• 文献检索
  • 文档翻译
  • 深度研究
  • 学术资讯
  • Suppr Zotero 插件Zotero 插件
  • 邀请有礼
  • 套餐&价格
  • 历史记录
应用&插件
Suppr Zotero 插件Zotero 插件浏览器插件Mac 客户端Windows 客户端微信小程序
定价
高级版会员购买积分包购买API积分包
服务
文献检索文档翻译深度研究API 文档MCP 服务
关于我们
关于 Suppr公司介绍联系我们用户协议隐私条款
关注我们

Suppr 超能文献

核心技术专利:CN118964589B侵权必究
粤ICP备2023148730 号-1Suppr @ 2026

文献检索

告别复杂PubMed语法,用中文像聊天一样搜索,搜遍4000万医学文献。AI智能推荐,让科研检索更轻松。

立即免费搜索

文件翻译

保留排版,准确专业,支持PDF/Word/PPT等文件格式,支持 12+语言互译。

免费翻译文档

深度研究

AI帮你快速写综述,25分钟生成高质量综述,智能提取关键信息,辅助科研写作。

立即免费体验

KCTD19 和其相关蛋白 ZFP541 对雄性小鼠的减数分裂都是独立必需的。

KCTD19 and its associated protein ZFP541 are independently essential for meiosis in male mice.

机构信息

Research Institute for Microbial Diseases, Osaka University, Osaka, Japan.

Graduate School of Pharmaceutical Sciences, Osaka University, Osaka, Japan.

出版信息

PLoS Genet. 2021 May 7;17(5):e1009412. doi: 10.1371/journal.pgen.1009412. eCollection 2021 May.

DOI:10.1371/journal.pgen.1009412
PMID:33961623
原文链接:https://pmc.ncbi.nlm.nih.gov/articles/PMC8104389/
Abstract

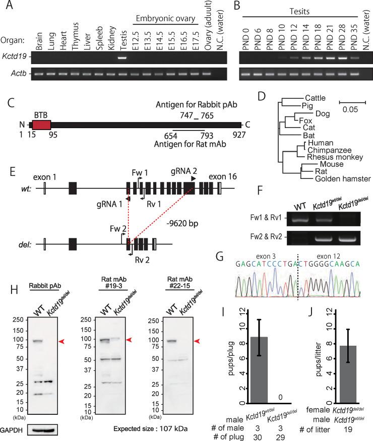
Meiosis is a cell division process with complex chromosome events where various molecules must work in tandem. To find meiosis-related genes, we screened evolutionarily conserved and reproductive tract-enriched genes using the CRISPR/Cas9 system and identified potassium channel tetramerization domain containing 19 (Kctd19) as an essential factor for meiosis. In prophase I, Kctd19 deficiency did not affect synapsis or the DNA damage response, and chiasma structures were also observed in metaphase I spermatocytes of Kctd19 KO mice. However, spermatocytes underwent apoptotic elimination during the metaphase-anaphase transition. We were able to rescue the Kctd19 KO phenotype with an epitope-tagged Kctd19 transgene. By immunoprecipitation-mass spectrometry, we confirmed the association of KCTD19 with zinc finger protein 541 (ZFP541) and histone deacetylase 1 (HDAC1). Phenotyping of Zfp541 KO spermatocytes demonstrated XY chromosome asynapsis and recurrent DNA damage in the late pachytene stage, leading to apoptosis. In summary, our study reveals that KCTD19 associates with ZFP541 and HDAC1, and that both KCTD19 and ZFP541 are essential for meiosis in male mice.

摘要

减数分裂是一个具有复杂染色体事件的细胞分裂过程,其中各种分子必须协同工作。为了找到与减数分裂相关的基因,我们使用 CRISPR/Cas9 系统筛选了进化上保守和生殖道富集的基因,并鉴定出钾通道四聚化结构域包含 19 个(Kctd19)是减数分裂所必需的一个关键因子。在前期 I 中,Kctd19 缺陷不影响联会或 DNA 损伤反应,中期 I 精母细胞中的 Kctd19 KO 小鼠也观察到交叉结构。然而,精母细胞在中期-后期过渡期间经历凋亡消除。我们能够通过标记表位的 Kctd19 转基因来挽救 Kctd19 KO 表型。通过免疫沉淀-质谱分析,我们证实了 KCTD19 与锌指蛋白 541(ZFP541)和组蛋白去乙酰化酶 1(HDAC1)的关联。Zfp541 KO 精母细胞的表型分析表明,X 染色体和 Y 染色体的联会失败,在晚期粗线期出现反复的 DNA 损伤,导致凋亡。总之,我们的研究揭示了 KCTD19 与 ZFP541 和 HDAC1 相关,并且 KCTD19 和 ZFP541 都是雄性小鼠减数分裂所必需的。

https://cdn.ncbi.nlm.nih.gov/pmc/blobs/d31c/8104389/0b8cdab5382c/pgen.1009412.g007.jpg
https://cdn.ncbi.nlm.nih.gov/pmc/blobs/d31c/8104389/7bbbd429a701/pgen.1009412.g001.jpg
https://cdn.ncbi.nlm.nih.gov/pmc/blobs/d31c/8104389/d01523c0d349/pgen.1009412.g002.jpg
https://cdn.ncbi.nlm.nih.gov/pmc/blobs/d31c/8104389/9ac1feb85bd0/pgen.1009412.g003.jpg
https://cdn.ncbi.nlm.nih.gov/pmc/blobs/d31c/8104389/00316e0ee4d4/pgen.1009412.g004.jpg
https://cdn.ncbi.nlm.nih.gov/pmc/blobs/d31c/8104389/7571397066cb/pgen.1009412.g005.jpg
https://cdn.ncbi.nlm.nih.gov/pmc/blobs/d31c/8104389/97fea289f2b1/pgen.1009412.g006.jpg
https://cdn.ncbi.nlm.nih.gov/pmc/blobs/d31c/8104389/0b8cdab5382c/pgen.1009412.g007.jpg
https://cdn.ncbi.nlm.nih.gov/pmc/blobs/d31c/8104389/7bbbd429a701/pgen.1009412.g001.jpg
https://cdn.ncbi.nlm.nih.gov/pmc/blobs/d31c/8104389/d01523c0d349/pgen.1009412.g002.jpg
https://cdn.ncbi.nlm.nih.gov/pmc/blobs/d31c/8104389/9ac1feb85bd0/pgen.1009412.g003.jpg
https://cdn.ncbi.nlm.nih.gov/pmc/blobs/d31c/8104389/00316e0ee4d4/pgen.1009412.g004.jpg
https://cdn.ncbi.nlm.nih.gov/pmc/blobs/d31c/8104389/7571397066cb/pgen.1009412.g005.jpg
https://cdn.ncbi.nlm.nih.gov/pmc/blobs/d31c/8104389/97fea289f2b1/pgen.1009412.g006.jpg
https://cdn.ncbi.nlm.nih.gov/pmc/blobs/d31c/8104389/0b8cdab5382c/pgen.1009412.g007.jpg

相似文献

1
KCTD19 and its associated protein ZFP541 are independently essential for meiosis in male mice.KCTD19 和其相关蛋白 ZFP541 对雄性小鼠的减数分裂都是独立必需的。
PLoS Genet. 2021 May 7;17(5):e1009412. doi: 10.1371/journal.pgen.1009412. eCollection 2021 May.
2
The ZFP541-KCTD19 complex is essential for pachytene progression by activating meiotic genes during mouse spermatogenesis.ZFP541-KCTD19 复合物通过在小鼠精子发生过程中激活减数分裂基因对于粗线期进展是必不可少的。
J Genet Genomics. 2022 Nov;49(11):1029-1041. doi: 10.1016/j.jgg.2022.03.005. Epub 2022 Mar 25.
3
Meiosis-specific ZFP541 repressor complex promotes developmental progression of meiotic prophase towards completion during mouse spermatogenesis.减数分裂特异性 ZFP541 抑制复合物促进小鼠精子发生过程中减数分裂前期向完成的发育进展。
Nat Commun. 2021 Jun 1;12(1):3184. doi: 10.1038/s41467-021-23378-4.
4
ZFP541 and KCTD19 regulate chromatin organization and transcription programs for male meiotic progression.ZFP541 和 KCTD19 调节染色质组织和转录程序,以促进雄性减数分裂进程。
Cell Prolif. 2024 Apr;57(4):e13567. doi: 10.1111/cpr.13567. Epub 2023 Nov 3.
5
Temporally and spatially selective loss of Rec8 protein from meiotic chromosomes during mammalian meiosis.在哺乳动物减数分裂过程中,Rec8蛋白在减数分裂染色体上出现时空选择性缺失。
J Cell Sci. 2003 Jul 1;116(Pt 13):2781-90. doi: 10.1242/jcs.00495. Epub 2003 May 20.
6
ZFP541 maintains the repression of pre-pachytene transcriptional programs and promotes male meiosis progression.ZFP541 维持减数分裂前期转录程序的抑制,并促进雄性减数分裂进程。
Cell Rep. 2022 Mar 22;38(12):110540. doi: 10.1016/j.celrep.2022.110540.
7
A novel mammalian HORMA domain-containing protein, HORMAD1, preferentially associates with unsynapsed meiotic chromosomes.一种新型的哺乳动物 HORMA 结构域蛋白 HORMAD1,优先与未配对的减数分裂染色体结合。
Exp Cell Res. 2010 Jan 15;316(2):158-71. doi: 10.1016/j.yexcr.2009.08.007. Epub 2009 Aug 15.
8
Biallelic variants in KCTD19 associated with male factor infertility and oligoasthenoteratozoospermia.KCTD19 中的双等位基因突变与男性因素不孕和少精弱精症有关。
Hum Reprod. 2023 Jul 5;38(7):1399-1411. doi: 10.1093/humrep/dead095.
9
A high incidence of meiotic silencing of unsynapsed chromatin is not associated with substantial pachytene loss in heterozygous male mice carrying multiple simple robertsonian translocations.在携带多个简单罗伯逊易位的杂合雄性小鼠中,未联会染色质减数分裂沉默的高发生率与粗线期大量缺失并无关联。
PLoS Genet. 2009 Aug;5(8):e1000625. doi: 10.1371/journal.pgen.1000625. Epub 2009 Aug 28.
10
Copy-number variation introduced by long transgenes compromises mouse male fertility independently of pachytene checkpoints.长转基因引起的拷贝数变异独立于粗线期检查点而损害雄性小鼠的生育能力。
Chromosoma. 2020 Mar;129(1):69-82. doi: 10.1007/s00412-019-00730-8. Epub 2020 Jan 15.

引用本文的文献

1
Compensation for X-linked Pdha1 silencing by Pdha2 is essential for meiotic double-strand break repair in spermatogenesis.Pdha2对X连锁的Pdha1沉默的补偿对于精子发生过程中的减数分裂双链断裂修复至关重要。
Development. 2025 Aug 1;152(15). doi: 10.1242/dev.204683. Epub 2025 Aug 7.
2
Bi-allelic KCTD19 variants associated with meiotic arrest and non-obstructive azoospermia in humans.与人类减数分裂停滞和非梗阻性无精子症相关的双等位基因KCTD19变异体。
J Hum Genet. 2025 May 23. doi: 10.1038/s10038-025-01350-0.
3
Compound heterozygous variants in a man with isolated nonobstructive azoospermia.

本文引用的文献

1
Prediction and Validation of Mouse Meiosis-Essential Genes Based on Spermatogenesis Proteome Dynamics.基于精子发生蛋白质组动态的小鼠减数分裂必需基因的预测和验证。
Mol Cell Proteomics. 2021;20:100014. doi: 10.1074/mcp.RA120.002081. Epub 2021 Jan 6.
2
SMART: recent updates, new developments and status in 2020.SMART:最新更新、新进展和 2020 年的现状。
Nucleic Acids Res. 2021 Jan 8;49(D1):D458-D460. doi: 10.1093/nar/gkaa937.
3
Alternative Synaptonemal Complex Structures: Too Much of a Good Thing?另类联会复合体结构:物极必反?
一名患有孤立性非梗阻性无精子症男性中的复合杂合变异
Reprod Med Biol. 2024 Sep 24;23(1):e12608. doi: 10.1002/rmb2.12608. eCollection 2024 Jan-Dec.
4
Atypical heat shock transcription factor HSF5 is critical for male meiotic prophase under non-stress conditions.非应激条件下,非典型热休克转录因子 HSF5 对雄性减数分裂前期至关重要。
Nat Commun. 2024 Apr 29;15(1):3330. doi: 10.1038/s41467-024-47601-0.
5
Epigenetic priming in the male germline.雄性生殖细胞中的表观遗传启动。
Curr Opin Genet Dev. 2024 Jun;86:102190. doi: 10.1016/j.gde.2024.102190. Epub 2024 Apr 11.
6
[Not Available].[无可用内容]
Andrology. 2025 Feb;13(2):184-201. doi: 10.1111/andr.13606. Epub 2024 Mar 4.
7
Molecular quantitative trait loci in reproductive tissues impact male fertility in cattle.生殖组织中的分子数量性状基因座影响牛的雄性生育力。
Nat Commun. 2024 Jan 22;15(1):674. doi: 10.1038/s41467-024-44935-7.
8
ZFP541 and KCTD19 regulate chromatin organization and transcription programs for male meiotic progression.ZFP541 和 KCTD19 调节染色质组织和转录程序,以促进雄性减数分裂进程。
Cell Prolif. 2024 Apr;57(4):e13567. doi: 10.1111/cpr.13567. Epub 2023 Nov 3.
9
Loss-of-function variants in cause non-obstructive azoospermia in humans.[基因名称]中的功能丧失变异导致人类非梗阻性无精子症。 (注:原文中“in”后面缺少具体基因名称,这里用[基因名称]代替以便完整表达意思)
iScience. 2023 Jun 28;26(7):107193. doi: 10.1016/j.isci.2023.107193. eCollection 2023 Jul 21.
10
Premature ovarian insufficiency is associated with global alterations in the regulatory landscape and gene expression in balanced X-autosome translocations.卵巢早衰与平衡 X-常染色体易位中调控景观和基因表达的全局改变有关。
Epigenetics Chromatin. 2023 May 19;16(1):19. doi: 10.1186/s13072-023-00493-8.
Trends Genet. 2020 Nov;36(11):833-844. doi: 10.1016/j.tig.2020.07.007. Epub 2020 Aug 13.
4
Cfap97d1 is important for flagellar axoneme maintenance and male mouse fertility.Cfap97d1 对于鞭毛轴丝的维持和雄性小鼠的生育能力很重要。
PLoS Genet. 2020 Aug 12;16(8):e1008954. doi: 10.1371/journal.pgen.1008954. eCollection 2020 Aug.
5
The MiDAC histone deacetylase complex is essential for embryonic development and has a unique multivalent structure.MiDAC 组蛋白去乙酰化酶复合物对于胚胎发育是必不可少的,并且具有独特的多价结构。
Nat Commun. 2020 Jun 26;11(1):3252. doi: 10.1038/s41467-020-17078-8.
6
Tesmin, Metallothionein-Like 5, is Required for Spermatogenesis in Mice†.Tesmin,金属硫蛋白样 5,是精子发生所必需的在小鼠†。
Biol Reprod. 2020 Apr 15;102(4):975-983. doi: 10.1093/biolre/ioaa002.
7
CRISPR/Cas9-mediated genome editing reveals 30 testis-enriched genes dispensable for male fertility in mice†.CRISPR/Cas9 介导的基因组编辑揭示了 30 个在小鼠中对雄性生育力非必需的睾丸富集基因。
Biol Reprod. 2019 Aug 1;101(2):501-511. doi: 10.1093/biolre/ioz103.
8
KCTD: A new gene family involved in neurodevelopmental and neuropsychiatric disorders.KCTD:一个涉及神经发育和神经精神疾病的新基因家族。
CNS Neurosci Ther. 2019 Jul;25(7):887-902. doi: 10.1111/cns.13156.
9
Nine genes abundantly expressed in the epididymis are not essential for male fecundity in mice.在附睾中大量表达的 9 个基因对于小鼠的雄性生育力并非必需。
Andrology. 2019 Sep;7(5):644-653. doi: 10.1111/andr.12621. Epub 2019 Mar 29.
10
Chimeric analysis with newly established EGFP/DsRed2-tagged ES cells identify HYDIN as essential for spermiogenesis in mice.利用新建立的带有增强绿色荧光蛋白/红色荧光蛋白2标签的胚胎干细胞进行嵌合体分析,确定了HYDIN对小鼠精子发生至关重要。
Exp Anim. 2019 Feb 26;68(1):25-34. doi: 10.1538/expanim.18-0071. Epub 2018 Aug 9.