20分钟写一篇综述,助力文献阅读效率提升50倍。
大模型驱动的PubMed中文搜索引擎
学术文献翻译模型,支持多种主流文档格式。
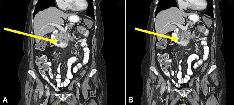
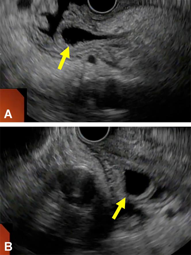
Abou Saleh Mohannad, Vozzo Catherine, Chahal Prabhleen
Department of Gastroenterology and Hepatology, Cleveland Clinic Foundation, Cleveland, Ohio.
VideoGIE. 2020 Dec 10;6(2):98-100. doi: 10.1016/j.vgie.2020.10.015. eCollection 2021 Feb.