• 文献检索
  • 文档翻译
  • 深度研究
  • 学术资讯
  • Suppr Zotero 插件Zotero 插件
  • 邀请有礼
  • 套餐&价格
  • 历史记录
应用&插件
Suppr Zotero 插件Zotero 插件浏览器插件Mac 客户端Windows 客户端微信小程序
定价
高级版会员购买积分包购买API积分包
服务
文献检索文档翻译深度研究API 文档MCP 服务
关于我们
关于 Suppr公司介绍联系我们用户协议隐私条款
关注我们

Suppr 超能文献

核心技术专利:CN118964589B侵权必究
粤ICP备2023148730 号-1Suppr @ 2026

文献检索

告别复杂PubMed语法,用中文像聊天一样搜索,搜遍4000万医学文献。AI智能推荐,让科研检索更轻松。

立即免费搜索

文件翻译

保留排版,准确专业,支持PDF/Word/PPT等文件格式,支持 12+语言互译。

免费翻译文档

深度研究

AI帮你快速写综述,25分钟生成高质量综述,智能提取关键信息,辅助科研写作。

立即免费体验

低剂量双酚A暴露后Wistar大鼠下丘脑-垂体-卵巢轴中Kiss 1受体、GnRH受体及核受体的变化

Alterations of Kiss 1 receptor, GnRH receptor and nuclear receptors of the hypothalamo-pituitary-ovarian axis following low dose bisphenol-A exposure in Wistar rats.

作者信息

Kadir Eniola Risikat, Imam Aminu, Olajide Olayemi Joseph, Ajao Moyosore Saliu

机构信息

Department of Anatomy, Faculty of Basic Medical Sciences, University of Ilorin, Ilorin, Nigeria.

Centre for Studies in Behavioural Neurobiology, Concordia University, Montreal, QC, Canada.

出版信息

Anat Cell Biol. 2021 Jun 30;54(2):212-224. doi: 10.5115/acb.20.215.

DOI:10.5115/acb.20.215
PMID:33967032
原文链接:https://pmc.ncbi.nlm.nih.gov/articles/PMC8225470/
Abstract

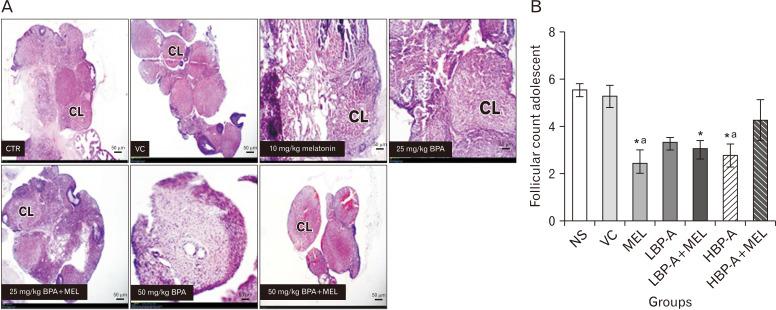
Bisphenol A is a chemical used primarily as a monomer in the production of polycarbonate plastics and epoxy resins. It is a synthetic chemical compound that is produced in billions of pounds annually, and tagged as an endocrine disruptor. Bisphenol A is a high production synthetic chemical compound that is used in the production of many consumables and equipments of daily consumption and use by man. Growing interest in possible health threats posed by endocrine disrupting chemicals (bisphenol-A inclusive), as these substances are in our environment, food, and many consumer products. Therefore, this study aims to determine bisphenol-A effects on the hypothalamo-pituitary-ovarian axis, and role of melatonin in this regard. Forty-two Wistar rats were bred, grouped into 7, with each group consisting of 6 rats. Experimental groups were administered low and high doses of bisphenol-A and melatonin, starting from day 19, and was continued for 7 weeks orally. They were left to develop into full adults and were sacrificed on day 120±4 days. Blood samples, hypothalamus, pituitary and ovarian tissues were excised for biochemical and tissue antioxidants assays as well as genetic studies. Results show elevated gonadotropin and androgen levels. There was disruption of reactive oxygen species in the ovarian tissues, as well as alterations in the expression of genes that regulate reproduction at the hypothalamus and pituitary levels. Conclusion of early exposure to bisphenol-A is associated with prolonged duration of disruption of reproductive functions in female Wistar rats, which persist long after cessation of the exposure. Melatonin antioxidant effects give some promising outturns against bisphenol-A induced toxicities.

摘要

双酚A是一种主要用作生产聚碳酸酯塑料和环氧树脂单体的化学物质。它是一种合成化合物,年产量达数十亿磅,并被标记为内分泌干扰物。双酚A是一种高产量的合成化合物,用于生产许多人类日常消费和使用的消费品及设备。人们越来越关注内分泌干扰化学物质(包括双酚A)可能对健康造成的威胁,因为这些物质存在于我们的环境、食物和许多消费品中。因此,本研究旨在确定双酚A对下丘脑 - 垂体 - 卵巢轴的影响,以及褪黑素在这方面的作用。饲养了42只Wistar大鼠,分为7组,每组6只。从第19天开始,对实验组口服低剂量和高剂量的双酚A及褪黑素,并持续7周。让它们发育为成年大鼠,并在第120±4天处死。采集血液样本、下丘脑、垂体和卵巢组织,用于生化和组织抗氧化剂检测以及基因研究。结果显示促性腺激素和雄激素水平升高。卵巢组织中的活性氧物种受到破坏,并且下丘脑和垂体水平上调节生殖的基因表达也发生了改变。结论是,早期接触双酚A与雌性Wistar大鼠生殖功能紊乱的持续时间延长有关,这种紊乱在接触停止后仍会持续很长时间。褪黑素的抗氧化作用对双酚A诱导的毒性产生了一些有希望的结果。

https://cdn.ncbi.nlm.nih.gov/pmc/blobs/c5b8/8225470/063d861ba733/acb-54-2-212-f5.jpg
https://cdn.ncbi.nlm.nih.gov/pmc/blobs/c5b8/8225470/20ac073e3c4d/acb-54-2-212-f1.jpg
https://cdn.ncbi.nlm.nih.gov/pmc/blobs/c5b8/8225470/8174e7f31d5c/acb-54-2-212-f2.jpg
https://cdn.ncbi.nlm.nih.gov/pmc/blobs/c5b8/8225470/52ca7ed47ca5/acb-54-2-212-f3.jpg
https://cdn.ncbi.nlm.nih.gov/pmc/blobs/c5b8/8225470/1e2860c73e3a/acb-54-2-212-f4.jpg
https://cdn.ncbi.nlm.nih.gov/pmc/blobs/c5b8/8225470/063d861ba733/acb-54-2-212-f5.jpg
https://cdn.ncbi.nlm.nih.gov/pmc/blobs/c5b8/8225470/20ac073e3c4d/acb-54-2-212-f1.jpg
https://cdn.ncbi.nlm.nih.gov/pmc/blobs/c5b8/8225470/8174e7f31d5c/acb-54-2-212-f2.jpg
https://cdn.ncbi.nlm.nih.gov/pmc/blobs/c5b8/8225470/52ca7ed47ca5/acb-54-2-212-f3.jpg
https://cdn.ncbi.nlm.nih.gov/pmc/blobs/c5b8/8225470/1e2860c73e3a/acb-54-2-212-f4.jpg
https://cdn.ncbi.nlm.nih.gov/pmc/blobs/c5b8/8225470/063d861ba733/acb-54-2-212-f5.jpg

相似文献

1
Alterations of Kiss 1 receptor, GnRH receptor and nuclear receptors of the hypothalamo-pituitary-ovarian axis following low dose bisphenol-A exposure in Wistar rats.低剂量双酚A暴露后Wistar大鼠下丘脑-垂体-卵巢轴中Kiss 1受体、GnRH受体及核受体的变化
Anat Cell Biol. 2021 Jun 30;54(2):212-224. doi: 10.5115/acb.20.215.
2
Impact of low-dose chronic exposure to bisphenol A and its analogue bisphenol B, bisphenol F and bisphenol S on hypothalamo-pituitary-testicular activities in adult rats: A focus on the possible hormonal mode of action.低剂量慢性暴露于双酚 A 及其类似物双酚 B、双酚 F 和双酚 S 对成年大鼠下丘脑-垂体-睾丸功能的影响:重点探讨其可能的激素作用模式。
Food Chem Toxicol. 2018 Nov;121:24-36. doi: 10.1016/j.fct.2018.08.024. Epub 2018 Aug 16.
3
Environmental obesogen tributyltin chloride leads to abnormal hypothalamic-pituitary-gonadal axis function by disruption in kisspeptin/leptin signaling in female rats.环境性肥胖诱导剂氯化三丁基锡通过破坏雌性大鼠的 kisspeptin/瘦素信号传导导致下丘脑 - 垂体 - 性腺轴功能异常。
Toxicol Appl Pharmacol. 2017 Mar 15;319:22-38. doi: 10.1016/j.taap.2017.01.021. Epub 2017 Feb 2.
4
Delayed onset of puberty in male offspring from bisphenol A-treated dams is followed by the modulation of gene expression in the hypothalamic-pituitary-testis axis in adulthood.双酚A处理过的母鼠所产雄性后代青春期延迟,成年后下丘脑-垂体-睾丸轴中的基因表达会受到调节。
Reprod Fertil Dev. 2017 Nov;29(12):2496-2505. doi: 10.1071/RD17107.
5
Adult exposure to bisphenol A (BPA) in Wistar rats reduces sperm quality with disruption of the hypothalamic-pituitary-testicular axis.成年Wistar大鼠暴露于双酚A(BPA)会降低精子质量,并破坏下丘脑-垂体-睾丸轴。
Toxicology. 2015 Mar 2;329:1-9. doi: 10.1016/j.tox.2015.01.002. Epub 2015 Jan 6.
6
Neonatal exposure to bisphenol A alters the hypothalamic-pituitary-thyroid axis in female rats.新生大鼠暴露于双酚A会改变雌性大鼠的下丘脑-垂体-甲状腺轴。
Toxicol Lett. 2018 Mar 15;285:81-86. doi: 10.1016/j.toxlet.2017.12.029. Epub 2018 Jan 2.
7
NTP-CERHR monograph on the potential human reproductive and developmental effects of bisphenol A.美国国家毒理学计划-生殖与发育毒性评价委员会关于双酚A对人类潜在生殖和发育影响的专著。
NTP CERHR MON. 2008 Sep(22):v, vii-ix, 1-64 passim.
8
Fighting Bisphenol A-Induced Male Infertility: The Power of Antioxidants.对抗双酚A诱导的男性不育:抗氧化剂的作用
Antioxidants (Basel). 2021 Feb 15;10(2):289. doi: 10.3390/antiox10020289.
9
The role of polycarbonate monomer bisphenol-A in insulin resistance.聚碳酸酯单体双酚A在胰岛素抵抗中的作用。
PeerJ. 2017 Sep 13;5:e3809. doi: 10.7717/peerj.3809. eCollection 2017.
10
Perinatal exposure to low-dose bisphenol A affects the neuroendocrine stress response in rats.围产期低剂量双酚 A 暴露会影响大鼠的神经内分泌应激反应。
J Endocrinol. 2014 Jan 27;220(3):207-18. doi: 10.1530/JOE-13-0416. Print 2014 Mar.

引用本文的文献

1
Different types of bisphenols alter ovarian steroidogenesis: Special attention to BPA.不同类型的双酚会改变卵巢类固醇生成:特别关注双酚A。
Heliyon. 2023 Jun 1;9(6):e16848. doi: 10.1016/j.heliyon.2023.e16848. eCollection 2023 Jun.
2
Endocrine disruptor chemicals, adipokines and reproductive functions.内分泌干扰化学物质、脂肪因子与生殖功能。
Endocrine. 2022 Nov;78(2):205-218. doi: 10.1007/s12020-022-03061-4. Epub 2022 Apr 27.
3
Effects of melatonin on the Bisphenol-A- induced cytotoxicity and genetic toxicity in colon cancer cell lines, normal gingival cell lines, and bone marrow stem cell lines.

本文引用的文献

1
Bisphenol A: Food Exposure and Impact on Human Health.双酚A:食物接触及其对人类健康的影响。
Compr Rev Food Sci Food Saf. 2018 Nov;17(6):1503-1517. doi: 10.1111/1541-4337.12388. Epub 2018 Sep 5.
2
Chronic exposure of adult male Wistar rats to bisphenol A causes testicular oxidative stress: Role of gallic acid.慢性暴露于双酚 A 会导致成年雄性 Wistar 大鼠睾丸氧化应激:没食子酸的作用。
Endocr Regul. 2020 Jan 1;54(1):14-21. doi: 10.2478/enr-2020-0003.
3
Bisphenol A: an emerging threat to female fertility.双酚 A:女性生育力面临的新威胁。
褪黑素对双酚A诱导的结肠癌细胞系、正常牙龈细胞系和骨髓干细胞系细胞毒性及遗传毒性的影响。
Cancer Inform. 2021 Nov 17;20:11769351211056295. doi: 10.1177/11769351211056295. eCollection 2021.
Reprod Biol Endocrinol. 2020 Mar 14;18(1):22. doi: 10.1186/s12958-019-0558-8.
4
Protective effects of lycopene on hippocampal neurotoxicity and memory impairment induced by bisphenol A in rats.番茄红素对双酚 A 诱导的大鼠海马神经毒性和记忆障碍的保护作用。
Hum Exp Toxicol. 2020 Aug;39(8):1066-1078. doi: 10.1177/0960327120909882. Epub 2020 Mar 10.
5
Protective role of lycopene against metabolic disorders induced by chronic bisphenol A exposure in rats.番茄红素对慢性双酚 A 暴露诱导的大鼠代谢紊乱的保护作用。
Environ Sci Pollut Res Int. 2020 Mar;27(9):9192-9201. doi: 10.1007/s11356-019-07509-5. Epub 2020 Jan 8.
6
Alleviating impact of hydroethanolic Murraya koenigii leaves extract on bisphenol A instigated testicular lethality and apoptosis in mice.减轻乙醇提取物对双酚A诱导的小鼠睾丸致死率和细胞凋亡的影响。
Andrologia. 2020 Apr;52(3):e13504. doi: 10.1111/and.13504. Epub 2020 Jan 8.
7
Bisphenol-A (BPA) in Foods commonly consumed in Southwest Nigeria and its Human Health Risk.食物中的双酚 A(BPA)在尼日利亚西南部的常见消费情况及其对人类健康的风险。
Sci Rep. 2019 Nov 25;9(1):17458. doi: 10.1038/s41598-019-53790-2.
8
Hazards of bisphenol A (BPA) exposure: A systematic review of plant toxicology studies.双酚 A(BPA)暴露的危害:植物毒理学研究的系统综述。
J Hazard Mater. 2020 Feb 15;384:121488. doi: 10.1016/j.jhazmat.2019.121488. Epub 2019 Oct 21.
9
Effect of melatonin on the onset of puberty in male juvenile rats.褪黑素对雄性幼年大鼠青春期启动的影响。
Anat Cell Biol. 2019 Sep;52(3):286-295. doi: 10.5115/acb.18.122. Epub 2019 Aug 26.
10
Vitamin C restores ovarian follicular reservation in a mouse model of aging.维生素C可恢复衰老小鼠模型中的卵巢卵泡储备。
Anat Cell Biol. 2019 Jun;52(2):196-203. doi: 10.5115/acb.2019.52.2.196. Epub 2019 Jun 30.