• 文献检索
  • 文档翻译
  • 深度研究
  • 学术资讯
  • Suppr Zotero 插件Zotero 插件
  • 邀请有礼
  • 套餐&价格
  • 历史记录
应用&插件
Suppr Zotero 插件Zotero 插件浏览器插件Mac 客户端Windows 客户端微信小程序
定价
高级版会员购买积分包购买API积分包
服务
文献检索文档翻译深度研究API 文档MCP 服务
关于我们
关于 Suppr公司介绍联系我们用户协议隐私条款
关注我们

Suppr 超能文献

核心技术专利:CN118964589B侵权必究
粤ICP备2023148730 号-1Suppr @ 2026

文献检索

告别复杂PubMed语法,用中文像聊天一样搜索,搜遍4000万医学文献。AI智能推荐,让科研检索更轻松。

立即免费搜索

文件翻译

保留排版,准确专业,支持PDF/Word/PPT等文件格式,支持 12+语言互译。

免费翻译文档

深度研究

AI帮你快速写综述,25分钟生成高质量综述,智能提取关键信息,辅助科研写作。

立即免费体验

载脂蛋白E在人类胶质肿瘤中的免疫组织化学定位

Immunohistochemical localization of apolipoprotein E in human glial neoplasms.

作者信息

Murakami M, Ushio Y, Morino Y, Ohta T, Matsukado Y

机构信息

Department of Neurosurgery, Kumamoto University Medical School, Japan.

出版信息

J Clin Invest. 1988 Jul;82(1):177-88. doi: 10.1172/JCI113568.

DOI:10.1172/JCI113568
PMID:3392206
原文链接:https://pmc.ncbi.nlm.nih.gov/articles/PMC303492/
Abstract

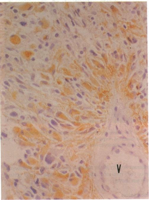
Immunocytochemical analyses revealed the presence and distribution of apolipoprotein E (apo E) in normal human brain tissue as well as in 77 human intracranial neoplasms. In normal brain tissues, the perikarya of astrocytes exhibited a strong positive reaction, whereas the Bergmann glia were stained to a moderate degree. However, no immunoreactivity was observed with neurons, oligodendrocytes, ependymal cells, and choroidal epithelium. Among the intracranial neoplasms, oligodendroglioma, choroid plexus papilloma, hemangioblastoma, primary malignant lymphoma, neurinoma, meningioma, pituitary adenoma, and craniopharyngioma were all negative. Immunoreactivity in the peripheral neuroblastoma was nil. However, the perikarya of astrocytomas and glioblastomas showed a positive reaction. Analyses on the degree of anaplasia and the amount of apo-E as an intensity of immunostaining showed a negative correlation. The astrocytic elements were stained in mixed oligoastrocytomas and medulloblastomas with glial differentiation. A few cases of ependymomas showed weak perikaryal immunostaining. Western blot analyses with anti-apo E antibody of a freshly prepared surgical specimen with astrocytomas revealed a single band with a molecular weight of approximately 37,000. The well differentiated cultured human astrocytoma cells secreted apo E into the medium. These lines of evidence suggest that apo E may serve as a potential marker specific for astrocytomas and glioblastomas, as well as an indicator of astrocytic tumor cell differentiation. The apo E localization in human brain tumors could be clinically relevant and diagnostically useful.

摘要

免疫细胞化学分析揭示了载脂蛋白E(apo E)在正常人类脑组织以及77例人类颅内肿瘤中的存在和分布情况。在正常脑组织中,星形胶质细胞的胞体呈现出强烈的阳性反应,而伯格曼胶质细胞则呈中度染色。然而,在神经元、少突胶质细胞、室管膜细胞和脉络丛上皮细胞中未观察到免疫反应性。在颅内肿瘤中,少突胶质细胞瘤、脉络丛乳头状瘤、成血管细胞瘤、原发性恶性淋巴瘤、神经鞘瘤、脑膜瘤、垂体腺瘤和颅咽管瘤均为阴性。外周神经母细胞瘤的免疫反应性为零。然而,星形细胞瘤和胶质母细胞瘤的胞体呈现出阳性反应。对间变程度和作为免疫染色强度的apo - E量的分析显示呈负相关。在混合性少突星形细胞瘤和具有胶质分化的髓母细胞瘤中,星形细胞成分被染色。少数室管膜瘤病例显示出微弱的胞体免疫染色。用抗apo E抗体对新鲜制备的星形细胞瘤手术标本进行蛋白质印迹分析,显示出一条分子量约为37,000的条带。分化良好的培养人星形细胞瘤细胞将apo E分泌到培养基中。这些证据表明,apo E可能作为星形细胞瘤和胶质母细胞瘤的潜在特异性标志物,以及星形细胞瘤细胞分化的指标。apo E在人脑肿瘤中的定位可能具有临床相关性和诊断价值。

https://cdn.ncbi.nlm.nih.gov/pmc/blobs/41c8/303492/a20b9ec45abf/jcinvest00079-0192-a.jpg
https://cdn.ncbi.nlm.nih.gov/pmc/blobs/41c8/303492/6c9ae4f1b824/jcinvest00079-0187-a.jpg
https://cdn.ncbi.nlm.nih.gov/pmc/blobs/41c8/303492/ffe29ab93b4e/jcinvest00079-0187-b.jpg
https://cdn.ncbi.nlm.nih.gov/pmc/blobs/41c8/303492/03d996c1f0e9/jcinvest00079-0188-a.jpg
https://cdn.ncbi.nlm.nih.gov/pmc/blobs/41c8/303492/11203a6dc0c8/jcinvest00079-0188-b.jpg
https://cdn.ncbi.nlm.nih.gov/pmc/blobs/41c8/303492/03938d9b05e4/jcinvest00079-0188-c.jpg
https://cdn.ncbi.nlm.nih.gov/pmc/blobs/41c8/303492/2673d3e6c0b0/jcinvest00079-0189-a.jpg
https://cdn.ncbi.nlm.nih.gov/pmc/blobs/41c8/303492/4e5c29555f04/jcinvest00079-0189-b.jpg
https://cdn.ncbi.nlm.nih.gov/pmc/blobs/41c8/303492/63b8f5b61249/jcinvest00079-0189-c.jpg
https://cdn.ncbi.nlm.nih.gov/pmc/blobs/41c8/303492/b6c52ba3c52b/jcinvest00079-0189-d.jpg
https://cdn.ncbi.nlm.nih.gov/pmc/blobs/41c8/303492/beca4ea6573b/jcinvest00079-0189-e.jpg
https://cdn.ncbi.nlm.nih.gov/pmc/blobs/41c8/303492/578febb7234b/jcinvest00079-0190-a.jpg
https://cdn.ncbi.nlm.nih.gov/pmc/blobs/41c8/303492/70024f3d5042/jcinvest00079-0190-b.jpg
https://cdn.ncbi.nlm.nih.gov/pmc/blobs/41c8/303492/4c275bdd11e0/jcinvest00079-0191-a.jpg
https://cdn.ncbi.nlm.nih.gov/pmc/blobs/41c8/303492/86fb4facea81/jcinvest00079-0191-b.jpg
https://cdn.ncbi.nlm.nih.gov/pmc/blobs/41c8/303492/6358f47f53e2/jcinvest00079-0191-c.jpg
https://cdn.ncbi.nlm.nih.gov/pmc/blobs/41c8/303492/a20b9ec45abf/jcinvest00079-0192-a.jpg
https://cdn.ncbi.nlm.nih.gov/pmc/blobs/41c8/303492/6c9ae4f1b824/jcinvest00079-0187-a.jpg
https://cdn.ncbi.nlm.nih.gov/pmc/blobs/41c8/303492/ffe29ab93b4e/jcinvest00079-0187-b.jpg
https://cdn.ncbi.nlm.nih.gov/pmc/blobs/41c8/303492/03d996c1f0e9/jcinvest00079-0188-a.jpg
https://cdn.ncbi.nlm.nih.gov/pmc/blobs/41c8/303492/11203a6dc0c8/jcinvest00079-0188-b.jpg
https://cdn.ncbi.nlm.nih.gov/pmc/blobs/41c8/303492/03938d9b05e4/jcinvest00079-0188-c.jpg
https://cdn.ncbi.nlm.nih.gov/pmc/blobs/41c8/303492/2673d3e6c0b0/jcinvest00079-0189-a.jpg
https://cdn.ncbi.nlm.nih.gov/pmc/blobs/41c8/303492/4e5c29555f04/jcinvest00079-0189-b.jpg
https://cdn.ncbi.nlm.nih.gov/pmc/blobs/41c8/303492/63b8f5b61249/jcinvest00079-0189-c.jpg
https://cdn.ncbi.nlm.nih.gov/pmc/blobs/41c8/303492/b6c52ba3c52b/jcinvest00079-0189-d.jpg
https://cdn.ncbi.nlm.nih.gov/pmc/blobs/41c8/303492/beca4ea6573b/jcinvest00079-0189-e.jpg
https://cdn.ncbi.nlm.nih.gov/pmc/blobs/41c8/303492/578febb7234b/jcinvest00079-0190-a.jpg
https://cdn.ncbi.nlm.nih.gov/pmc/blobs/41c8/303492/70024f3d5042/jcinvest00079-0190-b.jpg
https://cdn.ncbi.nlm.nih.gov/pmc/blobs/41c8/303492/4c275bdd11e0/jcinvest00079-0191-a.jpg
https://cdn.ncbi.nlm.nih.gov/pmc/blobs/41c8/303492/86fb4facea81/jcinvest00079-0191-b.jpg
https://cdn.ncbi.nlm.nih.gov/pmc/blobs/41c8/303492/6358f47f53e2/jcinvest00079-0191-c.jpg
https://cdn.ncbi.nlm.nih.gov/pmc/blobs/41c8/303492/a20b9ec45abf/jcinvest00079-0192-a.jpg

相似文献

1
Immunohistochemical localization of apolipoprotein E in human glial neoplasms.载脂蛋白E在人类胶质肿瘤中的免疫组织化学定位
J Clin Invest. 1988 Jul;82(1):177-88. doi: 10.1172/JCI113568.
2
Apolipoprotein E associated with astrocytic glia of the central nervous system and with nonmyelinating glia of the peripheral nervous system.载脂蛋白E与中枢神经系统的星形胶质细胞以及周围神经系统的无髓鞘神经胶质细胞相关。
J Clin Invest. 1985 Oct;76(4):1501-13. doi: 10.1172/JCI112130.
3
Expression of tenascin-C in various human brain tumors and its relevance for survival in patients with astrocytoma.腱生蛋白-C在各种人脑肿瘤中的表达及其与星形细胞瘤患者生存的相关性。
Cancer. 2003 Dec 1;98(11):2430-9. doi: 10.1002/cncr.11796.
4
[Apolipoprotein E immunoreactivity in normal and abnormal adrenal tissues].[正常及异常肾上腺组织中的载脂蛋白E免疫反应性]
Rinsho Byori. 1994 Sep;42(9):977-80.
5
[Immunohistochemical study of S-100 protein in the normal human brain and glioblastoma].[人正常脑和胶质母细胞瘤中S-100蛋白的免疫组织化学研究]
No To Shinkei. 1985 Dec;37(12):1145-54.
6
[Immunohistochemical study of glutamine synthetase expression in normal human brain and intracranial tumors].[谷氨酰胺合成酶在正常人类大脑和颅内肿瘤中表达的免疫组织化学研究]
No To Shinkei. 1993 Apr;45(4):362-8.
7
Identification of gliomas by morphological and immunocytochemical analysis in cell cultures.通过细胞培养中的形态学和免疫细胞化学分析鉴定神经胶质瘤
Ideggyogy Sz. 2002 May 20;55(5-6):173-9.
8
Differential expression of membrane-type matrix metalloproteinase and its correlation with gelatinase A activation in human malignant brain tumors in vivo and in vitro.膜型基质金属蛋白酶在人恶性脑肿瘤体内外的差异表达及其与明胶酶A激活的相关性
Cancer Res. 1996 Jan 15;56(2):384-92.
9
Correlation of glial fibrillary acidic protein (GFAP) with grading of the neuroglial tumours.胶质纤维酸性蛋白(GFAP)与神经胶质肿瘤分级的相关性。
J Coll Physicians Surg Pak. 2005 Aug;15(8):472-5.
10
Increased expression of low density lipoprotein receptor-related protein/alpha2-macroglobulin receptor in human malignant astrocytomas.人恶性星形细胞瘤中低密度脂蛋白受体相关蛋白/α2-巨球蛋白受体表达增加。
Cancer Res. 1997 Jul 1;57(13):2799-805.

引用本文的文献

1
Discovery of Small Molecule Glycolytic Stimulants for Enhanced ApoE Lipidation in Alzheimer's Disease Cell Model.在阿尔茨海默病细胞模型中发现增强载脂蛋白E脂质化的小分子糖酵解刺激剂
Pharmaceuticals (Basel). 2024 Apr 12;17(4):491. doi: 10.3390/ph17040491.
2
Role of neuroinflammation in neurodegeneration development.神经炎症在神经退行性变发展中的作用。
Signal Transduct Target Ther. 2023 Jul 12;8(1):267. doi: 10.1038/s41392-023-01486-5.
3
LncRNA MIR4435-2HG functions as a ceRNA against miR-125a-5p and promotes neuroglioma development by upregulating TAZ.

本文引用的文献

1
Human apolipoprotein E. The complete amino acid sequence.人载脂蛋白E。完整氨基酸序列。
J Biol Chem. 1982 Apr 25;257(8):4171-8.
2
Immunoreactive glial fibrillary acidic protein in pituicytes of the rat neurohypophysis.大鼠神经垂体中垂体细胞内的免疫反应性胶质纤维酸性蛋白
Brain Res. 1982 Mar 25;236(2):471-6. doi: 10.1016/0006-8993(82)90729-6.
3
Immunocytochemical demonstration of glial fibrillary acidic protein in mouse tanycytes.小鼠伸展细胞中胶质纤维酸性蛋白的免疫细胞化学证明
长链非编码 RNA MIR4435-2HG 通过作为 ceRNA 对抗 miR-125a-5p 并上调 TAZ 促进神经胶质瘤的发展。
J Clin Lab Anal. 2021 Dec;35(12):e24066. doi: 10.1002/jcla.24066. Epub 2021 Oct 29.
4
Polymeric nanomedicine for overcoming resistance mechanisms in hedgehog and Myc-amplified medulloblastoma.用于克服 Hedgehog 和 Myc 扩增型髓母细胞瘤中耐药机制的聚合物纳米医学。
Biomaterials. 2021 Nov;278:121138. doi: 10.1016/j.biomaterials.2021.121138. Epub 2021 Sep 29.
5
Do Alzheimer's Disease Risk Gene Products Actually Act in Microglia?阿尔茨海默病风险基因产物真的在小胶质细胞中起作用吗?
Front Aging Neurosci. 2020 Dec 3;12:589196. doi: 10.3389/fnagi.2020.589196. eCollection 2020.
6
Brain Targeted Gold Liposomes Improve RNAi Delivery for Glioblastoma.脑靶向金脂质体改善胶质母细胞瘤的 RNAi 递送。
Int J Nanomedicine. 2020 Apr 23;15:2809-2828. doi: 10.2147/IJN.S241055. eCollection 2020.
7
Meningiomas and Proteomics: Focus on New Potential Biomarkers and Molecular Pathways.脑膜瘤与蛋白质组学:聚焦新的潜在生物标志物和分子途径
Cancer Genomics Proteomics. 2016;13(5):369-79.
8
Primary genetic investigation of a hyperlipidemia model: molecular characteristics and variants of the apolipoprotein E gene in Mongolian gerbil.高脂血症模型的原发性基因研究:蒙古沙鼠载脂蛋白E基因的分子特征及变异
Biomed Res Int. 2014;2014:410480. doi: 10.1155/2014/410480. Epub 2014 Jun 1.
9
Expression of the protein chaperone, clusterin, in spinal cord cells constitutively and following cellular stress, and upregulation by treatment with Hsp90 inhibitor.该蛋白伴侣,簇集素,在脊髓细胞中的表达,无论是在基础状态下还是在细胞应激时,以及通过 HSP90 抑制剂处理的上调情况。
Cell Stress Chaperones. 2013 Nov;18(6):745-58. doi: 10.1007/s12192-013-0427-x. Epub 2013 Apr 19.
10
Proteome analysis of human cerebrospinal fluid as a diagnostic biomarker in patients with meningioma.人类脑脊液蛋白质组分析作为脑膜瘤患者的诊断生物标志物。
Med Sci Monit. 2012 Nov;18(11):BR450-60. doi: 10.12659/msm.883538.
Anat Embryol (Berl). 1981;162(2):217-22. doi: 10.1007/BF00306493.
4
Mild and efficient conjugation of rabbit Fab' and horseradish peroxidase using a maleimide compound and its use for enzyme immunoassay.使用马来酰亚胺化合物实现兔Fab'与辣根过氧化物酶的温和高效偶联及其在酶免疫测定中的应用。
J Biochem. 1982 Nov;92(5):1413-24. doi: 10.1093/oxfordjournals.jbchem.a134065.
5
Mouse monoclonal antibodies reacting with human brain glial fibrillary acidic protein.与人类脑胶质纤维酸性蛋白发生反应的小鼠单克隆抗体。
J Neurochem. 1984 Jan;42(1):86-93. doi: 10.1111/j.1471-4159.1984.tb09702.x.
6
Apolipoprotein E synthesis in human kidney, adrenal gland, and liver.载脂蛋白E在人肾脏、肾上腺和肝脏中的合成。
Proc Natl Acad Sci U S A. 1983 Jan;80(1):283-7. doi: 10.1073/pnas.80.1.283.
7
Electroblotting of multiple gels: a simple apparatus without buffer tank for rapid transfer of proteins from polyacrylamide to nitrocellulose.多凝胶的电转印:一种无需缓冲槽的简易装置,用于将蛋白质从聚丙烯酰胺快速转移至硝酸纤维素膜。
J Biochem Biophys Methods. 1984 Dec;10(3-4):203-9. doi: 10.1016/0165-022x(84)90040-x.
8
Glial fibrillary acidic protein (GFAP) in oligodendroglial tumors: gliofibrillary oligodendroglioma and transitional oligoastrocytoma as subtypes of oligodendroglioma.少突胶质细胞瘤中的胶质纤维酸性蛋白(GFAP):胶质纤维性少突胶质细胞瘤和过渡性少突星形细胞瘤作为少突胶质细胞瘤的亚型
Acta Neuropathol. 1984;64(4):265-72. doi: 10.1007/BF00690392.
9
Membrane antigens of human cells of the monocyte/macrophage lineage studied with monoclonal antibodies.用单克隆抗体研究单核细胞/巨噬细胞系人类细胞的膜抗原。
Pathology. 1983 Jan;15(1):45-52. doi: 10.3109/00313028309061401.
10
Synthesis, intracellular processing, and signal peptide of human apolipoprotein E.人载脂蛋白E的合成、细胞内加工及信号肽
J Biol Chem. 1984 May 10;259(9):5495-9.