Suppr超能文献

一种用于识别直肠癌肿瘤芽生的人工智能诊断平台的建立及临床应用

Establishment and Clinical Application of an Artificial Intelligence Diagnostic Platform for Identifying Rectal Cancer Tumor Budding.

作者信息

Liu Shanglong, Zhang Yuejuan, Ju Yiheng, Li Ying, Kang Xiaoning, Yang Xiaojuan, Niu Tianye, Xing Xiaoming, Lu Yun

机构信息

Department of Gastrointestinal Surgery, The Affiliated Hospital of Qingdao University, Qingdao, China.

Department of Pathology, The Affiliated Hospital of Qingdao University, Qingdao, China.

出版信息

Front Oncol. 2021 Mar 8;11:626626. doi: 10.3389/fonc.2021.626626. eCollection 2021.

Abstract

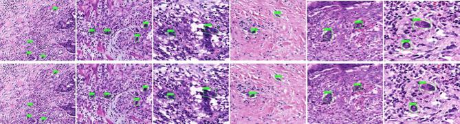
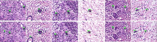
Tumor budding is considered a sign of cancer cell activity and the first step of tumor metastasis. This study aimed to establish an automatic diagnostic platform for rectal cancer budding pathology by training a Faster region-based convolutional neural network (F-R-CNN) on the pathological images of rectal cancer budding. Postoperative pathological section images of 236 patients with rectal cancer from the Affiliated Hospital of Qingdao University, China, taken from January 2015 to January 2017 were used in the analysis. The tumor site was labeled in Label image software. The images of the learning set were trained using Faster R-CNN to establish an automatic diagnostic platform for tumor budding pathology analysis. The images of the test set were used to verify the learning outcome. The diagnostic platform was evaluated through the receiver operating characteristic (ROC) curve. Through training on pathological images of tumor budding, an automatic diagnostic platform for rectal cancer budding pathology was preliminarily established. The precision-recall curves were generated for the precision and recall of the nodule category in the training set. The area under the curve = 0.7414, which indicated that the training of Faster R-CNN was effective. The validation in the validation set yielded an area under the ROC curve of 0.88, indicating that the established artificial intelligence platform performed well at the pathological diagnosis of tumor budding. The established Faster R-CNN deep neural network platform for the pathological diagnosis of rectal cancer tumor budding can help pathologists make more efficient and accurate pathological diagnoses.

摘要

肿瘤芽生被认为是癌细胞活性的标志以及肿瘤转移的第一步。本研究旨在通过在直肠癌芽生病理图像上训练基于区域的快速卷积神经网络(F-R-CNN),建立一个用于直肠癌芽生病理的自动诊断平台。分析使用了2015年1月至2017年1月从中国青岛大学附属医院获取的236例直肠癌患者的术后病理切片图像。在Label image软件中标记肿瘤部位。使用学习集的图像通过Faster R-CNN进行训练,以建立用于肿瘤芽生病理分析的自动诊断平台。使用测试集的图像来验证学习结果。通过受试者工作特征(ROC)曲线对诊断平台进行评估。通过对肿瘤芽生病理图像的训练,初步建立了一个用于直肠癌芽生病理的自动诊断平台。针对训练集中结节类别的精确率和召回率生成了精确率-召回率曲线。曲线下面积=0.7414,这表明Faster R-CNN的训练是有效的。在验证集中的验证得出ROC曲线下面积为0.88,表明所建立的人工智能平台在肿瘤芽生病理诊断方面表现良好。所建立的用于直肠癌肿瘤芽生病理诊断的Faster R-CNN深度神经网络平台可以帮助病理学家做出更高效、准确的病理诊断。

https://cdn.ncbi.nlm.nih.gov/pmc/blobs/b9f5/7982570/2e4ffa30a790/fonc-11-626626-g001.jpg

文献AI研究员

20分钟写一篇综述,助力文献阅读效率提升50倍。

立即体验

用中文搜PubMed

大模型驱动的PubMed中文搜索引擎

马上搜索

文档翻译

学术文献翻译模型,支持多种主流文档格式。

立即体验