Suppr超能文献

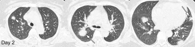
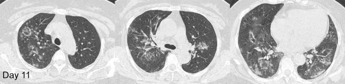
Longitudinal CT Findings in COVID-19 Pneumonia: Case Presenting Organizing Pneumonia Pattern.

作者信息

Wu Yan, Xie Yuan-Liang, Wang Xiang

机构信息

Department of Radiology, Central Hospital of Wuhan, Tongji Medical College, Huazhong University of Science and Technology, Wuhan, 430014, China.

出版信息

Radiol Cardiothorac Imaging. 2020 Feb 14;2(1):e200031. doi: 10.1148/ryct.2020200031. eCollection 2020 Feb.

Abstract
摘要
https://cdn.ncbi.nlm.nih.gov/pmc/blobs/3129/7977985/2bcbc8ff42c2/ryct.2020200031.fig1a.jpg

文献检索

告别复杂PubMed语法,用中文像聊天一样搜索,搜遍4000万医学文献。AI智能推荐,让科研检索更轻松。

立即免费搜索

文件翻译

保留排版,准确专业,支持PDF/Word/PPT等文件格式,支持 12+语言互译。

免费翻译文档

深度研究

AI帮你快速写综述,25分钟生成高质量综述,智能提取关键信息,辅助科研写作。

立即免费体验