• 文献检索
  • 文档翻译
  • 深度研究
  • 学术资讯
  • Suppr Zotero 插件Zotero 插件
  • 邀请有礼
  • 套餐&价格
  • 历史记录
应用&插件
Suppr Zotero 插件Zotero 插件浏览器插件Mac 客户端Windows 客户端微信小程序
定价
高级版会员购买积分包购买API积分包
服务
文献检索文档翻译深度研究API 文档MCP 服务
关于我们
关于 Suppr公司介绍联系我们用户协议隐私条款
关注我们

Suppr 超能文献

核心技术专利:CN118964589B侵权必究
粤ICP备2023148730 号-1Suppr @ 2026

文献检索

告别复杂PubMed语法,用中文像聊天一样搜索,搜遍4000万医学文献。AI智能推荐,让科研检索更轻松。

立即免费搜索

文件翻译

保留排版,准确专业,支持PDF/Word/PPT等文件格式,支持 12+语言互译。

免费翻译文档

深度研究

AI帮你快速写综述,25分钟生成高质量综述,智能提取关键信息,辅助科研写作。

立即免费体验

微小RNA-132/212通过抑制肌浆网钙ATP酶2a损害衰竭心脏中心肌细胞的收缩力。

miR-132/212 Impairs Cardiomyocytes Contractility in the Failing Heart by Suppressing SERCA2a.

作者信息

Lei Zhiyong, Wahlquist Christine, El Azzouzi Hamid, Deddens Janine C, Kuster Diederik, van Mil Alain, Rojas-Munoz Agustin, Huibers Manon M, Mercola Mark, de Weger Roel, Van der Velden Jolanda, Xiao Junjie, Doevendans Pieter A, Sluijter Joost P G

机构信息

Experimental Cardiology Laboratory, Division Heart and Lungs, Department of Cardiology, University Medical Center Utrecht, Utrecht, Netherlands.

Division Lab, Central Diagnosis Laboratory Research, University Medical Center Utrecht, Utrecht, Netherlands.

出版信息

Front Cardiovasc Med. 2021 Mar 19;8:592362. doi: 10.3389/fcvm.2021.592362. eCollection 2021.

DOI:10.3389/fcvm.2021.592362
PMID:33816571
原文链接:https://pmc.ncbi.nlm.nih.gov/articles/PMC8017124/
Abstract

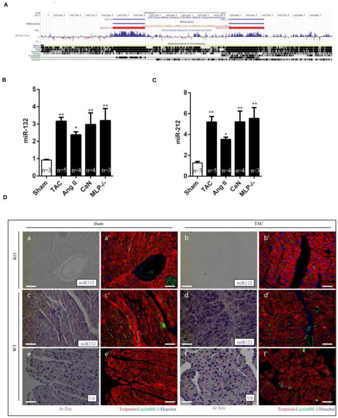
Compromised cardiac function is a hallmark for heart failure, mostly appearing as decreased contractile capacity due to dysregulated calcium handling. Unfortunately, the underlying mechanism causing impaired calcium handling is still not fully understood. Previously the miR-132/212 family was identified as a regulator of cardiac function in the failing mouse heart, and pharmaceutically inhibition of miR-132 is beneficial for heart failure. In this study, we further investigated the molecular mechanisms of miR-132/212 in modulating cardiomyocyte contractility in the context of the pathological progression of heart failure. We found that upregulated miR-132/212 expressions in all examined hypertrophic heart failure mice models. The overexpression of miR-132/212 prolongs calcium decay in isolated neonatal rat cardiomyocytes, whereas cardiomyocytes isolated from miR-132/212 KO mice display enhanced contractility in comparison to wild type controls. In response to chronic pressure-overload, miR-132/212 KO mice exhibited a blunted deterioration of cardiac function. Using a combination of biochemical approaches and assays, we confirmed that miR-132/212 regulates SERCA2a by targeting the 3'-end untranslated region of SERCA2a. Additionally, we also confirmed PTEN as a direct target of miR-132/212 and potentially participates in the cardiac response to miR132/212. In end-stage heart failure patients, miR-132/212 is upregulated and correlates with reduced SERCA2a expression. The up-regulation of miR-132/212 in heart failure impairs cardiac contractile function by targeting SERCA2a, suggesting that pharmaceutical inhibition of miR-132/212 might be a promising therapeutic approach to promote cardiac function in heart failure patients.

摘要

心脏功能受损是心力衰竭的一个标志,主要表现为由于钙处理失调导致的收缩能力下降。不幸的是,导致钙处理受损的潜在机制仍未完全清楚。先前已确定miR-132/212家族是衰竭小鼠心脏中心脏功能的调节因子,对miR-132的药物抑制对心力衰竭有益。在本研究中,我们进一步研究了miR-132/212在心力衰竭病理进展背景下调节心肌细胞收缩性的分子机制。我们发现,在所有检测的肥厚性心力衰竭小鼠模型中,miR-132/212表达上调。miR-132/212的过表达延长了分离的新生大鼠心肌细胞中的钙衰减,而与野生型对照相比,从miR-132/212基因敲除小鼠分离的心肌细胞表现出增强的收缩性。在慢性压力超负荷反应中,miR-132/212基因敲除小鼠的心脏功能恶化减弱。通过结合生化方法和检测,我们证实miR-132/212通过靶向SERCA2a的3'-末端非翻译区来调节SERCA2a。此外,我们还证实PTEN是miR-132/212的直接靶点,并可能参与对miR132/212的心脏反应。在终末期心力衰竭患者中,miR-132/212上调并与SERCA2a表达降低相关。心力衰竭中miR-132/212的上调通过靶向SERCA2a损害心脏收缩功能,提示对miR-132/212的药物抑制可能是促进心力衰竭患者心脏功能的一种有前景的治疗方法。

https://cdn.ncbi.nlm.nih.gov/pmc/blobs/ffe2/8017124/cb2f1534a21a/fcvm-08-592362-g0006.jpg
https://cdn.ncbi.nlm.nih.gov/pmc/blobs/ffe2/8017124/d13ceadc870b/fcvm-08-592362-g0001.jpg
https://cdn.ncbi.nlm.nih.gov/pmc/blobs/ffe2/8017124/589b4601921b/fcvm-08-592362-g0002.jpg
https://cdn.ncbi.nlm.nih.gov/pmc/blobs/ffe2/8017124/eaf6f09830de/fcvm-08-592362-g0003.jpg
https://cdn.ncbi.nlm.nih.gov/pmc/blobs/ffe2/8017124/35c340046222/fcvm-08-592362-g0004.jpg
https://cdn.ncbi.nlm.nih.gov/pmc/blobs/ffe2/8017124/e301a31c2cf5/fcvm-08-592362-g0005.jpg
https://cdn.ncbi.nlm.nih.gov/pmc/blobs/ffe2/8017124/cb2f1534a21a/fcvm-08-592362-g0006.jpg
https://cdn.ncbi.nlm.nih.gov/pmc/blobs/ffe2/8017124/d13ceadc870b/fcvm-08-592362-g0001.jpg
https://cdn.ncbi.nlm.nih.gov/pmc/blobs/ffe2/8017124/589b4601921b/fcvm-08-592362-g0002.jpg
https://cdn.ncbi.nlm.nih.gov/pmc/blobs/ffe2/8017124/eaf6f09830de/fcvm-08-592362-g0003.jpg
https://cdn.ncbi.nlm.nih.gov/pmc/blobs/ffe2/8017124/35c340046222/fcvm-08-592362-g0004.jpg
https://cdn.ncbi.nlm.nih.gov/pmc/blobs/ffe2/8017124/e301a31c2cf5/fcvm-08-592362-g0005.jpg
https://cdn.ncbi.nlm.nih.gov/pmc/blobs/ffe2/8017124/cb2f1534a21a/fcvm-08-592362-g0006.jpg

相似文献

1
miR-132/212 Impairs Cardiomyocytes Contractility in the Failing Heart by Suppressing SERCA2a.微小RNA-132/212通过抑制肌浆网钙ATP酶2a损害衰竭心脏中心肌细胞的收缩力。
Front Cardiovasc Med. 2021 Mar 19;8:592362. doi: 10.3389/fcvm.2021.592362. eCollection 2021.
2
Mettl13 protects against cardiac contractile dysfunction by negatively regulating C-Cbl-mediated ubiquitination of SERCA2a in ischemic heart failure.Mettl13通过负向调节缺血性心力衰竭中C-Cbl介导的肌浆网钙ATP酶2a(SERCA2a)泛素化来预防心脏收缩功能障碍。
Sci China Life Sci. 2023 Dec;66(12):2786-2804. doi: 10.1007/s11427-022-2351-1. Epub 2023 Jul 11.
3
HIF-1 regulation of miR-29c impairs SERCA2 expression and cardiac contractility.低氧诱导因子-1 对 miR-29c 的调控作用可损害肌浆网钙泵 2 的表达和心脏收缩力。
Am J Physiol Heart Circ Physiol. 2019 Mar 1;316(3):H554-H565. doi: 10.1152/ajpheart.00617.2018. Epub 2018 Dec 21.
4
Cardiac-specific overexpression of sarcolipin in phospholamban null mice impairs myocyte function that is restored by phosphorylation.在肌浆网磷酸受纳蛋白缺失小鼠中,肌浆网膜蛋白在心脏特异性过表达会损害心肌细胞功能,而这种损害可通过磷酸化作用得以恢复。
Proc Natl Acad Sci U S A. 2006 Feb 14;103(7):2446-51. doi: 10.1073/pnas.0510883103. Epub 2006 Feb 6.
5
Deletion of the inducible 70-kDa heat shock protein genes in mice impairs cardiac contractile function and calcium handling associated with hypertrophy.小鼠中诱导型70 kDa热休克蛋白基因的缺失会损害与肥大相关的心脏收缩功能和钙处理。
Circulation. 2006 Jun 6;113(22):2589-97. doi: 10.1161/CIRCULATIONAHA.105.598409. Epub 2006 May 30.
6
MicroRNA-328 as a regulator of cardiac hypertrophy.微小RNA-328作为心脏肥大的调节因子
Int J Cardiol. 2014 May 1;173(2):268-76. doi: 10.1016/j.ijcard.2014.02.035. Epub 2014 Feb 28.
7
LncRNA as a SERCA2a Inhibitor to Cause Intracellular Ca Overload and Contractile Dysfunction in a Mouse Model of Myocardial Infarction.长链非编码 RNA 作为肌浆网钙 ATP 酶 2a 抑制剂导致心肌梗死后小鼠模型的细胞内钙超载和收缩功能障碍。
Circ Res. 2018 May 11;122(10):1354-1368. doi: 10.1161/CIRCRESAHA.117.312117. Epub 2018 Feb 23.
8
Targeting Ca2+ cycling proteins and the action potential in heart failure by gene transfer.通过基因转移靶向心力衰竭中的钙循环蛋白和动作电位。
Basic Res Cardiol. 2002;97 Suppl 1:I136-45. doi: 10.1007/s003950200042.
9
Cardiac-specific overexpression of sarcolipin inhibits sarco(endo)plasmic reticulum Ca2+ ATPase (SERCA2a) activity and impairs cardiac function in mice.肌浆球蛋白在心脏中的特异性过表达会抑制肌浆网Ca2+ATP酶(SERCA2a)的活性,并损害小鼠的心脏功能。
Proc Natl Acad Sci U S A. 2004 Jun 22;101(25):9199-204. doi: 10.1073/pnas.0402596101. Epub 2004 Jun 16.
10
[Expressions of SERCA2a and miR-25-3p/5p in myocardium of rats with heart failure and therapeutic effects of Xiefei Lishui recipe].[心力衰竭大鼠心肌中肌浆网Ca²⁺-ATP酶2a及微小RNA-25-3p/5p的表达及泻肺利水方的治疗作用]
Zhongguo Ying Yong Sheng Li Xue Za Zhi. 2017 Feb 8;33(2):146-150. doi: 10.12047/j.cjap.5449.2017.037.

引用本文的文献

1
Epigenetic Mechanisms in Heart Diseases.心脏病中的表观遗传机制
Rev Cardiovasc Med. 2025 Jul 30;26(7):38696. doi: 10.31083/RCM38696. eCollection 2025 Jul.
2
MAPK, PI3K/Akt Pathways, and GSK-3β Activity in Severe Acute Heart Failure in Intensive Care Patients: An Updated Review.重症监护患者严重急性心力衰竭中的丝裂原活化蛋白激酶、磷脂酰肌醇-3激酶/蛋白激酶B信号通路及糖原合成酶激酶-3β活性:最新综述
J Cardiovasc Dev Dis. 2025 Jul 10;12(7):266. doi: 10.3390/jcdd12070266.
3
Exercise mediates myocardial infarction via non-coding RNAs.运动通过非编码RNA介导心肌梗死。

本文引用的文献

1
Loss of miR-132/212 Has No Long-Term Beneficial Effect on Cardiac Function After Permanent Coronary Occlusion in Mice.在小鼠永久性冠状动脉闭塞后,miR-132/212缺失对心脏功能无长期有益影响。
Front Physiol. 2020 Jun 16;11:590. doi: 10.3389/fphys.2020.00590. eCollection 2020.
2
Control of Angiogenesis via a VHL/miR-212/132 Axis.通过 VHL/miR-212/132 轴控制血管生成。
Cells. 2020 Apr 19;9(4):1017. doi: 10.3390/cells9041017.
3
Preclinical development of a miR-132 inhibitor for heart failure treatment.用于心力衰竭治疗的 miR-132 抑制剂的临床前开发。
Front Cardiovasc Med. 2024 Nov 1;11:1432468. doi: 10.3389/fcvm.2024.1432468. eCollection 2024.
4
Profiling Reduced Expression of Contractile and Mitochondrial mRNAs in the Human Sinoatrial Node vs. Right Atrium and Predicting Their Suppressed Expression by Transcription Factors and/or microRNAs.在人心房结与右心房中,收缩和线粒体 mRNA 的表达降低情况分析,及其受转录因子和/或 microRNAs 抑制表达的预测。
Int J Mol Sci. 2024 Sep 27;25(19):10402. doi: 10.3390/ijms251910402.
5
Upregulation of Serum miR-132 and miR-152 in Vietnamese Patients with Heart Failure.越南心力衰竭患者血清miR-132和miR-152的上调
Malays J Med Sci. 2024 Aug;31(4):91-100. doi: 10.21315/mjms2024.31.4.7. Epub 2024 Aug 27.
6
Cardiovascular Disease and miRNAs: Possible Oxidative Stress-Regulating Roles of miRNAs.心血管疾病与微小RNA:微小RNA可能的氧化应激调节作用
Antioxidants (Basel). 2024 May 27;13(6):656. doi: 10.3390/antiox13060656.
7
Non-coding RNAs as therapeutic targets and biomarkers in ischaemic heart disease.非编码RNA作为缺血性心脏病的治疗靶点和生物标志物
Nat Rev Cardiol. 2024 Aug;21(8):556-573. doi: 10.1038/s41569-024-01001-5. Epub 2024 Mar 18.
8
The Mechanisms of miRNAs on Target Regulation and their Recent Advances in Atherosclerosis.miRNAs 对靶调控的机制及其在动脉粥样硬化中的最新进展。
Curr Med Chem. 2024;31(35):5779-5804. doi: 10.2174/0109298673253678230920054220.
9
Estrogen-mediated mitigation of cardiac oxidative stress in ovariectomized rats is associated with upregulated cardiac circadian clock Per2 and heart-specific miRNAs.雌激素介导的去卵巢大鼠心脏氧化应激缓解与心脏生物钟 Per2 和心脏特异性 miRNA 的上调有关。
Life Sci. 2023 Oct 15;331:122038. doi: 10.1016/j.lfs.2023.122038. Epub 2023 Aug 22.
10
Targeting calcium regulators as therapy for heart failure: focus on the sarcoplasmic reticulum Ca-ATPase pump.将钙调节因子作为心力衰竭的治疗靶点:聚焦于肌浆网钙ATP酶泵
Front Cardiovasc Med. 2023 Jul 18;10:1185261. doi: 10.3389/fcvm.2023.1185261. eCollection 2023.
Nat Commun. 2020 Jan 31;11(1):633. doi: 10.1038/s41467-020-14349-2.
4
MMISH: Multicolor microRNA hybridization for paraffin embedded samples.MMISH:用于石蜡包埋样本的多色微小RNA杂交
Biotechnol Rep (Amst). 2018 May 1;18:e00255. doi: 10.1016/j.btre.2018.e00255. eCollection 2018 Jun.
5
Predicting effective microRNA target sites in mammalian mRNAs.预测哺乳动物mRNA中有效的微小RNA靶位点。
Elife. 2015 Aug 12;4:e05005. doi: 10.7554/eLife.05005.
6
MicroRNA-132/212 family enhances arteriogenesis after hindlimb ischaemia through modulation of the Ras-MAPK pathway.微小RNA-132/212家族通过调节Ras-MAPK途径增强后肢缺血后的动脉生成。
J Cell Mol Med. 2015 Aug;19(8):1994-2005. doi: 10.1111/jcmm.12586. Epub 2015 May 6.
7
Vascular importance of the miR-212/132 cluster.miR-212/132 簇的血管重要性。
Eur Heart J. 2014 Dec 1;35(45):3224-31. doi: 10.1093/eurheartj/ehu344. Epub 2014 Sep 12.
8
miR-212 and miR-132 are dispensable for mouse mammary gland development.miR-212和miR-132对小鼠乳腺发育并非必需。
Nat Genet. 2014 Aug;46(8):802-4. doi: 10.1038/ng.2990.
9
Targeted delivery of miRNA therapeutics for cardiovascular diseases: opportunities and challenges.针对心血管疾病的 miRNA 治疗药物的靶向递送:机遇与挑战。
Clin Sci (Lond). 2014 Sep;127(6):351-65. doi: 10.1042/CS20140005.
10
Inhibition of miR-25 improves cardiac contractility in the failing heart.抑制 miR-25 可改善心力衰竭心脏的收缩功能。
Nature. 2014 Apr 24;508(7497):531-5. doi: 10.1038/nature13073. Epub 2014 Mar 12.