• 文献检索
  • 文档翻译
  • 深度研究
  • 学术资讯
  • Suppr Zotero 插件Zotero 插件
  • 邀请有礼
  • 套餐&价格
  • 历史记录
应用&插件
Suppr Zotero 插件Zotero 插件浏览器插件Mac 客户端Windows 客户端微信小程序
定价
高级版会员购买积分包购买API积分包
服务
文献检索文档翻译深度研究API 文档MCP 服务
关于我们
关于 Suppr公司介绍联系我们用户协议隐私条款
关注我们

Suppr 超能文献

核心技术专利:CN118964589B侵权必究
粤ICP备2023148730 号-1Suppr @ 2026

文献检索

告别复杂PubMed语法,用中文像聊天一样搜索,搜遍4000万医学文献。AI智能推荐,让科研检索更轻松。

立即免费搜索

文件翻译

保留排版,准确专业,支持PDF/Word/PPT等文件格式,支持 12+语言互译。

免费翻译文档

深度研究

AI帮你快速写综述,25分钟生成高质量综述,智能提取关键信息,辅助科研写作。

立即免费体验

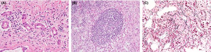
TAFRO综合征在尸检时表现为肝内胆管炎。

TAFRO syndrome presenting as intrahepatic cholangitis on autopsy.

作者信息

Nishioka Hiroaki, Nishino Shogo, Yoshizaki Aisa, Hara Shigeo

机构信息

Department of General Internal Medicine Kobe City Medical Center General Hospital Kobe Japan.

Department of Pathology Kobe City Medical Center General Hospital Kobe Japan.

出版信息

Clin Case Rep. 2021 Mar 3;9(4):2254-2258. doi: 10.1002/ccr3.4005. eCollection 2021 Apr.

DOI:10.1002/ccr3.4005
PMID:33936675
原文链接:https://pmc.ncbi.nlm.nih.gov/articles/PMC8077398/
Abstract

Elevation of ALP is an abnormal feature in TAFRO syndrome, but the cause is unknown. This article is the first report that histologically showed intrahepatic cholangitis may be the cause of ALP elevation in TAFRO syndrome.

摘要

碱性磷酸酶(ALP)升高是TAFRO综合征的一个异常特征,但病因不明。本文是首例组织学显示肝内胆管炎可能是TAFRO综合征中ALP升高原因的报告。

https://cdn.ncbi.nlm.nih.gov/pmc/blobs/97a5/8077398/11c9e49f3f60/CCR3-9-2254-g005.jpg
https://cdn.ncbi.nlm.nih.gov/pmc/blobs/97a5/8077398/dda988a511a0/CCR3-9-2254-g002.jpg
https://cdn.ncbi.nlm.nih.gov/pmc/blobs/97a5/8077398/d4866949f0fb/CCR3-9-2254-g001.jpg
https://cdn.ncbi.nlm.nih.gov/pmc/blobs/97a5/8077398/d6efdfccb1fb/CCR3-9-2254-g004.jpg
https://cdn.ncbi.nlm.nih.gov/pmc/blobs/97a5/8077398/11c9e49f3f60/CCR3-9-2254-g005.jpg
https://cdn.ncbi.nlm.nih.gov/pmc/blobs/97a5/8077398/dda988a511a0/CCR3-9-2254-g002.jpg
https://cdn.ncbi.nlm.nih.gov/pmc/blobs/97a5/8077398/d4866949f0fb/CCR3-9-2254-g001.jpg
https://cdn.ncbi.nlm.nih.gov/pmc/blobs/97a5/8077398/d6efdfccb1fb/CCR3-9-2254-g004.jpg
https://cdn.ncbi.nlm.nih.gov/pmc/blobs/97a5/8077398/11c9e49f3f60/CCR3-9-2254-g005.jpg

相似文献

1
TAFRO syndrome presenting as intrahepatic cholangitis on autopsy.TAFRO综合征在尸检时表现为肝内胆管炎。
Clin Case Rep. 2021 Mar 3;9(4):2254-2258. doi: 10.1002/ccr3.4005. eCollection 2021 Apr.
2
Hepatic Campylobacter jejuni infection in patients with Castleman-Kojima disease (idiopathic multicentric Castleman disease with thrombocytopenia, anasarca, fever, reticulin fibrosis, and organomegaly (TAFRO) syndrome).患者出现肝弯曲杆菌空肠亚种感染(特发性多中心 Castleman 病伴血小板减少、全身性水肿、发热、网状纤维纤维化和器官肿大(TAFRO)综合征)。
Pathol Int. 2019 Oct;69(10):572-579. doi: 10.1111/pin.12856.
3
Severe refractory TAFRO syndrome requiring continuous renal replacement therapy complicated with infection in the lungs and myocardial infarction: an autopsy case report and literature review.需要持续肾脏替代治疗的严重难治性TAFRO综合征并发肺部感染和心肌梗死:一例尸检病例报告及文献复习
Ren Replace Ther. 2018;4(1):16. doi: 10.1186/s41100-018-0157-8. Epub 2018 Apr 4.
4
The first case of thrombocytopenia, anasarca, fever, renal impairment or reticulin fibrosis, and organomegaly (TAFRO) syndrome with unilateral adrenal necrosis: a case report.首例伴有单侧肾上腺坏死的血小板减少、全身水肿、发热、肾功能损害或网状纤维增生及器官肿大(TAFRO)综合征:病例报告
J Med Case Rep. 2018 Oct 8;12(1):295. doi: 10.1186/s13256-018-1814-9.
5
Membranoproliferative glomerulonephritis-like findings for TAFRO syndrome, associated with an anterior mediastinal tumor: A case report.TAFRO综合征伴前纵隔肿瘤的膜增生性肾小球肾炎样表现:一例报告
Medicine (Baltimore). 2018 Jun;97(24):e11057. doi: 10.1097/MD.0000000000011057.
6
A comparison of TAFRO syndrome between Japanese and non-Japanese cases: a case report and literature review.日本与非日本病例中TAFRO综合征的比较:一例病例报告及文献综述
Ann Hematol. 2018 Mar;97(3):401-407. doi: 10.1007/s00277-017-3138-z. Epub 2017 Sep 27.
7
Castleman disease and TAFRO syndrome: To improve the diagnostic consciousness is the key.卡斯特曼病和TAFRO综合征:提高诊断意识是关键。
World J Clin Cases. 2022 Feb 16;10(5):1536-1547. doi: 10.12998/wjcc.v10.i5.1536.
8
Castleman disease and TAFRO syndrome.卡斯尔曼病和 TAFRO 综合征。
Ann Hematol. 2022 Mar;101(3):485-490. doi: 10.1007/s00277-022-04762-6. Epub 2022 Jan 19.
9
[TAFRO syndrome showing cholangitis on liver biopsy].[肝活检显示胆管炎的TAFRO综合征]
Rinsho Ketsueki. 2016;57(12):2490-2495. doi: 10.11406/rinketsu.57.2490.
10
TAFRO Syndrome: A Syndrome or a Subtype of Multicentric Castleman Disease?TAFRO综合征:一种综合征还是多中心Castleman病的一个亚型?
Biomedicines. 2024 Mar 14;12(3):652. doi: 10.3390/biomedicines12030652.

本文引用的文献

1
Is TAFRO syndrome a subtype of idiopathic multicentric Castleman disease?TAFRO 综合征是否为特发性多中心 Castleman 病的一个亚型?
Am J Hematol. 2019 Sep;94(9):975-983. doi: 10.1002/ajh.25554. Epub 2019 Jun 21.
2
Renal histology in a patient with TAFRO syndrome: a case report.TAFRO 综合征患者的肾脏组织学:病例报告。
Hum Pathol. 2018 Dec;82:258-263. doi: 10.1016/j.humpath.2018.03.021. Epub 2018 Apr 4.
3
Clinicopathological features of progressive renal involvement in TAFRO syndrome: A case report and literature review.
TAFRO综合征中进行性肾脏受累的临床病理特征:一例报告及文献复习
Medicine (Baltimore). 2017 Oct;96(40):e8216. doi: 10.1097/MD.0000000000008216.
4
Castleman's disease with TAFRO syndrome: a case report from Syria.伴有TAFRO综合征的卡斯特曼病:来自叙利亚的一例病例报告。
Oxf Med Case Reports. 2017 Jun 1;2017(6):omx021. doi: 10.1093/omcr/omx021. eCollection 2017 Jun.
5
A life-threatening case of TAFRO syndrome with dramatic response to tocilizumab, rituximab, and pulse steroids: The first case report in Latin America.一例对托珠单抗、利妥昔单抗和冲击剂量类固醇有显著反应的危及生命的TAFRO综合征病例:拉丁美洲首例病例报告
Medicine (Baltimore). 2017 Mar;96(13):e6271. doi: 10.1097/MD.0000000000006271.
6
[TAFRO syndrome showing cholangitis on liver biopsy].[肝活检显示胆管炎的TAFRO综合征]
Rinsho Ketsueki. 2016;57(12):2490-2495. doi: 10.11406/rinketsu.57.2490.
7
Proposed diagnostic criteria, disease severity classification and treatment strategy for TAFRO syndrome, 2015 version.TAFRO综合征的拟诊标准、疾病严重程度分类及治疗策略,2015年版
Int J Hematol. 2016 Jun;103(6):686-92. doi: 10.1007/s12185-016-1979-1. Epub 2016 Mar 18.
8
Clinicopathologic analysis of TAFRO syndrome demonstrates a distinct subtype of HHV-8-negative multicentric Castleman disease.TAFRO 综合征的临床病理分析显示了一种独特的 HH V-8 阴性多中心 Castleman 病亚型。
Am J Hematol. 2016 Feb;91(2):220-6. doi: 10.1002/ajh.24242.
9
TAFRO syndrome: 2 cases and review of the literature.TAFRO综合征:2例病例及文献综述
Mod Rheumatol. 2017 Nov;27(6):1093-1097. doi: 10.3109/14397595.2015.1059982. Epub 2015 Jul 20.
10
Durable remission with rituximab in a patient with an unusual variant of Castleman's disease with myelofibrosis-TAFRO syndrome.利妥昔单抗治疗伴有骨髓纤维化的Castleman病不寻常变异型(TAFRO综合征)患者实现持久缓解。
Am J Hematol. 2015 Nov;90(11):1091-2. doi: 10.1002/ajh.24015. Epub 2015 Apr 29.