Suppr超能文献

通过下一代测序在一名难治性复杂感染患者中诊断GATA2胚系突变的骨髓增生异常综合征中的单MAC综合征:病例报告及文献综述

Diagnosing MonoMAC Syndrome in GATA2 Germline Mutated Myelodysplastic Syndrome via Next-Generation Sequencing in a Patient with Refractory and Complex Infection: Case Report and Literature Review.

作者信息

Shen Yingying, Li Yuzhu, Li Hangchao, Liu Qi, Dong Huijie, Wang Bo, Ye Baodong, Lin Shenyun, Shen Yiping, Wu Dijiong

机构信息

Department of Hematology, First Affiliated Hospital of Zhejiang Chinese Medical University, Zhejiang Provincial Hospital of TCM, Hangzhou, Zhejiang Province, People's Republic of China.

First Clinical Medical College, Zhejiang Chinese Medical University, Zhejiang Provincial Hospital of TCM, Hangzhou, Zhejiang Province, People's Republic of China.

出版信息

Infect Drug Resist. 2021 Apr 6;14:1311-1317. doi: 10.2147/IDR.S305825. eCollection 2021.

Abstract

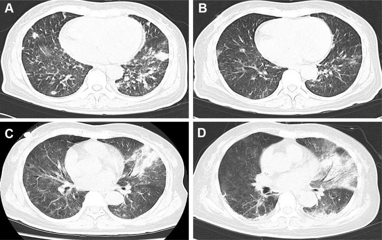
Monocytopenia and mycobacterial infection (MonoMAC) syndrome is a rare disease. Herein, we reported a 65-year-old Asian woman, previously diagnosed with myelodysplastic syndrome (MDS), suffering from recurrent pneumonia, intermittent fever, fatigue, and chest tightness lasting for five months. She was ultimately diagnosed with MonoMAC syndrome with () infection and GATA2 mutation through metagenomic generation sequencing (mNGS) of peripheral blood specimen, for which she was given anti-NTM therapy. Her situation significantly improved within 2 weeks of therapy. We discussed the clinical features, genetic characteristic, and prognosis of this disorder, aiming to further elucidate this rare syndrome. For MDS/AML patient with recurrent mixed infection and pancytopenia (especially with monocyte absence), MonoMAC syndrome should be highly suspected, and germline mutation and pathogen sequencing should be performed.

摘要

单核细胞减少症与分枝杆菌感染(MonoMAC)综合征是一种罕见疾病。在此,我们报告了一名65岁的亚洲女性,她之前被诊断为骨髓增生异常综合征(MDS),患有持续5个月的反复肺炎、间歇性发热、疲劳和胸闷。通过对外周血标本进行宏基因组二代测序(mNGS),她最终被诊断为MonoMAC综合征伴()感染和GATA2突变,为此她接受了抗非结核分枝杆菌治疗。治疗2周内她的情况显著改善。我们讨论了该疾病的临床特征、遗传特性和预后,旨在进一步阐明这种罕见综合征。对于患有反复混合感染和全血细胞减少(尤其是单核细胞缺乏)的MDS/AML患者,应高度怀疑MonoMAC综合征,并进行胚系突变和病原体测序。

https://cdn.ncbi.nlm.nih.gov/pmc/blobs/35dc/8040071/58f080cc6960/IDR-14-1311-g0001.jpg

文献检索

告别复杂PubMed语法,用中文像聊天一样搜索,搜遍4000万医学文献。AI智能推荐,让科研检索更轻松。

立即免费搜索

文件翻译

保留排版,准确专业,支持PDF/Word/PPT等文件格式,支持 12+语言互译。

免费翻译文档

深度研究

AI帮你快速写综述,25分钟生成高质量综述,智能提取关键信息,辅助科研写作。

立即免费体验