• 文献检索
  • 文档翻译
  • 深度研究
  • 学术资讯
  • Suppr Zotero 插件Zotero 插件
  • 邀请有礼
  • 套餐&价格
  • 历史记录
应用&插件
Suppr Zotero 插件Zotero 插件浏览器插件Mac 客户端Windows 客户端微信小程序
定价
高级版会员购买积分包购买API积分包
服务
文献检索文档翻译深度研究API 文档MCP 服务
关于我们
关于 Suppr公司介绍联系我们用户协议隐私条款
关注我们

Suppr 超能文献

核心技术专利:CN118964589B侵权必究
粤ICP备2023148730 号-1Suppr @ 2026

文献检索

告别复杂PubMed语法,用中文像聊天一样搜索,搜遍4000万医学文献。AI智能推荐,让科研检索更轻松。

立即免费搜索

文件翻译

保留排版,准确专业,支持PDF/Word/PPT等文件格式,支持 12+语言互译。

免费翻译文档

深度研究

AI帮你快速写综述,25分钟生成高质量综述,智能提取关键信息,辅助科研写作。

立即免费体验

组织激肽释放酶7在口腔鳞状细胞癌中的免疫组化表达

Immunohistochemical expression of kallikrein 7 in oral squamous cell carcinoma.

作者信息

Kumar Dodda Venkatesh, Sivaranjani Y, Rao Guttikonda Venkateswara

机构信息

Department of Oral Pathology and Microbiology, Mamata Dental College, Khammam, Telangana, India.

出版信息

J Oral Maxillofac Pathol. 2020 Sep-Dec;24(3):580. doi: 10.4103/jomfp.JOMFP_244_19. Epub 2021 Jan 9.

DOI:10.4103/jomfp.JOMFP_244_19
PMID:33967508
原文链接:https://pmc.ncbi.nlm.nih.gov/articles/PMC8083413/
Abstract

BACKGROUND AND OBJECTIVES

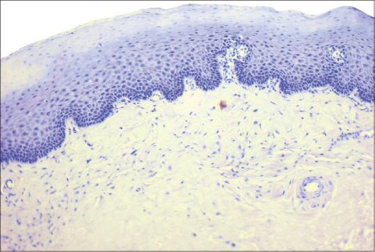
The kallikrein (KLK) family of genes consists of 15 members, many of which are highly expressed in number of cancers compared to their normal parent tissues. KLK7 was initially characterized as an enzyme implicated in the degradation of intercellular cohesive structures in the stratum corneum of stratified squamous epithelia, preceding desquamation in the skin. It catalyzes the degradation of desmosomes in the outermost layer of skin and permits cell shedding to take place at the skin surface. Overexpression of KLK7 in tumor cells has been reported to significantly enhance the invasive potential in intracranial malignancies and ovarian cancer cells. Thus, KLK7 could contribute to the degradation of extracellular matrices in oral squamous cell carcinoma (OSCC) tissues, promoting invasion of neoplastic cells locally and facilitating metastasis to regional lymph nodes. The objectives of the present study were to compare the expression of KLK 7 in normal subjects and patients with OSCC, to correlate the expression of KLK 7 with respect to the clinical staging of OSCC and to evaluate the expression of KLK 7with respect to different histopathological grades of OSCC.

MATERIALS AND METHODS

Thirty cases of OSCC were staged clinically and graded histopathologically. The immunohistochemical method was used to detect the expression of KLK 7 in OSCC. The scores obtained were documented and compared statistically.

RESULTS

KLK 7 immunoreactivity was noticed in all cases of OSCC. A statistically significant difference was observed in immunoreactivity of KLK 7 between the normal and OSCC ( = 0.0001*) and in different histopathological grades ( = 0.0001*) and in different clinical stages ( = 0.0127*) of OSCC using Kruskal-Wallis analysis of variance test.

CONCLUSION

The KLK 7 immunoexpression histopathologically increased from low grade to high grade and clinically from Stage 1 to Stage 4 in OSCC. Hence, increased expression of KLK 7 may be related to poor prognosis in patients with OSCC.

摘要

背景与目的

激肽释放酶(KLK)基因家族由15个成员组成,与正常组织相比,其中许多成员在多种癌症中高表达。KLK7最初被表征为一种参与分层鳞状上皮角质层细胞间黏附结构降解的酶,先于皮肤脱屑过程。它催化皮肤最外层桥粒的降解,使细胞能够在皮肤表面脱落。据报道,肿瘤细胞中KLK7的过表达可显著增强颅内恶性肿瘤和卵巢癌细胞的侵袭潜能。因此,KLK7可能参与口腔鳞状细胞癌(OSCC)组织细胞外基质的降解,促进肿瘤细胞的局部侵袭并便于转移至区域淋巴结。本研究的目的是比较KLK7在正常受试者和OSCC患者中的表达,将KLK7的表达与OSCC的临床分期相关联,并评估KLK7在不同组织病理学分级的OSCC中的表达。

材料与方法

30例OSCC患者进行了临床分期和组织病理学分级。采用免疫组织化学方法检测OSCC中KLK7的表达。记录所得分数并进行统计学比较。

结果

所有OSCC病例均检测到KLK7免疫反应性。使用Kruskal-Wallis方差分析检验,观察到正常组织与OSCC之间(P = 0.0001*)、不同组织病理学分级之间(P = 0.0001*)以及OSCC不同临床分期之间(P = 0.0127*)KLK7免疫反应性存在统计学显著差异。

结论

在OSCC中,KLK7免疫表达在组织病理学上从低级别到高级别增加,在临床上从1期到4期增加。因此,KLK7表达增加可能与OSCC患者的不良预后相关。

https://cdn.ncbi.nlm.nih.gov/pmc/blobs/0312/8083413/d71da63181b0/JOMFP-24-580-g005.jpg
https://cdn.ncbi.nlm.nih.gov/pmc/blobs/0312/8083413/ef65833ab26b/JOMFP-24-580-g001.jpg
https://cdn.ncbi.nlm.nih.gov/pmc/blobs/0312/8083413/6d2a84efe98e/JOMFP-24-580-g002.jpg
https://cdn.ncbi.nlm.nih.gov/pmc/blobs/0312/8083413/43c885900c45/JOMFP-24-580-g003.jpg
https://cdn.ncbi.nlm.nih.gov/pmc/blobs/0312/8083413/855b45dbb9bb/JOMFP-24-580-g004.jpg
https://cdn.ncbi.nlm.nih.gov/pmc/blobs/0312/8083413/d71da63181b0/JOMFP-24-580-g005.jpg
https://cdn.ncbi.nlm.nih.gov/pmc/blobs/0312/8083413/ef65833ab26b/JOMFP-24-580-g001.jpg
https://cdn.ncbi.nlm.nih.gov/pmc/blobs/0312/8083413/6d2a84efe98e/JOMFP-24-580-g002.jpg
https://cdn.ncbi.nlm.nih.gov/pmc/blobs/0312/8083413/43c885900c45/JOMFP-24-580-g003.jpg
https://cdn.ncbi.nlm.nih.gov/pmc/blobs/0312/8083413/855b45dbb9bb/JOMFP-24-580-g004.jpg
https://cdn.ncbi.nlm.nih.gov/pmc/blobs/0312/8083413/d71da63181b0/JOMFP-24-580-g005.jpg

相似文献

1
Immunohistochemical expression of kallikrein 7 in oral squamous cell carcinoma.组织激肽释放酶7在口腔鳞状细胞癌中的免疫组化表达
J Oral Maxillofac Pathol. 2020 Sep-Dec;24(3):580. doi: 10.4103/jomfp.JOMFP_244_19. Epub 2021 Jan 9.
2
Immunoexpression of Metallothionein in Oral Squamous Cell Carcinoma.金属硫蛋白在口腔鳞状细胞癌中的免疫表达
J Maxillofac Oral Surg. 2015 Dec;14(4):914-9. doi: 10.1007/s12663-015-0773-6. Epub 2015 Mar 18.
3
Glut-1 as a prognostic biomarker in oral squamous cell carcinoma.葡萄糖转运蛋白1作为口腔鳞状细胞癌的预后生物标志物
J Oral Maxillofac Pathol. 2014 Sep-Dec;18(3):372-8. doi: 10.4103/0973-029X.151318.
4
Selective Substrates and Inhibitors for Kallikrein-Related Peptidase 7 (KLK7) Shed Light on KLK Proteolytic Activity in the Stratum Corneum.激肽释放酶相关肽酶 7(KLK7)的选择性底物和抑制剂揭示了角质层中 KLK 蛋白水解活性。
J Invest Dermatol. 2017 Feb;137(2):430-439. doi: 10.1016/j.jid.2016.09.017. Epub 2016 Sep 30.
5
Differential roles of kallikrein-related peptidase 6 in malignant transformation and ΔNp63β-mediated epithelial-mesenchymal transition of oral squamous cell carcinoma.激肽释放酶相关肽酶 6 在口腔鳞状细胞癌恶性转化和 ΔNp63β 介导的上皮-间充质转化中的差异作用。
Oral Oncol. 2017 Dec;75:148-157. doi: 10.1016/j.oraloncology.2017.11.004. Epub 2017 Nov 14.
6
Correlation of E-cadherin Immunohistochemical Expression with Histopathological Grading of Oral Squamous Cell Carcinoma.E-钙黏蛋白免疫组化表达与口腔鳞状细胞癌组织病理学分级的相关性
Contemp Clin Dent. 2019 Apr-Jun;10(2):232-238. doi: 10.4103/ccd.ccd_624_18.
7
Elucidating the immunohistochemistry of Nanog: A transcription marker in the oral squamous cell carcinoma with emphasis on its origin as embryonic stem cell.阐明Nanog的免疫组织化学:一种口腔鳞状细胞癌中的转录标志物,重点关注其作为胚胎干细胞的起源。
J Oral Maxillofac Pathol. 2022 Oct-Dec;26(4):476-482. doi: 10.4103/jomfp.jomfp_347_22. Epub 2022 Dec 22.
8
Contactin 1 (CNTN1) expression associates with regional lymph node metastasis and is a novel predictor of prognosis in patients with oral squamous cell carcinoma.神经细胞黏附分子 1(CNTN1)的表达与局部淋巴结转移相关,是口腔鳞状细胞癌患者预后的一个新的预测指标。
Mol Med Rep. 2012 Aug;6(2):265-70. doi: 10.3892/mmr.2012.910. Epub 2012 May 9.
9
Expression of matrix metalloproteinase-9 in histological grades of oral squamous cell carcinoma: An immunohistochemical study.基质金属蛋白酶-9在口腔鳞状细胞癌组织学分级中的表达:一项免疫组织化学研究。
J Oral Maxillofac Pathol. 2021 May-Aug;25(2):239-246. doi: 10.4103/0973-029X.325121. Epub 2021 Aug 31.
10
Immunohistochemical expression of survivin in oral epithelial dysplasia and different grades of oral squamous cell carcinoma.生存素在口腔上皮异常增生及不同分级口腔鳞状细胞癌中的免疫组化表达
J Oral Maxillofac Pathol. 2022 Oct-Dec;26(4):451-457. doi: 10.4103/jomfp.jomfp_301_21. Epub 2022 Dec 22.

引用本文的文献

1
Reparative effects of Schizophyllum commune oat bran fermentation broth on UVB-induced skin inflammation via the JAK/STAT pathway.裂褶菌燕麦麸发酵液通过JAK/STAT途径对UVB诱导的皮肤炎症的修复作用。
Bioresour Bioprocess. 2024 Jul 25;11(1):73. doi: 10.1186/s40643-024-00792-2.
2
KLK7 expression in human tumors: a tissue microarray study on 13,447 tumors.KLK7 在人类肿瘤中的表达:对 13447 个肿瘤的组织微阵列研究。
BMC Cancer. 2024 Jul 3;24(1):794. doi: 10.1186/s12885-024-12552-8.
3
Multidimensional outlook on the pathophysiology of cervical cancer invasion and metastasis.

本文引用的文献

1
Kallikrein-related peptidase 7 is a potential target for the treatment of pancreatic cancer.激肽释放酶相关肽酶7是胰腺癌治疗的一个潜在靶点。
Oncotarget. 2018 Jan 10;9(16):12894-12906. doi: 10.18632/oncotarget.24132. eCollection 2018 Feb 27.
2
Histological and molecular aspects of oral squamous cell carcinoma (Review).口腔鳞状细胞癌的组织学和分子学方面(综述)
Oncol Lett. 2014 Jul;8(1):7-11. doi: 10.3892/ol.2014.2103. Epub 2014 Apr 29.
3
Oral squamous cell carcinoma in relation to field precancerisation: pathobiology.口腔鳞状细胞癌与局部癌前病变的关系:病理生物学。
宫颈癌侵袭和转移病理生理学的多维视角。
Mol Cell Biochem. 2023 Nov;478(11):2581-2606. doi: 10.1007/s11010-023-04686-3. Epub 2023 Mar 11.
4
Desmosomes in squamous cell carcinomas.鳞状细胞癌中的桥粒。
Ups J Med Sci. 2022 Jan 25;127. doi: 10.48101/ujms.v127.8250. eCollection 2022.
Cancer Cell Int. 2013 Apr 3;13(1):31. doi: 10.1186/1475-2867-13-31.
4
Correlation of the expression of human kallikrein-related peptidases 4 and 7 with the prognosis in oral squamous cell carcinoma.人激肽释放酶相关肽酶 4 和 7 的表达与口腔鳞状细胞癌预后的相关性。
Head Neck. 2011 Apr;33(4):566-72. doi: 10.1002/hed.21496.
5
Molecules of cell adhesion and extracellular matrix proteolysis in oral squamous cell carcinoma.口腔鳞状细胞癌中细胞黏附分子和细胞外基质蛋白水解。
Histol Histopathol. 2010 Jul;25(7):917-32. doi: 10.14670/HH-25.917.
6
Kallikreins on steroids: structure, function, and hormonal regulation of prostate-specific antigen and the extended kallikrein locus.类固醇类激肽释放酶:前列腺特异性抗原和扩展激肽释放酶基因座的结构、功能和激素调节。
Endocr Rev. 2010 Aug;31(4):407-46. doi: 10.1210/er.2009-0034. Epub 2010 Jan 26.
7
Multiple kallikrein (KLK 5, 7, 8, and 10) expression in squamous cell carcinoma of the oral cavity.多种激肽释放酶(KLK 5、7、8和10)在口腔鳞状细胞癌中的表达
Histol Histopathol. 2009 Feb;24(2):197-207. doi: 10.14670/HH-24.197.
8
Urinary-type plasminogen activator (uPA) and its receptor (uPAR) in squamous cell carcinoma of the oral cavity.口腔鳞状细胞癌中的尿激酶型纤溶酶原激活剂(uPA)及其受体(uPAR)
Biochem J. 2007 Oct 15;407(2):153-9. doi: 10.1042/BJ20071037.
9
Distribution of 15 human kallikreins in tissues and biological fluids.15种人组织激肽释放酶在组织和生物体液中的分布
Clin Chem. 2007 Aug;53(8):1423-32. doi: 10.1373/clinchem.2007.088104. Epub 2007 Jun 15.
10
Human tissue kallikrein expression in the stratum corneum and serum of atopic dermatitis patients.人组织激肽释放酶在特应性皮炎患者角质层和血清中的表达。
Exp Dermatol. 2007 Jun;16(6):513-9. doi: 10.1111/j.1600-0625.2007.00562.x.