• 文献检索
  • 文档翻译
  • 深度研究
  • 学术资讯
  • Suppr Zotero 插件Zotero 插件
  • 邀请有礼
  • 套餐&价格
  • 历史记录
应用&插件
Suppr Zotero 插件Zotero 插件浏览器插件Mac 客户端Windows 客户端微信小程序
定价
高级版会员购买积分包购买API积分包
服务
文献检索文档翻译深度研究API 文档MCP 服务
关于我们
关于 Suppr公司介绍联系我们用户协议隐私条款
关注我们

Suppr 超能文献

核心技术专利:CN118964589B侵权必究
粤ICP备2023148730 号-1Suppr @ 2026

文献检索

告别复杂PubMed语法,用中文像聊天一样搜索,搜遍4000万医学文献。AI智能推荐,让科研检索更轻松。

立即免费搜索

文件翻译

保留排版,准确专业,支持PDF/Word/PPT等文件格式,支持 12+语言互译。

免费翻译文档

深度研究

AI帮你快速写综述,25分钟生成高质量综述,智能提取关键信息,辅助科研写作。

立即免费体验

一名13岁女孩下颌阻生前磨牙合并复合-复杂牙瘤:病例报告

Impacted Mandibular Premolar Concomitant with Compound-Complex Odontome in a 13-year-old Girl: A Case Report.

作者信息

Ahuja Vipin R, Jayanna Rashmi, Ahuja Annapurna, Patel Supreeya

机构信息

Department of Pediatric and Preventive Dentistry, Hazaribag College of Dental Sciences, Demotand, Hazaribagh, Jharkhand, India.

Department of Periodontics and Implantology, Hazaribag College of Dental Sciences and Hospital, Hazaribagh, Jharkhand, India.

出版信息

Int J Clin Pediatr Dent. 2020 Nov-Dec;13(6):729-733. doi: 10.5005/jp-journals-10005-1858.

DOI:10.5005/jp-journals-10005-1858
PMID:33976503
原文链接:https://pmc.ncbi.nlm.nih.gov/articles/PMC8060928/
Abstract

UNLABELLED

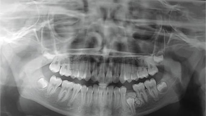
Odontomas, the benign odontogenic tumors of epithelial and mesenchymal origin, are very common in occurrence and are now widely accepted as hamartomas. Odontomes are invariably composed of enamel and dentin, and may also have variable amounts of cementum and pulp. Largely, odontomas have been categorized into the compound and complex varieties. Compound odontoma epitomizes itself as aberrations with the presence of all types of dental tissues and showing an orderly distribution in the form of tooth-like structures; whereas complex odontoma describes itself as aberrations in which the presence of some or all dental tissues and in a disorganized distribution. Herein, a case of compound-complex odontome associated with the impaction of a mandibular second premolar is being presented in a 13-year-old girl.

HOW TO CITE THIS ARTICLE

Ahuja VR, Jayanna R, Ahuja A, Impacted Mandibular Premolar Concomitant with Compound-Complex Odontome in a 13-year-old Girl: A Case Report. Int J Clin Pediatr Dent 2020;13(6):729-733.

摘要

未标注

牙瘤是上皮和间充质来源的良性牙源性肿瘤,发病率很高,目前被广泛认为是错构瘤。牙瘤总是由釉质和牙本质组成,也可能含有不同量的牙骨质和牙髓。牙瘤在很大程度上已被分为复合性和复杂性两种类型。复合性牙瘤表现为所有类型的牙体组织均存在异常,且呈牙样结构有序分布;而复杂性牙瘤则表现为部分或全部牙体组织存在异常且分布紊乱。本文报告了一名13岁女孩,患有与下颌第二前磨牙阻生相关的复合 - 复杂性牙瘤。

如何引用本文

Ahuja VR, Jayanna R, Ahuja A, 13岁女孩下颌前磨牙阻生伴复合 - 复杂性牙瘤:病例报告。《国际临床儿科牙科学杂志》2020年;13(6):729 - 733。

https://cdn.ncbi.nlm.nih.gov/pmc/blobs/34d7/8060928/004810621b69/ijcpd-13-729-g015.jpg
https://cdn.ncbi.nlm.nih.gov/pmc/blobs/34d7/8060928/31578409613a/ijcpd-13-729-g001.jpg
https://cdn.ncbi.nlm.nih.gov/pmc/blobs/34d7/8060928/7350c0d62da0/ijcpd-13-729-g002.jpg
https://cdn.ncbi.nlm.nih.gov/pmc/blobs/34d7/8060928/06f0326a93a2/ijcpd-13-729-g003.jpg
https://cdn.ncbi.nlm.nih.gov/pmc/blobs/34d7/8060928/13a9947de587/ijcpd-13-729-g004.jpg
https://cdn.ncbi.nlm.nih.gov/pmc/blobs/34d7/8060928/c9d1fde87aca/ijcpd-13-729-g005.jpg
https://cdn.ncbi.nlm.nih.gov/pmc/blobs/34d7/8060928/06a1f44e946f/ijcpd-13-729-g006.jpg
https://cdn.ncbi.nlm.nih.gov/pmc/blobs/34d7/8060928/5d70f77d91bb/ijcpd-13-729-g007.jpg
https://cdn.ncbi.nlm.nih.gov/pmc/blobs/34d7/8060928/a342dae1d8e3/ijcpd-13-729-g008.jpg
https://cdn.ncbi.nlm.nih.gov/pmc/blobs/34d7/8060928/2d7d10074f2c/ijcpd-13-729-g009.jpg
https://cdn.ncbi.nlm.nih.gov/pmc/blobs/34d7/8060928/ab2eb9132a18/ijcpd-13-729-g010.jpg
https://cdn.ncbi.nlm.nih.gov/pmc/blobs/34d7/8060928/18570b946ee9/ijcpd-13-729-g011.jpg
https://cdn.ncbi.nlm.nih.gov/pmc/blobs/34d7/8060928/6a3afe285e82/ijcpd-13-729-g012.jpg
https://cdn.ncbi.nlm.nih.gov/pmc/blobs/34d7/8060928/6a188b618550/ijcpd-13-729-g013.jpg
https://cdn.ncbi.nlm.nih.gov/pmc/blobs/34d7/8060928/8d6cd6927c78/ijcpd-13-729-g014.jpg
https://cdn.ncbi.nlm.nih.gov/pmc/blobs/34d7/8060928/004810621b69/ijcpd-13-729-g015.jpg
https://cdn.ncbi.nlm.nih.gov/pmc/blobs/34d7/8060928/31578409613a/ijcpd-13-729-g001.jpg
https://cdn.ncbi.nlm.nih.gov/pmc/blobs/34d7/8060928/7350c0d62da0/ijcpd-13-729-g002.jpg
https://cdn.ncbi.nlm.nih.gov/pmc/blobs/34d7/8060928/06f0326a93a2/ijcpd-13-729-g003.jpg
https://cdn.ncbi.nlm.nih.gov/pmc/blobs/34d7/8060928/13a9947de587/ijcpd-13-729-g004.jpg
https://cdn.ncbi.nlm.nih.gov/pmc/blobs/34d7/8060928/c9d1fde87aca/ijcpd-13-729-g005.jpg
https://cdn.ncbi.nlm.nih.gov/pmc/blobs/34d7/8060928/06a1f44e946f/ijcpd-13-729-g006.jpg
https://cdn.ncbi.nlm.nih.gov/pmc/blobs/34d7/8060928/5d70f77d91bb/ijcpd-13-729-g007.jpg
https://cdn.ncbi.nlm.nih.gov/pmc/blobs/34d7/8060928/a342dae1d8e3/ijcpd-13-729-g008.jpg
https://cdn.ncbi.nlm.nih.gov/pmc/blobs/34d7/8060928/2d7d10074f2c/ijcpd-13-729-g009.jpg
https://cdn.ncbi.nlm.nih.gov/pmc/blobs/34d7/8060928/ab2eb9132a18/ijcpd-13-729-g010.jpg
https://cdn.ncbi.nlm.nih.gov/pmc/blobs/34d7/8060928/18570b946ee9/ijcpd-13-729-g011.jpg
https://cdn.ncbi.nlm.nih.gov/pmc/blobs/34d7/8060928/6a3afe285e82/ijcpd-13-729-g012.jpg
https://cdn.ncbi.nlm.nih.gov/pmc/blobs/34d7/8060928/6a188b618550/ijcpd-13-729-g013.jpg
https://cdn.ncbi.nlm.nih.gov/pmc/blobs/34d7/8060928/8d6cd6927c78/ijcpd-13-729-g014.jpg
https://cdn.ncbi.nlm.nih.gov/pmc/blobs/34d7/8060928/004810621b69/ijcpd-13-729-g015.jpg

相似文献

1
Impacted Mandibular Premolar Concomitant with Compound-Complex Odontome in a 13-year-old Girl: A Case Report.一名13岁女孩下颌阻生前磨牙合并复合-复杂牙瘤:病例报告
Int J Clin Pediatr Dent. 2020 Nov-Dec;13(6):729-733. doi: 10.5005/jp-journals-10005-1858.
2
Compound Odontome: A Case Report.复合性牙瘤:一例报告
Int J Clin Pediatr Dent. 2019 Jan-Feb;12(1):64-67. doi: 10.5005/jp-journals-10005-1575.
3
Complex-compound Odontome with 526 Denticles: A Unique Case Report.含526个牙小体的复合-复杂牙瘤:一例独特病例报告
Int J Clin Pediatr Dent. 2022 Nov-Dec;15(6):789-792. doi: 10.5005/jp-journals-10005-2460.
4
Erupted compound odontome.萌出性复合牙瘤。
J Oral Maxillofac Pathol. 2009 Jan;13(1):47-50. doi: 10.4103/0973-029X.48758.
5
A rare association of compound odontome with missing lateral incisor.复合性牙瘤与侧切牙缺失的罕见关联。
Int J Clin Pediatr Dent. 2014 Jan;7(1):50-3. doi: 10.5005/jp-journals-10005-1234. Epub 2014 Apr 26.
6
A Fortuitous Finding of Asymptomatic Compound Odontoma Consisting of 156 Denticles on a Routine Radiographic Examination: A Case Report.一例在常规影像学检查中偶然发现的由156个牙小体组成的无症状复合性牙瘤病例报告
Int J Clin Pediatr Dent. 2024 Jun;17(6):723-727. doi: 10.5005/jp-journals-10005-2913.
7
Orthodontic management of an impacted maxillary incisor due to odontoma.牙瘤导致上颌中切牙阻生的正畸治疗
Contemp Clin Dent. 2011 Jan;2(1):37-40. doi: 10.4103/0976-237X.79312.
8
The Enigma Unveiled: Expansile Compound-complex Odontoma in the Anterior Maxilla of a Teenager.谜团揭开:青少年上颌前部的膨胀性复合性复杂牙瘤
Int J Clin Pediatr Dent. 2024 Jan;17(1):82-85. doi: 10.5005/jp-journals-10005-2735.
9
Incidental Finding of an Odontome Attached with Primary Teeth: A Rare Case Report.乳牙附着牙瘤的偶然发现:一例罕见病例报告
Int J Clin Pediatr Dent. 2021 Jan-Feb;14(1):167-169. doi: 10.5005/jp-journals-10005-1899.
10
Complex Composite Odontoma.
Int J Clin Pediatr Dent. 2010 May-Aug;3(2):117-20. doi: 10.5005/jp-journals-10005-1066. Epub 2010 Aug 17.

引用本文的文献

1
The Long-Term Management of a Compound Odontoma: Successful Implant Rehabilitation After a Four-Year Follow-Up.复合性牙瘤的长期管理:四年随访后的成功种植修复
Cureus. 2025 Apr 25;17(4):e82960. doi: 10.7759/cureus.82960. eCollection 2025 Apr.
2
The Enigma Unveiled: Expansile Compound-complex Odontoma in the Anterior Maxilla of a Teenager.谜团揭开:青少年上颌前部的膨胀性复合性复杂牙瘤
Int J Clin Pediatr Dent. 2024 Jan;17(1):82-85. doi: 10.5005/jp-journals-10005-2735.

本文引用的文献

1
A case of dental hamartoma associated with unerupted primary canine in maxillary region.上颌区一例与未萌出乳尖牙相关的牙错构瘤。
Natl J Maxillofac Surg. 2018 Jul-Dec;9(2):232-234. doi: 10.4103/njms.NJMS_22_18.
2
Odontome: A Brief Overview.牙瘤:简要概述
Int J Clin Pediatr Dent. 2011 Sep-Dec;4(3):177-85. doi: 10.5005/jp-journals-10005-1106. Epub 2011 Apr 15.
3
Compound odontoma in the mandible--case study and literature review.下颌骨复合性牙瘤——病例研究与文献综述
Dev Period Med. 2015 Oct-Dec;19(4):484-9.
4
Complex and compound odontomas: Analysis of 69 cases and a rare case of erupted compound odontoma.复杂型和复合型牙瘤:69例分析及1例罕见的萌出型复合型牙瘤病例
Niger J Clin Pract. 2015 Nov-Dec;18(6):726-30. doi: 10.4103/1119-3077.154209.
5
Ectopic compound odontoma in the buccal mucosa: report of a rare case.颊黏膜异位复合性牙瘤:1例罕见病例报告
Case Rep Dent. 2015;2015:835171. doi: 10.1155/2015/835171. Epub 2015 Feb 25.
6
Impacted permanent incisors associated with compound odontoma.与复合性牙瘤相关的埋伏恒切牙
BMJ Case Rep. 2015 Jan 12;2015:bcr2014208201. doi: 10.1136/bcr-2014-208201.
7
Peripheral compound odontoma erupting in the gingiva.牙龈内萌出的外周性复合性牙瘤。
Head Face Med. 2013 Jun 11;9:15. doi: 10.1186/1746-160X-9-15.
8
Complex and compound odontomas.复杂型和复合型牙瘤
J Craniofac Surg. 2012 May;23(3):685-8. doi: 10.1097/SCS.0b013e31824dba1f.
9
A case of unerupted lower primary second molar associated with compound odontoma.一例与复合性牙瘤相关的未萌出下颌乳第二磨牙病例。
Open Dent J. 2009 Aug 13;3:173-6. doi: 10.2174/1874210600903010173.
10
Erupted compound odontoma: case report of a 15-year-old Sudanese boy with a history of traditional dental mutilation.萌出性复合性牙瘤:一名有传统牙齿毁损史的15岁苏丹男孩的病例报告。
Br Dent J. 2008 Jan 12;204(1):11-4. doi: 10.1038/bdj.2007.1184.