• 文献检索
  • 文档翻译
  • 深度研究
  • 学术资讯
  • Suppr Zotero 插件Zotero 插件
  • 邀请有礼
  • 套餐&价格
  • 历史记录
应用&插件
Suppr Zotero 插件Zotero 插件浏览器插件Mac 客户端Windows 客户端微信小程序
定价
高级版会员购买积分包购买API积分包
服务
文献检索文档翻译深度研究API 文档MCP 服务
关于我们
关于 Suppr公司介绍联系我们用户协议隐私条款
关注我们

Suppr 超能文献

核心技术专利:CN118964589B侵权必究
粤ICP备2023148730 号-1Suppr @ 2026

文献检索

告别复杂PubMed语法,用中文像聊天一样搜索,搜遍4000万医学文献。AI智能推荐,让科研检索更轻松。

立即免费搜索

文件翻译

保留排版,准确专业,支持PDF/Word/PPT等文件格式,支持 12+语言互译。

免费翻译文档

深度研究

AI帮你快速写综述,25分钟生成高质量综述,智能提取关键信息,辅助科研写作。

立即免费体验

绒毛膜羊膜炎诱导胎羊肝内炎症和肠肝循环的时相变化。

Chorioamnionitis induces hepatic inflammation and time-dependent changes of the enterohepatic circulation in the ovine fetus.

机构信息

Department of Surgery, NUTRIM School of Nutrition and Translational Research in Metabolism, Maastricht University, 6200, MD, Maastricht, the Netherlands.

Department of Surgery, Maastricht University Medical Center+, 6202, AZ, Maastricht, the Netherlands.

出版信息

Sci Rep. 2021 May 14;11(1):10331. doi: 10.1038/s41598-021-89542-4.

DOI:10.1038/s41598-021-89542-4
PMID:33990635
原文链接:https://pmc.ncbi.nlm.nih.gov/articles/PMC8121927/
Abstract

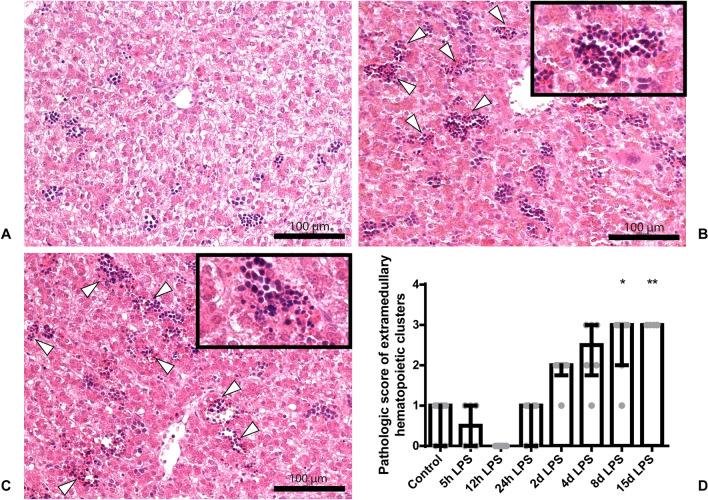
Chorioamnionitis, inflammation of fetal membranes, is an important cause of preterm birth and a risk factor for the development of adverse neonatal outcomes including sepsis and intestinal pathologies. Intestinal bile acids (BAs) accumulation and hepatic cytokine production are involved in adverse intestinal outcomes. These findings triggered us to study the liver and enterohepatic circulation (EHC) following intra-amniotic (IA) lipopolysaccharide (LPS) exposure. An ovine chorioamnionitis model was used in which circulatory cytokines and outcomes of the liver and EHC of preterm lambs were longitudinally assessed following IA administration of 10 mg LPS at 5, 12 or 24h or 2, 4, 8 or 15d before preterm birth. Hepatic inflammation was observed, characterized by increased hepatic cytokine mRNA levels (5h - 2d post IA LPS exposure) and increased erythropoietic clusters (at 8 and 15 days post IA LPS exposure). Besides, 12h after IA LPS exposure, plasma BA levels were increased, whereas gene expression levels of several hepatic BA transporters were decreased. Initial EHC alterations normalized over time. Concluding, IA LPS exposure induces significant time-dependent changes in the fetal liver and EHC. These chorioamnionitis induced changes have potential postnatal consequences and the duration of IA LPS exposure might be essential herein.

摘要

绒毛膜羊膜炎,即胎儿膜的炎症,是早产的重要原因,也是导致包括败血症和肠道病变在内的不良新生儿结局的危险因素。肠道胆汁酸(BAs)积累和肝脏细胞因子产生与不良肠道结局有关。这些发现促使我们研究羊膜内(IA)脂多糖(LPS)暴露后肝脏和肠肝循环(EHC)的变化。本研究建立了羊的绒毛膜羊膜炎模型,在早产前 5、12 或 24 小时或 2、4、8 或 15 天 IA 给予 10mg LPS 后,纵向评估早产前胎羊循环细胞因子以及肝脏和 EHC 的结局。观察到肝脏炎症,表现为肝细胞因子 mRNA 水平升高(IA LPS 暴露后 5 小时至 2 天)和红细胞生成簇增加(IA LPS 暴露后 8 天和 15 天)。此外,IA LPS 暴露后 12 小时,血浆 BA 水平升高,而几个肝脏 BA 转运体的基因表达水平降低。最初的 EHC 改变随着时间的推移而趋于正常。总之,IA LPS 暴露会导致胎儿肝脏和 EHC 发生显著的时间依赖性变化。这些绒毛膜羊膜炎引起的变化可能具有产后的影响,IA LPS 暴露的持续时间在此过程中可能至关重要。

https://cdn.ncbi.nlm.nih.gov/pmc/blobs/3972/8121927/7074f80c20b4/41598_2021_89542_Fig9_HTML.jpg
https://cdn.ncbi.nlm.nih.gov/pmc/blobs/3972/8121927/225d235775ca/41598_2021_89542_Fig1_HTML.jpg
https://cdn.ncbi.nlm.nih.gov/pmc/blobs/3972/8121927/eb79b467f80e/41598_2021_89542_Fig2_HTML.jpg
https://cdn.ncbi.nlm.nih.gov/pmc/blobs/3972/8121927/bcb9a5c3bf65/41598_2021_89542_Fig3_HTML.jpg
https://cdn.ncbi.nlm.nih.gov/pmc/blobs/3972/8121927/f059800d0c81/41598_2021_89542_Fig4_HTML.jpg
https://cdn.ncbi.nlm.nih.gov/pmc/blobs/3972/8121927/763a839348c7/41598_2021_89542_Fig5_HTML.jpg
https://cdn.ncbi.nlm.nih.gov/pmc/blobs/3972/8121927/b9fef7c673e1/41598_2021_89542_Fig6_HTML.jpg
https://cdn.ncbi.nlm.nih.gov/pmc/blobs/3972/8121927/274354151dd4/41598_2021_89542_Fig7_HTML.jpg
https://cdn.ncbi.nlm.nih.gov/pmc/blobs/3972/8121927/b0afca679a1d/41598_2021_89542_Fig8_HTML.jpg
https://cdn.ncbi.nlm.nih.gov/pmc/blobs/3972/8121927/7074f80c20b4/41598_2021_89542_Fig9_HTML.jpg
https://cdn.ncbi.nlm.nih.gov/pmc/blobs/3972/8121927/225d235775ca/41598_2021_89542_Fig1_HTML.jpg
https://cdn.ncbi.nlm.nih.gov/pmc/blobs/3972/8121927/eb79b467f80e/41598_2021_89542_Fig2_HTML.jpg
https://cdn.ncbi.nlm.nih.gov/pmc/blobs/3972/8121927/bcb9a5c3bf65/41598_2021_89542_Fig3_HTML.jpg
https://cdn.ncbi.nlm.nih.gov/pmc/blobs/3972/8121927/f059800d0c81/41598_2021_89542_Fig4_HTML.jpg
https://cdn.ncbi.nlm.nih.gov/pmc/blobs/3972/8121927/763a839348c7/41598_2021_89542_Fig5_HTML.jpg
https://cdn.ncbi.nlm.nih.gov/pmc/blobs/3972/8121927/b9fef7c673e1/41598_2021_89542_Fig6_HTML.jpg
https://cdn.ncbi.nlm.nih.gov/pmc/blobs/3972/8121927/274354151dd4/41598_2021_89542_Fig7_HTML.jpg
https://cdn.ncbi.nlm.nih.gov/pmc/blobs/3972/8121927/b0afca679a1d/41598_2021_89542_Fig8_HTML.jpg
https://cdn.ncbi.nlm.nih.gov/pmc/blobs/3972/8121927/7074f80c20b4/41598_2021_89542_Fig9_HTML.jpg

相似文献

1
Chorioamnionitis induces hepatic inflammation and time-dependent changes of the enterohepatic circulation in the ovine fetus.绒毛膜羊膜炎诱导胎羊肝内炎症和肠肝循环的时相变化。
Sci Rep. 2021 May 14;11(1):10331. doi: 10.1038/s41598-021-89542-4.
2
Prophylactic Intra-Uterine β-Cyclodextrin Administration during Intra-Uterine Infection Partly Prevents Liver Inflammation without Interfering with the Enterohepatic Circulation of the Fetal Sheep.宫内感染期间预防性宫内给予β-环糊精部分预防肝脏炎症而不干扰胎羊的肠肝循环。
Nutrients. 2020 May 5;12(5):1312. doi: 10.3390/nu12051312.
3
Chorioamnionitis induces enteric nervous system injury: effects of timing and inflammation in the ovine fetus.羊胎中,绒毛膜羊膜炎诱导肠神经系统损伤:时间和炎症的影响。
Mol Med. 2020 Sep 3;26(1):82. doi: 10.1186/s10020-020-00206-x.
4
Pulmonary and systemic endotoxin tolerance in preterm fetal sheep exposed to chorioamnionitis.暴露于绒毛膜羊膜炎的早产胎羊的肺和全身内毒素耐受性
J Immunol. 2007 Dec 15;179(12):8491-9. doi: 10.4049/jimmunol.179.12.8491.
5
Prenatal Endotoxin Exposure Induces Fetal and Neonatal Renal Inflammation via Innate and Th1 Immune Activation in Preterm Pigs.产前内毒素暴露通过先天和 Th1 免疫激活诱导早产猪胎儿和新生儿肾脏炎症。
Front Immunol. 2020 Sep 30;11:565484. doi: 10.3389/fimmu.2020.565484. eCollection 2020.
6
Chronic Intra-Uterine Infection Induces Injury of the Enteric Nervous System in Ovine Fetuses.慢性宫内感染诱导绵羊胎儿肠神经系统损伤。
Front Immunol. 2020 Mar 17;11:189. doi: 10.3389/fimmu.2020.00189. eCollection 2020.
7
Prenatal Intra-Amniotic Endotoxin Induces Fetal Gut and Lung Immune Responses and Postnatal Systemic Inflammation in Preterm Pigs.产前羊膜内内毒素诱导早产仔猪胎儿肠道和肺部免疫反应及出生后全身炎症反应。
Am J Pathol. 2018 Nov;188(11):2629-2643. doi: 10.1016/j.ajpath.2018.07.020. Epub 2018 Oct 9.
8
Direct administration of the non-competitive interleukin-1 receptor antagonist rytvela transiently reduced intrauterine inflammation in an extremely preterm sheep model of chorioamnionitis.直接给予非竞争性白细胞介素-1 受体拮抗剂瑞特维拉可短暂减轻绒毛膜羊膜炎极早产儿羊模型的宫内炎症。
PLoS One. 2021 Sep 24;16(9):e0257847. doi: 10.1371/journal.pone.0257847. eCollection 2021.
9
Intra-amniotic pharmacological blockade of inflammatory signalling pathways in an ovine chorioamnionitis model.羊胎膜炎模型中羊膜内炎症信号通路的药物阻断。
Mol Hum Reprod. 2015 May;21(5):479-89. doi: 10.1093/molehr/gav005. Epub 2015 Feb 3.
10
IL-1 mediates pulmonary and systemic inflammatory responses to chorioamnionitis induced by lipopolysaccharide.白细胞介素-1介导对脂多糖诱导的绒毛膜羊膜炎的肺部和全身炎症反应。
Am J Respir Crit Care Med. 2009 May 15;179(10):955-61. doi: 10.1164/rccm.200811-1728OC. Epub 2009 Feb 20.

引用本文的文献

1
Systemic inflammatory responses to repeated and increasing endotoxin challenges in fetal sheep.胎儿绵羊对反复递增的内毒素刺激的全身炎症反应。
Physiol Rep. 2025 Apr;13(8):e70316. doi: 10.14814/phy2.70316.
2
Systemic Inflammatory Response Syndrome, Thromboinflammation, and Septic Shock in Fetuses and Neonates.胎儿和新生儿的全身炎症反应综合征、血栓炎症和感染性休克
Int J Mol Sci. 2025 Apr 1;26(7):3259. doi: 10.3390/ijms26073259.

本文引用的文献

1
Intestinal Goblet Cell Loss during Chorioamnionitis in Fetal Lambs: Mechanistic Insights and Postnatal Implications.胎羊绒毛膜羊膜炎时肠杯状细胞丢失:发病机制见解及出生后影响。
Int J Mol Sci. 2021 Feb 16;22(4):1946. doi: 10.3390/ijms22041946.
2
Chorioamnionitis induces enteric nervous system injury: effects of timing and inflammation in the ovine fetus.羊胎中,绒毛膜羊膜炎诱导肠神经系统损伤:时间和炎症的影响。
Mol Med. 2020 Sep 3;26(1):82. doi: 10.1186/s10020-020-00206-x.
3
inflammatory challenge induces an early activation of the hepatic innate immune response in late gestation fetal sheep.
在妊娠晚期胎儿羊中,炎症挑战会引发肝脏先天免疫反应的早期激活。
Innate Immun. 2020 Oct;26(7):549-564. doi: 10.1177/1753425920928388. Epub 2020 Jun 14.
4
Prophylactic Intra-Uterine β-Cyclodextrin Administration during Intra-Uterine Infection Partly Prevents Liver Inflammation without Interfering with the Enterohepatic Circulation of the Fetal Sheep.宫内感染期间预防性宫内给予β-环糊精部分预防肝脏炎症而不干扰胎羊的肠肝循环。
Nutrients. 2020 May 5;12(5):1312. doi: 10.3390/nu12051312.
5
Stress Erythropoiesis is a Key Inflammatory Response.应激性红细胞生成是一种关键的炎症反应。
Cells. 2020 Mar 6;9(3):634. doi: 10.3390/cells9030634.
6
Guts and Gall: Bile Acids in Regulation of Intestinal Epithelial Function in Health and Disease.肝胆相照:胆汁酸在健康与疾病中的肠道上皮功能调节作用。
Physiol Rev. 2018 Oct 1;98(4):1983-2023. doi: 10.1152/physrev.00054.2017.
7
Chorioamnionitis, neuroinflammation, and injury: timing is key in the preterm ovine fetus.绒毛膜羊膜炎、神经炎症和损伤:在早产羊胎儿中,时间是关键。
J Neuroinflammation. 2018 Apr 19;15(1):113. doi: 10.1186/s12974-018-1149-x.
8
Annual Summary of Vital Statistics: 2013-2014.《2013 - 2014年生命统计年度总结》
Pediatrics. 2017 Jun;139(6). doi: 10.1542/peds.2016-3239.
9
Fecal Bile Salts and the Development of Necrotizing Enterocolitis in Preterm Infants.粪便胆汁盐与早产儿坏死性小肠结肠炎的发生
PLoS One. 2017 Jan 3;12(1):e0168633. doi: 10.1371/journal.pone.0168633. eCollection 2017.
10
Metabolic effects of intestinal absorption and enterohepatic cycling of bile acids.胆汁酸肠道吸收和肠肝循环的代谢效应。
Acta Pharm Sin B. 2015 Mar;5(2):129-34. doi: 10.1016/j.apsb.2015.01.001. Epub 2015 Feb 20.