• 文献检索
  • 文档翻译
  • 深度研究
  • 学术资讯
  • Suppr Zotero 插件Zotero 插件
  • 邀请有礼
  • 套餐&价格
  • 历史记录
应用&插件
Suppr Zotero 插件Zotero 插件浏览器插件Mac 客户端Windows 客户端微信小程序
定价
高级版会员购买积分包购买API积分包
服务
文献检索文档翻译深度研究API 文档MCP 服务
关于我们
关于 Suppr公司介绍联系我们用户协议隐私条款
关注我们

Suppr 超能文献

核心技术专利:CN118964589B侵权必究
粤ICP备2023148730 号-1Suppr @ 2026

文献检索

告别复杂PubMed语法,用中文像聊天一样搜索,搜遍4000万医学文献。AI智能推荐,让科研检索更轻松。

立即免费搜索

文件翻译

保留排版,准确专业,支持PDF/Word/PPT等文件格式,支持 12+语言互译。

免费翻译文档

深度研究

AI帮你快速写综述,25分钟生成高质量综述,智能提取关键信息,辅助科研写作。

立即免费体验

肺朗格汉斯细胞组织细胞增多症的最新进展

Update on Pulmonary Langerhans Cell Histiocytosis.

作者信息

Radzikowska Elzbieta

机构信息

III Department of Lung Diseases and Oncology, National Tuberculosis and Lung Diseases Research Institute, Warsaw, Poland.

出版信息

Front Med (Lausanne). 2021 Mar 8;7:582581. doi: 10.3389/fmed.2020.582581. eCollection 2020.

DOI:10.3389/fmed.2020.582581
PMID:33763431
原文链接:https://pmc.ncbi.nlm.nih.gov/articles/PMC7982411/
Abstract

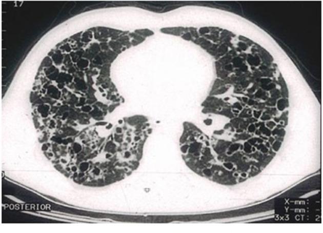
Pulmonary Langerhans cell (LC) histiocytosis (PLCH) has unknown cause and is a rare neoplastic disorder characterized by the infiltration of lungs and various organs by bone marrow-derived Langerhans cells with an accompanying strong inflammatory response. These cells carry somatic mutations of gene and/or , and genes, which cause activation of the mitogen-activated protein kinase (MAPK)/extracellular signal-regulated kinase (ERK) signaling pathway. PLCH occurs predominantly in young smokers, without gender predominance. Lungs might be involved as an isolated organ or as part of a multiorgan disease. High-resolution computed chest tomography plays an outstanding role in PLCH diagnosis. The typical radiological picture of PLCH is the presence of small intralobular nodules, "tree in bud" opacities, cavitated nodules, and thin- and thick-walled cysts, frequently confluent. Histological examination of the lesion and demonstration of characteristic eosinophilic granulomas with the presence of LCs that display antigen CD1a or CD207 in immunohistochemistry are required for definite diagnosis. Smoking cessation is the most important recommendation for PLCH patients, but treatment of progressive PLCH and multisystem disease is based on chemotherapy. Recently, new targeted therapies have been implemented.

摘要

肺朗格汉斯细胞(LC)组织细胞增多症(PLCH)病因不明,是一种罕见的肿瘤性疾病,其特征是骨髓来源的朗格汉斯细胞浸润肺和各种器官,并伴有强烈的炎症反应。这些细胞携带基因和/或基因以及基因的体细胞突变,导致丝裂原活化蛋白激酶(MAPK)/细胞外信号调节激酶(ERK)信号通路激活。PLCH主要发生在年轻吸烟者中,无性别差异。肺部可能作为孤立器官受累,也可能是多器官疾病的一部分。高分辨率胸部计算机断层扫描在PLCH诊断中起着重要作用。PLCH典型的放射学表现为小叶内小结节、“树芽”状阴影、空洞性结节以及薄壁和厚壁囊肿,常相互融合。明确诊断需要对病变进行组织学检查,并在免疫组织化学中显示具有表达抗原CD1a或CD207的LC的特征性嗜酸性肉芽肿。对PLCH患者最重要的建议是戒烟,但对于进行性PLCH和多系统疾病的治疗基于化疗。最近,已实施了新的靶向治疗。

https://cdn.ncbi.nlm.nih.gov/pmc/blobs/41d3/7982411/f0c8bf5eb7db/fmed-07-582581-g0006.jpg
https://cdn.ncbi.nlm.nih.gov/pmc/blobs/41d3/7982411/0de47b61fead/fmed-07-582581-g0001.jpg
https://cdn.ncbi.nlm.nih.gov/pmc/blobs/41d3/7982411/2bd8ec9214b8/fmed-07-582581-g0002.jpg
https://cdn.ncbi.nlm.nih.gov/pmc/blobs/41d3/7982411/0fd02cf5fd5b/fmed-07-582581-g0003.jpg
https://cdn.ncbi.nlm.nih.gov/pmc/blobs/41d3/7982411/af41e5012c19/fmed-07-582581-g0004.jpg
https://cdn.ncbi.nlm.nih.gov/pmc/blobs/41d3/7982411/6ea16e0ed731/fmed-07-582581-g0005.jpg
https://cdn.ncbi.nlm.nih.gov/pmc/blobs/41d3/7982411/f0c8bf5eb7db/fmed-07-582581-g0006.jpg
https://cdn.ncbi.nlm.nih.gov/pmc/blobs/41d3/7982411/0de47b61fead/fmed-07-582581-g0001.jpg
https://cdn.ncbi.nlm.nih.gov/pmc/blobs/41d3/7982411/2bd8ec9214b8/fmed-07-582581-g0002.jpg
https://cdn.ncbi.nlm.nih.gov/pmc/blobs/41d3/7982411/0fd02cf5fd5b/fmed-07-582581-g0003.jpg
https://cdn.ncbi.nlm.nih.gov/pmc/blobs/41d3/7982411/af41e5012c19/fmed-07-582581-g0004.jpg
https://cdn.ncbi.nlm.nih.gov/pmc/blobs/41d3/7982411/6ea16e0ed731/fmed-07-582581-g0005.jpg
https://cdn.ncbi.nlm.nih.gov/pmc/blobs/41d3/7982411/f0c8bf5eb7db/fmed-07-582581-g0006.jpg

相似文献

1
Update on Pulmonary Langerhans Cell Histiocytosis.肺朗格汉斯细胞组织细胞增多症的最新进展
Front Med (Lausanne). 2021 Mar 8;7:582581. doi: 10.3389/fmed.2020.582581. eCollection 2020.
2
Pulmonary Langerhans' cell histiocytosis in adults.成人肺朗格汉斯细胞组织细胞增多症
Adv Respir Med. 2017;85(5):277-289. doi: 10.5603/ARM.a2017.0046. Epub 2017 Oct 30.
3
Clinical analysis for 15 patients with pulmonary Langerhans cell histiocytosis and literature review.15 例肺朗格汉斯细胞组织细胞增生症临床分析并文献复习
Zhong Nan Da Xue Xue Bao Yi Xue Ban. 2022 Mar 28;47(3):334-343. doi: 10.11817/j.issn.1672-7347.2022.210581.
4
Mutually exclusive extracellular signal-regulated kinase pathway mutations are present in different stages of multi-focal pulmonary Langerhans cell histiocytosis supporting clonal nature of the disease.相互排斥的细胞外信号调节激酶通路突变存在于多灶性肺朗格汉斯细胞组织细胞增多症的不同阶段,支持该疾病的克隆性质。
Histopathology. 2016 Sep;69(3):499-509. doi: 10.1111/his.12955. Epub 2016 Apr 29.
5
From the archives of the AFIP: pulmonary Langerhans cell histiocytosis.源自武装部队病理研究所档案:肺朗格汉斯细胞组织细胞增多症。
Radiographics. 2004 May-Jun;24(3):821-41. doi: 10.1148/rg.243045005.
6
Pulmonary Langerhans cell histiocytosis - an update on pathogenesis and treatment.肺朗格汉斯细胞组织细胞增生症——发病机制和治疗的最新进展。
Curr Opin Pulm Med. 2023 Sep 1;29(5):451-458. doi: 10.1097/MCP.0000000000000988. Epub 2023 Jul 6.
7
Presentation of pulmonary Langerhans cell histiocytosis before the development of lung cysts.肺囊肿形成前的肺朗格汉斯细胞组织细胞增多症表现
Respirol Case Rep. 2013 Dec;1(2):34-5. doi: 10.1002/rcr2.11. Epub 2013 Sep 13.
8
Bronchoalveolar Lavage as a Diagnostic Tool in an Atypical Pulmonary Langerhans Cell Histiocytosis.支气管肺泡灌洗作为非典型肺朗格汉斯细胞组织细胞增多症的诊断工具
Diagnostics (Basel). 2022 Jun 4;12(6):1394. doi: 10.3390/diagnostics12061394.
9
Current understanding and management of pulmonary Langerhans cell histiocytosis.目前对肺朗格汉斯细胞组织细胞增生症的认识和管理。
Thorax. 2017 Oct;72(10):937-945. doi: 10.1136/thoraxjnl-2017-210125. Epub 2017 Jul 8.
10
Pulmonary Langerhans Cell Histiocytosis: An Update From the Pathologists' Perspective.肺朗格汉斯细胞组织细胞增多症:病理学家视角的最新进展
Arch Pathol Lab Med. 2016 Mar;140(3):230-40. doi: 10.5858/arpa.2015-0246-RA.

引用本文的文献

1
Pulmonary Langerhans cell histiocytosis: A case series and literature review.肺朗格汉斯细胞组织细胞增多症:病例系列及文献综述
J Clin Imaging Sci. 2025 Jun 10;15:21. doi: 10.25259/JCIS_42_2025. eCollection 2025.
2
Pulmonary langerhans cell histiocytosis secondary to Marijuana use: a case report and systematic review of the literature.大麻使用继发的肺朗格汉斯细胞组织细胞增多症:一例报告及文献系统综述
BMC Pulm Med. 2025 Jan 27;25(1):44. doi: 10.1186/s12890-025-03513-3.
3
Recurrent pneumothoraces in a patient with pulmonary Langerhans cell histiocytosis accompanied with unexpected histological changes.

本文引用的文献

1
Efficacy of BRAF-Inhibitor Therapy in BRAF -Mutated Adult Langerhans Cell Histiocytosis.BRAF抑制剂疗法对BRAF突变型成人朗格汉斯细胞组织细胞增多症的疗效
Oncologist. 2020 Dec;25(12):1001-1004. doi: 10.1002/onco.13541. Epub 2020 Oct 12.
2
Childhood Langerhans cell histiocytosis with severe lung involvement: a nationwide cohort study.儿童朗格汉斯细胞组织细胞增生症伴严重肺部受累:一项全国性队列研究。
Orphanet J Rare Dis. 2020 Sep 9;15(1):241. doi: 10.1186/s13023-020-01495-5.
3
Mechanisms of Exercise Limitation and Prevalence of Pulmonary Hypertension in Pulmonary Langerhans Cell Histiocytosis.
一名患有肺朗格汉斯细胞组织细胞增多症的患者反复出现气胸,并伴有意外的组织学变化。
Arch Clin Cases. 2024 Dec 3;11(4):102-107. doi: 10.22551/2024.45.1104.10298. eCollection 2024.
4
Unravelling diagnostic challenges: A case report of pulmonary langerhans cell histiocytosis with atypical radiologic presentation.解析诊断难题:一例具有非典型放射学表现的肺朗格汉斯细胞组织细胞增多症病例报告
Respirol Case Rep. 2024 Sep 10;12(9):e70004. doi: 10.1002/rcr2.70004. eCollection 2024 Sep.
5
Living-donor lobar lung transplantation for pulmonary Langerhans cell histiocytosis complicated by extensive thrombi in central pulmonary arteries.活体供体肺叶移植治疗合并中央肺动脉广泛血栓形成的肺朗格汉斯细胞组织细胞增多症。
Surg Case Rep. 2024 Jul 11;10(1):169. doi: 10.1186/s40792-024-01968-w.
6
Desquamative interstitial pneumonia: A case report.脱屑性间质性肺炎:一例报告。
Exp Ther Med. 2024 Mar 13;27(5):199. doi: 10.3892/etm.2024.12487. eCollection 2024 May.
7
Pulmonary Langerhan's cell histocystosis presenting with bilateral simultaneous pneumothoraces - Case report.以双侧同时发生气胸为表现的肺朗格汉斯细胞组织细胞增多症——病例报告
Respir Med Case Rep. 2024 Mar 7;48:101999. doi: 10.1016/j.rmcr.2024.101999. eCollection 2024.
8
Pulmonary Langerhans Cell Histiocytosis: An Unusual Differential for a Solitary Lung Nodule.肺朗格汉斯细胞组织细胞增多症:孤立性肺结节的一种不常见鉴别诊断。
Case Rep Pulmonol. 2024 Jan 27;2024:1315222. doi: 10.1155/2024/1315222. eCollection 2024.
9
Solitary Langerhans cell histiocytosis of the sternum in a 21-year-old woman.一名21岁女性的胸骨孤立性朗格汉斯细胞组织细胞增多症。
Clin Case Rep. 2024 Jan 2;12(1):e8391. doi: 10.1002/ccr3.8391. eCollection 2024 Jan.
10
Bronchoalveolar cytokine profile differentiates Pulmonary Langerhans cell histiocytosis patients from other smoking-related interstitial lung diseases.支气管肺泡细胞因子谱可将肺朗格汉斯细胞组织细胞增生症患者与其他与吸烟相关的间质性肺疾病区分开来。
Respir Res. 2023 Dec 18;24(1):320. doi: 10.1186/s12931-023-02622-z.
运动受限的机制与朗格汉斯细胞组织细胞增生症的肺动脉高压患病率。
Chest. 2020 Dec;158(6):2440-2448. doi: 10.1016/j.chest.2020.05.609. Epub 2020 Jun 29.
4
Pulmonary Langerhans Cell Histiocytosis.肺朗格汉斯细胞组织细胞增生症。
Semin Respir Crit Care Med. 2020 Apr;41(2):269-279. doi: 10.1055/s-0039-1700996. Epub 2020 Apr 12.
5
Long-term efficacy and safety of 2CdA (cladribine) in extra-pulmonary adult-onset Langerhans cell histiocytosis: analysis of 23 cases from the French Histiocytosis Group and systematic literature review.2CdA(克拉屈滨)治疗肺外器官发病的成人朗格汉斯细胞组织细胞增生症的长期疗效和安全性:法国组织细胞增生症研究组 23 例病例分析及系统文献复习。
Br J Haematol. 2020 Jun;189(5):869-878. doi: 10.1111/bjh.16449. Epub 2020 Mar 19.
6
Langerhans cell histiocytosis.朗格汉斯细胞组织细胞增生症。
Blood. 2020 Apr 16;135(16):1319-1331. doi: 10.1182/blood.2019000934.
7
MAPK mutations and cigarette smoke promote the pathogenesis of pulmonary Langerhans cell histiocytosis.丝裂原活化蛋白激酶(MAPK)突变和香烟烟雾促进肺朗格汉斯细胞组织细胞增多症的发病机制。
JCI Insight. 2020 Feb 27;5(4):132048. doi: 10.1172/jci.insight.132048.
8
Genetic landscape of adult Langerhans cell histiocytosis with lung involvement.伴有肺部受累的成人朗格汉斯细胞组织细胞增多症的基因图谱。
Eur Respir J. 2020 Feb 27;55(2). doi: 10.1183/13993003.01190-2019. Print 2020 Feb.
9
Management and outcomes of pneumothorax in adult patients with Langerhans cell Histiocytosis.成人朗格汉斯细胞组织细胞增生症患者气胸的管理和结局。
Orphanet J Rare Dis. 2019 Oct 21;14(1):229. doi: 10.1186/s13023-019-1203-5.
10
Spontaneous pneumothorax and air travel in Pulmonary Langerhans cell histiocytosis: A patient survey.肺朗格汉斯细胞组织细胞增多症中的自发性气胸与航空旅行:一项患者调查
Respir Investig. 2019 Nov;57(6):582-589. doi: 10.1016/j.resinv.2019.07.004. Epub 2019 Sep 26.