• 文献检索
  • 文档翻译
  • 深度研究
  • 学术资讯
  • Suppr Zotero 插件Zotero 插件
  • 邀请有礼
  • 套餐&价格
  • 历史记录
应用&插件
Suppr Zotero 插件Zotero 插件浏览器插件Mac 客户端Windows 客户端微信小程序
定价
高级版会员购买积分包购买API积分包
服务
文献检索文档翻译深度研究API 文档MCP 服务
关于我们
关于 Suppr公司介绍联系我们用户协议隐私条款
关注我们

Suppr 超能文献

核心技术专利:CN118964589B侵权必究
粤ICP备2023148730 号-1Suppr @ 2026

文献检索

告别复杂PubMed语法,用中文像聊天一样搜索,搜遍4000万医学文献。AI智能推荐,让科研检索更轻松。

立即免费搜索

文件翻译

保留排版,准确专业,支持PDF/Word/PPT等文件格式,支持 12+语言互译。

免费翻译文档

深度研究

AI帮你快速写综述,25分钟生成高质量综述,智能提取关键信息,辅助科研写作。

立即免费体验

新发ATP1A3变异导致多小脑回畸形。

De novo ATP1A3 variants cause polymicrogyria.

作者信息

Miyatake Satoko, Kato Mitsuhiro, Kumamoto Takuma, Hirose Tomonori, Koshimizu Eriko, Matsui Takaaki, Takeuchi Hideyuki, Doi Hiroshi, Hamada Keisuke, Nakashima Mitsuko, Sasaki Kazunori, Yamashita Akio, Takata Atsushi, Hamanaka Kohei, Satoh Mai, Miyama Takabumi, Sonoda Yuri, Sasazuki Momoko, Torisu Hiroyuki, Hara Toshiro, Sakai Yasunari, Noguchi Yushi, Miura Mazumi, Nishimura Yoko, Nakamura Kazuyuki, Asai Hideyuki, Hinokuma Nodoka, Miya Fuyuki, Tsunoda Tatsuhiko, Togawa Masami, Ikeda Yukihiro, Kimura Nobusuke, Amemiya Kaoru, Horino Asako, Fukuoka Masataka, Ikeda Hiroko, Merhav Goni, Ekhilevitch Nina, Miura Masaki, Mizuguchi Takeshi, Miyake Noriko, Suzuki Atsushi, Ohga Shouichi, Saitsu Hirotomo, Takahashi Hidehisa, Tanaka Fumiaki, Ogata Kazuhiro, Ohtaka-Maruyama Chiaki, Matsumoto Naomichi

机构信息

Department of Human Genetics, Yokohama City University Graduate School of Medicine, Yokohama, Kanagawa 236-0004, Japan.

Clinical Genetics Department, Yokohama City University Hospital, Yokohama, Kanagawa 236-0004, Japan.

出版信息

Sci Adv. 2021 Mar 24;7(13). doi: 10.1126/sciadv.abd2368. Print 2021 Mar.

DOI:10.1126/sciadv.abd2368
PMID:33762331
原文链接:https://pmc.ncbi.nlm.nih.gov/articles/PMC7990330/
Abstract

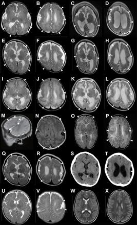
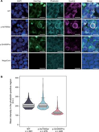
Polymicrogyria is a common malformation of cortical development whose etiology remains elusive. We conducted whole-exome sequencing for 124 patients with polymicrogyria and identified de novo variants in eight patients. Mutated causes functional brain diseases, including alternating hemiplegia of childhood (AHC), rapid-onset dystonia parkinsonism (RDP), and cerebellar ataxia, areflexia, pes cavus, optic nerve atrophy, and sensorineural deafness (CAPOS). However, our patients showed no clinical features of AHC, RDP, or CAPOS and had a completely different phenotype: a severe form of polymicrogyria with epilepsy and developmental delay. Detected variants had different locations in and different functional properties compared with AHC-, RDP-, or CAPOS-associated variants. In the developing cerebral cortex of mice, radial neuronal migration was impaired in neurons overexpressing the variant of the most severe patients, suggesting that this variant is involved in cortical malformation pathogenesis. We propose a previously unidentified category of polymicrogyria associated with abnormalities.

摘要

多小脑回是一种常见的皮质发育畸形,其病因尚不清楚。我们对124例多小脑回患者进行了全外显子组测序,在8例患者中鉴定出新生变异。突变导致功能性脑部疾病,包括儿童交替性偏瘫(AHC)、快速发作性肌张力障碍帕金森综合征(RDP)以及小脑性共济失调、无反射、弓形足、视神经萎缩和感音神经性耳聋(CAPOS)。然而,我们的患者没有AHC、RDP或CAPOS的临床特征,而是具有完全不同的表型:一种伴有癫痫和发育迟缓的严重多小脑回形式。与AHC、RDP或CAPOS相关变异相比,检测到的变异在位置和功能特性上有所不同。在小鼠发育中的大脑皮质中,过表达最严重患者变异体的神经元的放射状神经元迁移受损,这表明该变异体参与了皮质畸形的发病机制。我们提出了一种先前未被识别的与异常相关的多小脑回类型。

https://cdn.ncbi.nlm.nih.gov/pmc/blobs/dbc6/7990330/cff326dba5c7/abd2368-F8.jpg
https://cdn.ncbi.nlm.nih.gov/pmc/blobs/dbc6/7990330/f4cdb4e3dfac/abd2368-F1.jpg
https://cdn.ncbi.nlm.nih.gov/pmc/blobs/dbc6/7990330/51d8467c55c5/abd2368-F2.jpg
https://cdn.ncbi.nlm.nih.gov/pmc/blobs/dbc6/7990330/751520ede3ac/abd2368-F3.jpg
https://cdn.ncbi.nlm.nih.gov/pmc/blobs/dbc6/7990330/8787e5c3bf1e/abd2368-F4.jpg
https://cdn.ncbi.nlm.nih.gov/pmc/blobs/dbc6/7990330/b6f14d1c9a21/abd2368-F5.jpg
https://cdn.ncbi.nlm.nih.gov/pmc/blobs/dbc6/7990330/b0994efd3861/abd2368-F6.jpg
https://cdn.ncbi.nlm.nih.gov/pmc/blobs/dbc6/7990330/6c82e118cba9/abd2368-F7.jpg
https://cdn.ncbi.nlm.nih.gov/pmc/blobs/dbc6/7990330/cff326dba5c7/abd2368-F8.jpg
https://cdn.ncbi.nlm.nih.gov/pmc/blobs/dbc6/7990330/f4cdb4e3dfac/abd2368-F1.jpg
https://cdn.ncbi.nlm.nih.gov/pmc/blobs/dbc6/7990330/51d8467c55c5/abd2368-F2.jpg
https://cdn.ncbi.nlm.nih.gov/pmc/blobs/dbc6/7990330/751520ede3ac/abd2368-F3.jpg
https://cdn.ncbi.nlm.nih.gov/pmc/blobs/dbc6/7990330/8787e5c3bf1e/abd2368-F4.jpg
https://cdn.ncbi.nlm.nih.gov/pmc/blobs/dbc6/7990330/b6f14d1c9a21/abd2368-F5.jpg
https://cdn.ncbi.nlm.nih.gov/pmc/blobs/dbc6/7990330/b0994efd3861/abd2368-F6.jpg
https://cdn.ncbi.nlm.nih.gov/pmc/blobs/dbc6/7990330/6c82e118cba9/abd2368-F7.jpg
https://cdn.ncbi.nlm.nih.gov/pmc/blobs/dbc6/7990330/cff326dba5c7/abd2368-F8.jpg

相似文献

1
De novo ATP1A3 variants cause polymicrogyria.新发ATP1A3变异导致多小脑回畸形。
Sci Adv. 2021 Mar 24;7(13). doi: 10.1126/sciadv.abd2368. Print 2021 Mar.
2
Related Disorder相关病症
3
Hemidystonia with polymicrogyria is part of ATP1A3-related disorders.伴有巨脑回的偏瘫性肌阵挛癫痫是 ATP1A3 相关疾病的一部分。
Brain Dev. 2022 Sep;44(8):567-570. doi: 10.1016/j.braindev.2022.05.001. Epub 2022 May 24.
4
ATP1A3-related phenotypes in Chinese children: AHC, CAPOS, and RECA.中国人 ATP1A3 相关表型:AHC、CAPOS 和 RECA。
Eur J Pediatr. 2023 Feb;182(2):825-836. doi: 10.1007/s00431-022-04744-w. Epub 2022 Dec 9.
5
The expanding spectrum of neurological phenotypes in children with ATP1A3 mutations, Alternating Hemiplegia of Childhood, Rapid-onset Dystonia-Parkinsonism, CAPOS and beyond.ATP1A3 基因突变患儿神经表型谱不断扩大,包括儿童交替性偏瘫、快速进展性肌张力障碍 - 帕金森综合征、CAPOS 及其他。
Pediatr Neurol. 2015 Jan;52(1):56-64. doi: 10.1016/j.pediatrneurol.2014.09.015. Epub 2014 Oct 13.
6
De novo p.Arg756Cys mutation of ATP1A3 causes an atypical form of alternating hemiplegia of childhood with prolonged paralysis and choreoathetosis.ATP1A3基因的新发p.Arg756Cys突变导致一种非典型的儿童交替性偏瘫,伴有长时间麻痹和舞蹈手足徐动症。
BMC Neurol. 2016 Sep 15;16:174. doi: 10.1186/s12883-016-0680-6.
7
Intermediate Phenotypes of ATP1A3 Mutations: Phenotype-Genotype Correlations.ATP1A3突变的中间表型:表型-基因型相关性
Tremor Other Hyperkinet Mov (N Y). 2015 Sep 16;5:336. doi: 10.7916/D8MG7NS8. eCollection 2015.
8
Expanding Phenotype of - Related Disorders: A Case Series.与[具体疾病名称]相关疾病的扩展表型:病例系列
Child Neurol Open. 2021 Nov 3;8:2329048X211048068. doi: 10.1177/2329048X211048068. eCollection 2021 Jan-Dec.
9
Cardiac phenotype in -related syndromes: A multicenter cohort study.- 相关综合征的心脏表型:一项多中心队列研究。
Neurology. 2020 Nov 24;95(21):e2866-e2879. doi: 10.1212/WNL.0000000000010794. Epub 2020 Sep 10.
10
Comparative analysis of alternating hemiplegia of childhood and rapid-onset dystonia-parkinsonism ATP1A3 mutations reveals functional deficits, which do not correlate with disease severity.比较儿童交替性偏瘫和快速进展性肌张力障碍-帕金森病 ATP1A3 突变的分析显示存在功能缺陷,但与疾病严重程度无关。
Neurobiol Dis. 2020 Sep;143:105012. doi: 10.1016/j.nbd.2020.105012. Epub 2020 Jul 10.

引用本文的文献

1
Mogrol Regulates the Expression of ATPase Na+/K+ Transport Subunit 3, Inhibits Cardiomyocyte Apoptosis, and Plays a Protective Role Against Myocardial Infarction.罗汉果甜苷调节ATP酶钠/钾转运亚基3的表达,抑制心肌细胞凋亡,并对心肌梗死起保护作用。
Drug Des Devel Ther. 2025 Mar 2;19:1489-1502. doi: 10.2147/DDDT.S490484. eCollection 2025.
2
Rare Manifestation of ATP1A3 Mutation with Clinical Response to Cannabidiol.ATP1A3 突变的罕见表现及对大麻二酚的临床反应
Ann Indian Acad Neurol. 2024 Sep 1;27(5):588-589. doi: 10.4103/aian.aian_276_24. Epub 2024 Oct 17.
3
study of p.Ala275Pro mutant causing alternating hemiplegia of childhood and rapid-onset dystonia-parkinsonism.

本文引用的文献

1
Direct Readout of Neural Stem Cell Transgenesis with an Integration-Coupled Gene Expression Switch.直接读取神经干细胞基因转导与整合偶联基因表达开关。
Neuron. 2020 Aug 19;107(4):617-630.e6. doi: 10.1016/j.neuron.2020.05.038. Epub 2020 Jun 18.
2
Ion Channel Functions in Early Brain Development.离子通道在早期大脑发育中的作用。
Trends Neurosci. 2020 Feb;43(2):103-114. doi: 10.1016/j.tins.2019.12.004. Epub 2020 Jan 17.
3
Recessive Inheritance of Congenital Hydrocephalus With Other Structural Brain Abnormalities Caused by Compound Heterozygous Mutations in .
导致儿童交替性偏瘫和快速起病的肌张力障碍-帕金森综合征的p.Ala275Pro突变体研究
Front Neurosci. 2024 Jul 31;18:1415576. doi: 10.3389/fnins.2024.1415576. eCollection 2024.
4
ATP1A3 regulates protein synthesis for mitochondrial stability under heat stress.ATP1A3 通过调控蛋白质合成来稳定线粒体在热应激下的功能。
Dis Model Mech. 2024 Jun 1;17(6). doi: 10.1242/dmm.050574. Epub 2024 Jul 2.
5
Disease Spectrum Includes Paroxysmal Weakness and Encephalopathy Not Triggered by Fever.疾病谱包括非发热诱发的阵发性无力和脑病。
Neurol Genet. 2024 Apr 25;10(3):e200150. doi: 10.1212/NXG.0000000000200150. eCollection 2024 Jun.
6
Na+/K+-ATPase: ion pump, signal transducer, or cytoprotective protein, and novel biological functions.钠钾ATP酶:离子泵、信号转导器还是细胞保护蛋白,以及新的生物学功能。
Neural Regen Res. 2024 Dec 1;19(12):2684-2697. doi: 10.4103/NRR.NRR-D-23-01175. Epub 2024 Jan 31.
7
Ectopic HCN4 Provides a Target Biomarker for the Genetic Spectrum of mTORopathies.异位HCN4为mTOR病的基因谱提供了一个靶标生物标志物。
Neurol Genet. 2024 Mar 11;10(2):e200135. doi: 10.1212/NXG.0000000000200135. eCollection 2024 Apr.
8
Cation leak through the ATP1A3 pump causes spasticity and intellectual disability.阳离子通过 ATP1A3 泵渗漏导致痉挛和智力障碍。
Brain. 2023 Aug 1;146(8):3162-3171. doi: 10.1093/brain/awad124.
9
Disease mutations of human α3 Na/K-ATPase define extracellular Na binding/occlusion kinetics at ion binding site III.人类α3钠钾ATP酶的疾病突变定义了离子结合位点III处细胞外钠的结合/封闭动力学。
PNAS Nexus. 2022 Oct 8;1(4):pgac205. doi: 10.1093/pnasnexus/pgac205. eCollection 2022 Sep.
10
The Genetic Landscape of Polymicrogyria.多小脑回畸形的遗传图谱
Ann Indian Acad Neurol. 2022 Jul-Aug;25(4):616-626. doi: 10.4103/aian.aian_97_22. Epub 2022 May 5.
由……中的复合杂合突变引起的先天性脑积水伴其他脑结构异常的隐性遗传
Front Cell Neurosci. 2019 Sep 26;13:425. doi: 10.3389/fncel.2019.00425. eCollection 2019.
4
A novel lethal recognizable polymicrogyric syndrome caused by ATP1A2 homozygous truncating variants.一种新型致命性可识别多微脑回综合征,由 ATP1A2 纯合截短变异引起。
Brain. 2019 Nov 1;142(11):3367-3374. doi: 10.1093/brain/awz272.
5
Genetic abnormalities in a large cohort of Coffin-Siris syndrome patients.一大群 Coffin-Siris 综合征患者的遗传异常。
J Hum Genet. 2019 Dec;64(12):1173-1186. doi: 10.1038/s10038-019-0667-4. Epub 2019 Sep 17.
6
The epileptology of alternating hemiplegia of childhood.儿童交替性偏瘫的癫痫学。
Neurology. 2019 Sep 24;93(13):e1248-e1259. doi: 10.1212/WNL.0000000000008159. Epub 2019 Sep 4.
7
Factors in the disease severity of ATP1A3 mutations: Impairment, misfolding, and allele competition.导致 ATP1A3 突变疾病严重程度的因素:功能障碍、错误折叠和等位基因竞争。
Neurobiol Dis. 2019 Dec;132:104577. doi: 10.1016/j.nbd.2019.104577. Epub 2019 Aug 16.
8
Relapsing encephalopathy with cerebellar ataxia are caused by variants involving p.Arg756 in ATP1A3.伴有小脑共济失调的复发性脑病是由 ATP1A3 中 p.Arg756 变异引起的。
Eur J Paediatr Neurol. 2019 May;23(3):448-455. doi: 10.1016/j.ejpn.2019.02.004. Epub 2019 Feb 22.
9
Functional consequences of the CAPOS mutation E818K of Na,K-ATPase.钠钾-ATP 酶 CAPOS 突变 E818K 的功能后果。
J Biol Chem. 2019 Jan 4;294(1):269-280. doi: 10.1074/jbc.RA118.004591. Epub 2018 Nov 8.
10
Sodium Channel SCN3A (Na1.3) Regulation of Human Cerebral Cortical Folding and Oral Motor Development.钠离子通道 SCN3A(Na1.3)对人脑皮层折叠和口腔运动发育的调控作用。
Neuron. 2018 Sep 5;99(5):905-913.e7. doi: 10.1016/j.neuron.2018.07.052. Epub 2018 Aug 23.