• 文献检索
  • 文档翻译
  • 深度研究
  • 学术资讯
  • Suppr Zotero 插件Zotero 插件
  • 邀请有礼
  • 套餐&价格
  • 历史记录
应用&插件
Suppr Zotero 插件Zotero 插件浏览器插件Mac 客户端Windows 客户端微信小程序
定价
高级版会员购买积分包购买API积分包
服务
文献检索文档翻译深度研究API 文档MCP 服务
关于我们
关于 Suppr公司介绍联系我们用户协议隐私条款
关注我们

Suppr 超能文献

核心技术专利:CN118964589B侵权必究
粤ICP备2023148730 号-1Suppr @ 2026

文献检索

告别复杂PubMed语法,用中文像聊天一样搜索,搜遍4000万医学文献。AI智能推荐,让科研检索更轻松。

立即免费搜索

文件翻译

保留排版,准确专业,支持PDF/Word/PPT等文件格式,支持 12+语言互译。

免费翻译文档

深度研究

AI帮你快速写综述,25分钟生成高质量综述,智能提取关键信息,辅助科研写作。

立即免费体验

伴有潜伏性结核感染的恶性腹膜间皮瘤

Malignant Peritoneal Mesothelioma with Latent Tuberculosis Infection.

作者信息

Inoue Naonori, Takumi Kei, Sone Daiki, Shirakawa Atsushi, Kawamura Takuji, Uno Koji

机构信息

Department of Gastroenterology, Kyoto Second Red Cross Hospital, Japan.

出版信息

Intern Med. 2021 Nov 1;60(21):3409-3412. doi: 10.2169/internalmedicine.7130-21. Epub 2021 Apr 12.

DOI:10.2169/internalmedicine.7130-21
PMID:33840700
原文链接:https://pmc.ncbi.nlm.nih.gov/articles/PMC8627804/
Abstract

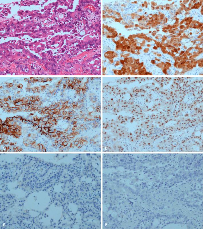
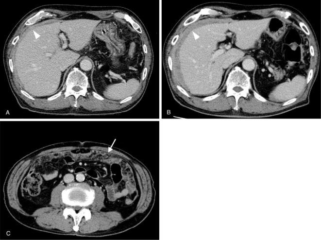
Malignant peritoneal mesothelioma (MPM) is a rare malignant tumor with peritoneal thickening. Tuberculous peritonitis also shows peritoneal thickening, so differentiating between the two is important but difficult if latent tuberculosis infection (LTBI) is present. We herein report a patient with MPM and LTBI. A 79-year-old man was diagnosed with peritoneal thickening on computed tomography. Interferon gamma release assay (IGRA) results were positive, suggesting tuberculous peritonitis. He underwent a laparoscopic omental biopsy and was diagnosed with MPM, which can occur together with LTBI. If peritoneal thickening is observed, an IGRA should be performed early, and the possibility of LTBI should be considered.

摘要

恶性腹膜间皮瘤(MPM)是一种伴有腹膜增厚的罕见恶性肿瘤。结核性腹膜炎也表现为腹膜增厚,因此区分两者很重要,但如果存在潜伏性结核感染(LTBI)则很难区分。我们在此报告一例患有MPM和LTBI的患者。一名79岁男性在计算机断层扫描中被诊断为腹膜增厚。干扰素γ释放试验(IGRA)结果呈阳性,提示结核性腹膜炎。他接受了腹腔镜网膜活检,被诊断为MPM,MPM可与LTBI同时发生。如果观察到腹膜增厚,应尽早进行IGRA检查,并考虑LTBI的可能性。

https://cdn.ncbi.nlm.nih.gov/pmc/blobs/54a4/8627804/16b37a97c28e/1349-7235-60-3409-g003.jpg
https://cdn.ncbi.nlm.nih.gov/pmc/blobs/54a4/8627804/f174f2e5f3a1/1349-7235-60-3409-g001.jpg
https://cdn.ncbi.nlm.nih.gov/pmc/blobs/54a4/8627804/6b6496df8e6b/1349-7235-60-3409-g002.jpg
https://cdn.ncbi.nlm.nih.gov/pmc/blobs/54a4/8627804/16b37a97c28e/1349-7235-60-3409-g003.jpg
https://cdn.ncbi.nlm.nih.gov/pmc/blobs/54a4/8627804/f174f2e5f3a1/1349-7235-60-3409-g001.jpg
https://cdn.ncbi.nlm.nih.gov/pmc/blobs/54a4/8627804/6b6496df8e6b/1349-7235-60-3409-g002.jpg
https://cdn.ncbi.nlm.nih.gov/pmc/blobs/54a4/8627804/16b37a97c28e/1349-7235-60-3409-g003.jpg

相似文献

1
Malignant Peritoneal Mesothelioma with Latent Tuberculosis Infection.伴有潜伏性结核感染的恶性腹膜间皮瘤
Intern Med. 2021 Nov 1;60(21):3409-3412. doi: 10.2169/internalmedicine.7130-21. Epub 2021 Apr 12.
2
Interferon-γ release assay as a sensitive diagnostic tool of latent tuberculosis infection in patients with HIV: a cross-sectional study.干扰素-γ 释放试验作为 HIV 患者潜伏性结核感染的敏感诊断工具:一项横断面研究。
BMC Infect Dis. 2018 Nov 19;18(1):585. doi: 10.1186/s12879-018-3508-8.
3
CT differentiation of malignant peritoneal mesothelioma and tuberculous peritonitis.CT 鉴别恶性腹膜间皮瘤与结核性腹膜炎。
Radiol Med. 2016 Apr;121(4):253-60. doi: 10.1007/s11547-015-0609-y. Epub 2015 Dec 11.
4
Diffuse malignant peritoneal mesothelioma.弥漫性恶性腹膜间皮瘤。
Kaohsiung J Med Sci. 2013 Nov;29(11):642-5. doi: 10.1016/j.kjms.2013.05.003. Epub 2013 Aug 12.
5
Combined IFN-γ and TNF-α release assay for differentiating active tuberculosis from latent tuberculosis infection.联合 IFN-γ 和 TNF-α 释放试验鉴别活动性结核病与潜伏性结核感染。
J Infect. 2018 Oct;77(4):314-320. doi: 10.1016/j.jinf.2018.04.011. Epub 2018 May 8.
6
Chest roentgenography is complementary to interferon-gamma release assay in latent tuberculosis infection screening of rheumatic patients.胸部 X 光检查对风湿患者潜伏性结核感染筛查中干扰素 -γ 释放试验有补充作用。
BMC Pulm Med. 2020 Aug 31;20(1):232. doi: 10.1186/s12890-020-01274-9.
7
Prevalence of Mycobacterium tuberculosis infection as measured by the QuantiFERON-TB Gold assay and ESAT-6 free IGRA among adolescents in Mwanza, Tanzania.在坦桑尼亚姆万扎,采用 QuantiFERON-TB Gold assay 和 ESAT-6 free IGRA 检测青少年结核分枝杆菌感染的流行率。
PLoS One. 2021 Jun 7;16(6):e0252808. doi: 10.1371/journal.pone.0252808. eCollection 2021.
8
The use of an interferon-gamma release assay to screen for pediatric latent tuberculosis infection in the eastern region of the Emirate of Abu Dhabi.在阿布扎比酋长国东部使用干扰素 - γ 释放试验筛查儿童潜伏性结核感染。
Int J Infect Dis. 2014 Jun;23:4-7. doi: 10.1016/j.ijid.2013.12.020. Epub 2014 Mar 19.
9
Comparison of latent tuberculosis infection screening strategies before tumor necrosis factor inhibitor treatment in inflammatory arthritis: IGRA-alone versus combination of TST and IGRA.比较肿瘤坏死因子抑制剂治疗前炎症性关节炎潜伏性结核感染筛查策略:IGRA 单独与 TST 和 IGRA 联合。
PLoS One. 2018 Jul 5;13(7):e0198756. doi: 10.1371/journal.pone.0198756. eCollection 2018.
10
Tuberculin skin testing and treatment modulates interferon-gamma release assay results for latent tuberculosis in migrants.结核菌素皮肤试验及治疗会影响移民中潜伏性结核的干扰素-γ释放试验结果。
PLoS One. 2014 May 9;9(5):e97366. doi: 10.1371/journal.pone.0097366. eCollection 2014.

引用本文的文献

1
Clinical significance of 9P21 gene combined with BAP1 and MTAP protein expression in diagnosis and prognosis of mesothelioma serous effusion.9P21基因联合BAP1和MTAP蛋白表达在间皮瘤性浆液性胸腔积液诊断及预后中的临床意义
Biomed Rep. 2022 Jun 7;17(2):66. doi: 10.3892/br.2022.1549. eCollection 2022 Aug.

本文引用的文献

1
Clinical value of CT-guided percutaneous fine-needle aspiration biopsy for peritoneal lesions.CT 引导下经皮细针穿刺活检在腹膜病变中的临床价值。
BMC Med Imaging. 2020 Nov 2;20(1):122. doi: 10.1186/s12880-020-00512-0.
2
Meningeal metastasis of a malignant peritoneal mesothelioma: A case report and literature review.恶性腹膜间皮瘤脑膜转移:病例报告及文献复习。
Cancer Biol Ther. 2019;20(12):1409-1415. doi: 10.1080/15384047.2019.1647053. Epub 2019 Aug 14.
3
Differences between peritoneal and pleural mesothelioma in Lombardy, Italy.
意大利伦巴第地区腹膜间皮瘤与胸膜间皮瘤的差异。
Cancer Epidemiol. 2017 Dec;51:68-73. doi: 10.1016/j.canep.2017.10.003. Epub 2017 Oct 23.
4
Co-existing tuberculosis and malignant mesothelioma with multiple sites venous thrombosis: a case report.并存肺结核与恶性间皮瘤伴多部位静脉血栓形成:一例报告
BMC Res Notes. 2016 Aug 19;9(1):409. doi: 10.1186/s13104-016-2215-z.
5
CT differentiation of malignant peritoneal mesothelioma and tuberculous peritonitis.CT 鉴别恶性腹膜间皮瘤与结核性腹膜炎。
Radiol Med. 2016 Apr;121(4):253-60. doi: 10.1007/s11547-015-0609-y. Epub 2015 Dec 11.
6
Tuberculosis and risk of cancer: a Danish nationwide cohort study.结核病与癌症风险:一项丹麦全国性队列研究。
Int J Tuberc Lung Dis. 2014 Oct;18(10):1211-9. doi: 10.5588/ijtld.14.0161.
7
From the archives of the AFIP: primary peritoneal tumors: imaging features with pathologic correlation.源自武装部队病理研究所档案:原发性腹膜肿瘤:影像学特征与病理对照
Radiographics. 2008 Mar-Apr;28(2):583-607; quiz 621-2. doi: 10.1148/rg.282075175.
8
Epidemiology of peritoneal mesothelioma: a review.腹膜间皮瘤的流行病学:综述
Ann Oncol. 2007 Jun;18(6):985-90. doi: 10.1093/annonc/mdl345. Epub 2006 Oct 9.
9
Advances in malignant mesothelioma.恶性间皮瘤的进展
N Engl J Med. 2005 Oct 13;353(15):1591-603. doi: 10.1056/NEJMra050152.
10
Unusual nonneoplastic peritoneal and subperitoneal conditions: CT findings.不常见的非肿瘤性腹膜及腹膜下病变:CT表现
Radiographics. 2005 May-Jun;25(3):719-30. doi: 10.1148/rg.253045145.