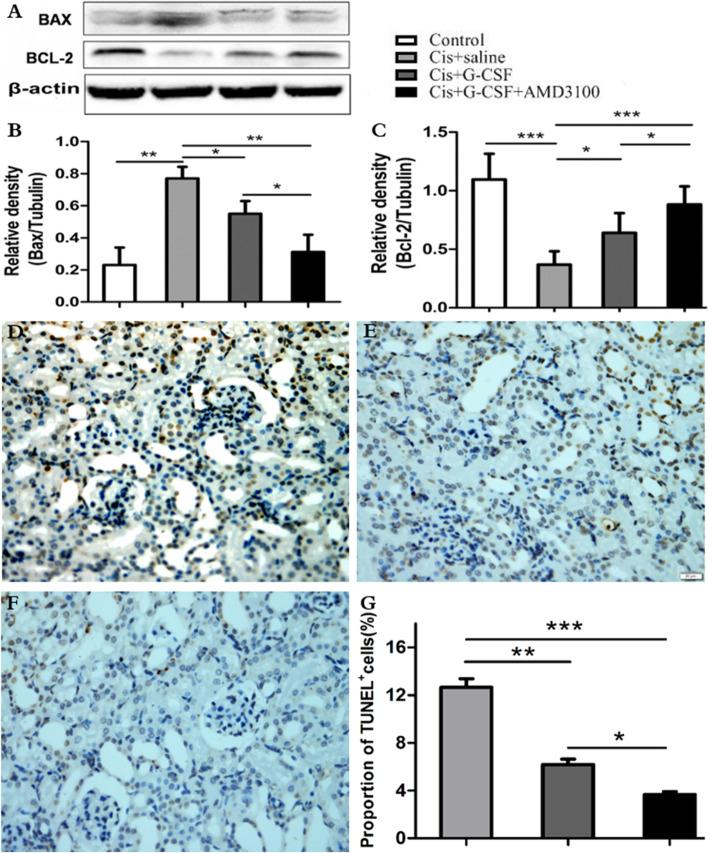
Mice pretreated with G-CSF/AMD3100 exhibited longer survival and lower serum creatinine and blood urea nitrogen (BUN) levels than mice treated with only G-CSF or saline. Combinatorial G-CSF/AMD3100 treatment attenuated tissue injury and cell death, enhanced cell regeneration, and mobilized a higher number of stem cells in the peripheral blood than G-CSF or saline treatment. Furthermore, the mRNA expression of proinflammatory factors was lower, whereas that of anti-inflammatory factors was higher, in the G-CSF/AMD3100 group than in the G-CSF or saline group (all P < 0.05).

CONCLUSIONS

These results suggest that combinatorial G-CSF/AMD3100 therapy mobilizes BMSCs to accelerate improvements in renal functions and prevent cisplatin-induced renal tubular injury. This combinatorial therapy may represent a new therapeutic option for the treatment of AKI and should be further investigated in the future.

摘要

背景

多项研究证实,动员骨髓源性干细胞(BMSCs)可改善顺铂诱导的急性肾损伤(AKI)后的肾功能丧失。本研究旨在探讨粒细胞集落刺激因子(G-CSF)和plerixafor(AMD3100)联合应用对顺铂致肾毒性模型中肾功能恢复的影响。

方法

C57BL/6J 小鼠连续 5 天腹腔注射 G-CSF(200μg/kg/天)。在最后一次注射当天,小鼠在注射顺铂 20mg/kg 前 1 小时接受单次皮下 AMD3100(5mg/kg)剂量。顺铂注射 96 小时后,处死小鼠,采集血液和组织样本,评估肾功能和组织损伤。通过流式细胞术(FCM)评估细胞动员。

结果

与仅接受 G-CSF 或生理盐水治疗的小鼠相比,接受 G-CSF/AMD3100 预处理的小鼠的存活率更高,血清肌酐和血尿素氮(BUN)水平更低。联合 G-CSF/AMD3100 治疗减轻了组织损伤和细胞死亡,增强了细胞再生,并动员了外周血中更多的干细胞,而 G-CSF 或生理盐水治疗则不然。此外,与 G-CSF 或生理盐水组相比,G-CSF/AMD3100 组促炎因子的 mRNA 表达降低,抗炎因子的 mRNA 表达升高(均 P<0.05)。

结论

这些结果表明,联合 G-CSF/AMD3100 治疗动员 BMSCs 加速改善肾功能并预防顺铂诱导的肾小管损伤。这种联合治疗可能为 AKI 的治疗提供一种新的治疗选择,值得在未来进一步研究。

https://cdn.ncbi.nlm.nih.gov/pmc/blobs/4100/7992860/9e83dd8f54cc/13287_2021_2268_Fig1_HTML.jpg

文献AI研究员

20分钟写一篇综述,助力文献阅读效率提升50倍。

立即体验

用中文搜PubMed

大模型驱动的PubMed中文搜索引擎

马上搜索

文档翻译

学术文献翻译模型,支持多种主流文档格式。

立即体验