• 文献检索
  • 文档翻译
  • 深度研究
  • 学术资讯
  • Suppr Zotero 插件Zotero 插件
  • 邀请有礼
  • 套餐&价格
  • 历史记录
应用&插件
Suppr Zotero 插件Zotero 插件浏览器插件Mac 客户端Windows 客户端微信小程序
定价
高级版会员购买积分包购买API积分包
服务
文献检索文档翻译深度研究API 文档MCP 服务
关于我们
关于 Suppr公司介绍联系我们用户协议隐私条款
关注我们

Suppr 超能文献

核心技术专利:CN118964589B侵权必究
粤ICP备2023148730 号-1Suppr @ 2026

文献检索

告别复杂PubMed语法,用中文像聊天一样搜索,搜遍4000万医学文献。AI智能推荐,让科研检索更轻松。

立即免费搜索

文件翻译

保留排版,准确专业,支持PDF/Word/PPT等文件格式,支持 12+语言互译。

免费翻译文档

深度研究

AI帮你快速写综述,25分钟生成高质量综述,智能提取关键信息,辅助科研写作。

立即免费体验

慢性宫内感染诱导绵羊胎儿肠神经系统损伤。

Chronic Intra-Uterine Infection Induces Injury of the Enteric Nervous System in Ovine Fetuses.

机构信息

Department of Surgery, NUTRIM School of Nutrition and Translational Research in Metabolism, Maastricht University, Maastricht, Netherlands.

Department of Pediatrics, School for Oncology and Developmental Biology (GROW), Maastricht University, Maastricht, Netherlands.

出版信息

Front Immunol. 2020 Mar 17;11:189. doi: 10.3389/fimmu.2020.00189. eCollection 2020.

DOI:10.3389/fimmu.2020.00189
PMID:32256485
原文链接:https://pmc.ncbi.nlm.nih.gov/articles/PMC7089942/
Abstract

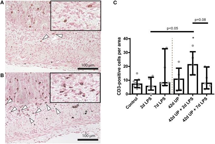
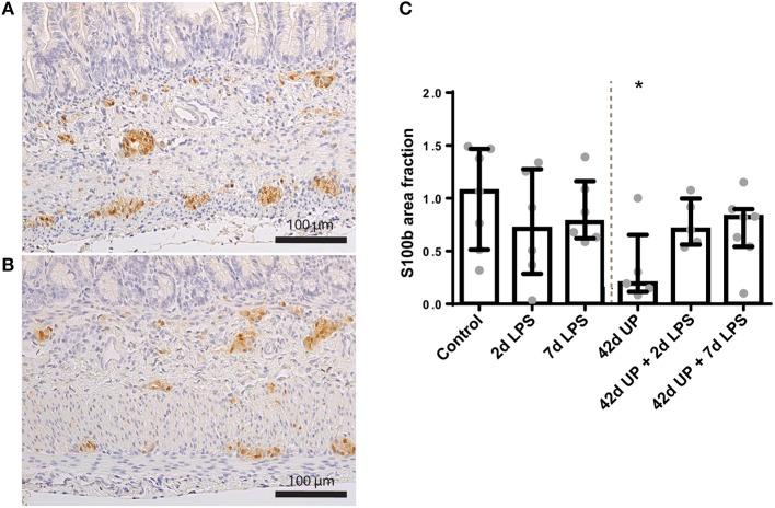
Chorioamnionitis, inflammation of the fetal membranes during pregnancy, is often caused by intra-amniotic (IA) infection with single or multiple microbes. Chorioamnionitis can be either acute or chronic and is associated with adverse postnatal outcomes of the intestine, including necrotizing enterocolitis (NEC). Neonates with NEC have structural and functional damage to the intestinal mucosa and the enteric nervous system (ENS), with loss of enteric neurons and glial cells. Yet, the impact of acute, chronic, or repetitive antenatal inflammatory stimuli on the development of the intestinal mucosa and ENS has not been studied. The aim of this study was therefore to investigate the effect of acute, chronic, and repetitive microbial exposure on the intestinal mucosa, submucosa and ENS in premature lambs. A sheep model of pregnancy was used in which the ileal mucosa, submucosa, and ENS were assessed following IA exposure to lipopolysaccharide (LPS) for 2 or 7 days (acute), (UP) for 42 days (chronic), or repetitive microbial exposure (42 days UP with 2 or 7 days LPS). IA LPS exposure for 7 days or IA UP exposure for 42 days caused intestinal injury and inflammation in the mucosal and submucosal layers of the gut. Repetitive microbial exposure did not further aggravate injury of the terminal ileum. Chronic IA UP exposure caused significant structural ENS alterations characterized by loss of PGP9.5 and S100β immunoreactivity, whereas these changes were not found after re-exposure of chronic UP-exposed fetuses to LPS for 2 or 7 days. The loss of PGP9.5 and S100β immunoreactivity following chronic UP exposure corresponds with intestinal changes in neonates with NEC and may therefore form a novel mechanistic explanation for the association of chorioamnionitis and NEC.

摘要

绒毛膜羊膜炎,即妊娠期间胎儿膜的炎症,通常由单一或多种微生物引起的羊膜内(IA)感染引起。绒毛膜羊膜炎可以是急性的或慢性的,并与肠道的不良产后结局相关,包括坏死性小肠结肠炎(NEC)。患有 NEC 的新生儿的肠黏膜和肠神经系统(ENS)结构和功能受损,肠神经元和神经胶质细胞丢失。然而,急性、慢性或反复的产前炎症刺激对肠黏膜和 ENS 的发育的影响尚未被研究。因此,本研究旨在研究急性、慢性和反复微生物暴露对早产羔羊肠黏膜、黏膜下层和 ENS 的影响。使用绵羊妊娠模型,在 IA 暴露于脂多糖(LPS)2 或 7 天后(急性)、42 天后(慢性)或反复微生物暴露(42 天 UP 加 2 或 7 天 LPS)后评估回肠黏膜、黏膜下层和 ENS。IA LPS 暴露 7 天或 IA UP 暴露 42 天导致肠道黏膜和黏膜下层的肠损伤和炎症。反复微生物暴露并没有进一步加重末端回肠的损伤。慢性 IA UP 暴露导致 ENS 结构的显著改变,其特征是 PGP9.5 和 S100β免疫反应性丧失,而在慢性 UP 暴露的胎儿重新暴露于 LPS 2 或 7 天后没有发现这些变化。慢性 UP 暴露后 PGP9.5 和 S100β免疫反应性的丧失与 NEC 新生儿的肠道变化相对应,因此可能为绒毛膜羊膜炎和 NEC 之间的关联提供了一种新的机制解释。

https://cdn.ncbi.nlm.nih.gov/pmc/blobs/0c0a/7089942/0d1eba1017a2/fimmu-11-00189-g0010.jpg
https://cdn.ncbi.nlm.nih.gov/pmc/blobs/0c0a/7089942/3f69898dbe13/fimmu-11-00189-g0001.jpg
https://cdn.ncbi.nlm.nih.gov/pmc/blobs/0c0a/7089942/ad3787f82ba1/fimmu-11-00189-g0002.jpg
https://cdn.ncbi.nlm.nih.gov/pmc/blobs/0c0a/7089942/dc59af2ef640/fimmu-11-00189-g0003.jpg
https://cdn.ncbi.nlm.nih.gov/pmc/blobs/0c0a/7089942/47205aeee712/fimmu-11-00189-g0004.jpg
https://cdn.ncbi.nlm.nih.gov/pmc/blobs/0c0a/7089942/7a8f4d517eb1/fimmu-11-00189-g0005.jpg
https://cdn.ncbi.nlm.nih.gov/pmc/blobs/0c0a/7089942/10eca49ae4d9/fimmu-11-00189-g0006.jpg
https://cdn.ncbi.nlm.nih.gov/pmc/blobs/0c0a/7089942/8f0dd80508a6/fimmu-11-00189-g0007.jpg
https://cdn.ncbi.nlm.nih.gov/pmc/blobs/0c0a/7089942/5c89109dc6ac/fimmu-11-00189-g0008.jpg
https://cdn.ncbi.nlm.nih.gov/pmc/blobs/0c0a/7089942/c988ef9e43bf/fimmu-11-00189-g0009.jpg
https://cdn.ncbi.nlm.nih.gov/pmc/blobs/0c0a/7089942/0d1eba1017a2/fimmu-11-00189-g0010.jpg
https://cdn.ncbi.nlm.nih.gov/pmc/blobs/0c0a/7089942/3f69898dbe13/fimmu-11-00189-g0001.jpg
https://cdn.ncbi.nlm.nih.gov/pmc/blobs/0c0a/7089942/ad3787f82ba1/fimmu-11-00189-g0002.jpg
https://cdn.ncbi.nlm.nih.gov/pmc/blobs/0c0a/7089942/dc59af2ef640/fimmu-11-00189-g0003.jpg
https://cdn.ncbi.nlm.nih.gov/pmc/blobs/0c0a/7089942/47205aeee712/fimmu-11-00189-g0004.jpg
https://cdn.ncbi.nlm.nih.gov/pmc/blobs/0c0a/7089942/7a8f4d517eb1/fimmu-11-00189-g0005.jpg
https://cdn.ncbi.nlm.nih.gov/pmc/blobs/0c0a/7089942/10eca49ae4d9/fimmu-11-00189-g0006.jpg
https://cdn.ncbi.nlm.nih.gov/pmc/blobs/0c0a/7089942/8f0dd80508a6/fimmu-11-00189-g0007.jpg
https://cdn.ncbi.nlm.nih.gov/pmc/blobs/0c0a/7089942/5c89109dc6ac/fimmu-11-00189-g0008.jpg
https://cdn.ncbi.nlm.nih.gov/pmc/blobs/0c0a/7089942/c988ef9e43bf/fimmu-11-00189-g0009.jpg
https://cdn.ncbi.nlm.nih.gov/pmc/blobs/0c0a/7089942/0d1eba1017a2/fimmu-11-00189-g0010.jpg

相似文献

1
Chronic Intra-Uterine Infection Induces Injury of the Enteric Nervous System in Ovine Fetuses.慢性宫内感染诱导绵羊胎儿肠神经系统损伤。
Front Immunol. 2020 Mar 17;11:189. doi: 10.3389/fimmu.2020.00189. eCollection 2020.
2
Chorioamnionitis induces enteric nervous system injury: effects of timing and inflammation in the ovine fetus.羊胎中,绒毛膜羊膜炎诱导肠神经系统损伤:时间和炎症的影响。
Mol Med. 2020 Sep 3;26(1):82. doi: 10.1186/s10020-020-00206-x.
3
Prophylactic Intra-Uterine β-Cyclodextrin Administration during Intra-Uterine Infection Partly Prevents Liver Inflammation without Interfering with the Enterohepatic Circulation of the Fetal Sheep.宫内感染期间预防性宫内给予β-环糊精部分预防肝脏炎症而不干扰胎羊的肠肝循环。
Nutrients. 2020 May 5;12(5):1312. doi: 10.3390/nu12051312.
4
Effects of multiple pro-inflammatory stimuli on the ileum of extremely premature ovine fetuses.多种促炎刺激对超早产儿羊胎儿回肠的影响。
Front Immunol. 2023 May 19;14:1150208. doi: 10.3389/fimmu.2023.1150208. eCollection 2023.
5
Protection of the Ovine Fetal Gut against -Induced Chorioamnionitis: A Potential Role for Plant Sterols.保护羊胎儿肠道免受 - 诱导的绒毛膜羊膜炎:植物甾醇的潜在作用。
Nutrients. 2019 Apr 27;11(5):968. doi: 10.3390/nu11050968.
6
The Paradoxical Effects of Chronic Intra-Amniotic Ureaplasma parvum Exposure on Ovine Fetal Brain Development.慢性羊膜腔内微小脲原体暴露对绵羊胎儿脑发育的矛盾影响。
Dev Neurosci. 2017;39(6):472-486. doi: 10.1159/000479021. Epub 2017 Aug 29.
7
Intestinal Goblet Cell Loss during Chorioamnionitis in Fetal Lambs: Mechanistic Insights and Postnatal Implications.胎羊绒毛膜羊膜炎时肠杯状细胞丢失:发病机制见解及出生后影响。
Int J Mol Sci. 2021 Feb 16;22(4):1946. doi: 10.3390/ijms22041946.
8
Antenatal Ureaplasma infection induces ovine small intestinal goblet cell defects: a strong link with NEC pathology.产前脲原体感染诱导羊小肠道杯状细胞缺陷:与 NEC 病理学的紧密联系。
Tissue Barriers. 2023 Oct 2;11(4):2158016. doi: 10.1080/21688370.2022.2158016. Epub 2022 Dec 28.
9
Chronic fetal exposure to Ureaplasma parvum suppresses innate immune responses in sheep.慢性胎儿暴露于微小脲原体可抑制绵羊的固有免疫反应。
J Immunol. 2011 Sep 1;187(5):2688-95. doi: 10.4049/jimmunol.1100779. Epub 2011 Jul 22.
10
Pulmonary vascular and alveolar development in preterm lambs chronically colonized with Ureaplasma parvum.早产羔羊慢性脲原体感染肺血管和肺泡发育的研究
Am J Physiol Lung Cell Mol Physiol. 2010 Aug;299(2):L232-41. doi: 10.1152/ajplung.00369.2009. Epub 2010 May 21.

引用本文的文献

1
Fetal origin of bronchopulmonary dysplasia: contribution of intrauterine inflammation.支气管肺发育不良的胎儿起源:宫内炎症的贡献。
Mol Med. 2024 Sep 3;30(1):135. doi: 10.1186/s10020-024-00909-5.
2
Antenatal Infection Causes Colonic Mucus Barrier Defects: Implications for Intestinal Pathologies.产前感染导致结肠黏液屏障缺陷:对肠道病理的影响。
Int J Mol Sci. 2024 Apr 3;25(7):4000. doi: 10.3390/ijms25074000.
3
Effects of multiple pro-inflammatory stimuli on the ileum of extremely premature ovine fetuses.多种促炎刺激对超早产儿羊胎儿回肠的影响。

本文引用的文献

1
Enteric nervous system development: what could possibly go wrong?肠神经系统发育:可能会出什么问题?
Nat Rev Neurosci. 2018 Sep;19(9):552-565. doi: 10.1038/s41583-018-0041-0.
2
Novel insights into neuroinflammation: bacterial lipopolysaccharide, tumor necrosis factor α, and Ureaplasma species differentially modulate atypical chemokine receptor 3 responses in human brain microvascular endothelial cells.神经炎症的新见解:细菌脂多糖、肿瘤坏死因子-α 和脲原体属物种在人脑血管内皮细胞中差异调节非典型趋化因子受体 3 的反应。
J Neuroinflammation. 2018 May 23;15(1):156. doi: 10.1186/s12974-018-1170-0.
3
Intrauterine inflammation, infection, or both (Triple I): A new concept for chorioamnionitis.
Front Immunol. 2023 May 19;14:1150208. doi: 10.3389/fimmu.2023.1150208. eCollection 2023.
4
The Potential Role of Microorganisms on Enteric Nervous System Development and Disease.微生物在肠神经系统发育和疾病中的潜在作用。
Biomolecules. 2023 Feb 27;13(3):447. doi: 10.3390/biom13030447.
5
Antenatal Ureaplasma infection induces ovine small intestinal goblet cell defects: a strong link with NEC pathology.产前脲原体感染诱导羊小肠道杯状细胞缺陷:与 NEC 病理学的紧密联系。
Tissue Barriers. 2023 Oct 2;11(4):2158016. doi: 10.1080/21688370.2022.2158016. Epub 2022 Dec 28.
6
Endothelial dysfunction in preterm infants: The hidden legacy of uteroplacental pathologies.早产儿的内皮功能障碍:子宫胎盘病变的潜在遗留问题。
Front Pediatr. 2022 Nov 4;10:1041919. doi: 10.3389/fped.2022.1041919. eCollection 2022.
7
Evaluation of tissue perfusion status in moderate to late preterm.评估中晚期早产儿的组织灌注状态。
Physiol Res. 2022 Nov 28;71(5):607-614. doi: 10.33549/physiolres.934888. Epub 2022 Aug 31.
8
Fetal and maternal NLRP3 signaling is required for preterm labor and birth.胎儿和母体 NLRP3 信号传导是早产和分娩所必需的。
JCI Insight. 2022 Aug 22;7(16):e158238. doi: 10.1172/jci.insight.158238.
9
Pyrroloquinoline Quinone Regulates Enteric Neurochemical Plasticity of Weaned Rats Challenged With Lipopolysaccharide.吡咯喹啉醌调节脂多糖刺激的断奶大鼠肠道神经化学可塑性。
Front Neurosci. 2022 May 3;16:878541. doi: 10.3389/fnins.2022.878541. eCollection 2022.
10
Sequential Exposure to Antenatal Microbial Triggers Attenuates Alveolar Growth and Pulmonary Vascular Development and Impacts Pulmonary Epithelial Stem/Progenitor Cells.产前连续接触微生物触发因素会减弱肺泡生长和肺血管发育,并影响肺上皮干细胞/祖细胞。
Front Med (Lausanne). 2021 Feb 22;8:614239. doi: 10.3389/fmed.2021.614239. eCollection 2021.
宫内炎症、感染或两者皆有(三联征I):绒毛膜羊膜炎的一个新概念。
Pediatr Neonatol. 2018 Jun;59(3):231-237. doi: 10.1016/j.pedneo.2017.09.001. Epub 2017 Sep 19.
4
Ureaplasma-associated prenatal, perinatal, and neonatal morbidities.解脲脲原体相关性产前、围生期和新生儿期并发症。
Expert Rev Clin Immunol. 2017 Nov;13(11):1073-1087. doi: 10.1080/1744666X.2017.1381559. Epub 2017 Sep 23.
5
The Paradoxical Effects of Chronic Intra-Amniotic Ureaplasma parvum Exposure on Ovine Fetal Brain Development.慢性羊膜腔内微小脲原体暴露对绵羊胎儿脑发育的矛盾影响。
Dev Neurosci. 2017;39(6):472-486. doi: 10.1159/000479021. Epub 2017 Aug 29.
6
Annual Summary of Vital Statistics: 2013-2014.《2013 - 2014年生命统计年度总结》
Pediatrics. 2017 Jun;139(6). doi: 10.1542/peds.2016-3239.
7
The Enteric Network: Interactions between the Immune and Nervous Systems of the Gut.肠道网络:肠道免疫系统与神经系统之间的相互作用
Immunity. 2017 Jun 20;46(6):910-926. doi: 10.1016/j.immuni.2017.05.011.
8
Colitis promotes neuronal differentiation of Sox2+ and PLP1+ enteric cells.结肠炎促进 Sox2+和 PLP1+肠细胞的神经元分化。
Sci Rep. 2017 May 31;7(1):2525. doi: 10.1038/s41598-017-02890-y.
9
Potential roles of enteric glia in bridging neuroimmune communication in the gut.肠神经胶质细胞在肠道神经免疫通讯中的潜在作用。
Am J Physiol Gastrointest Liver Physiol. 2017 Feb 1;312(2):G145-G152. doi: 10.1152/ajpgi.00384.2016. Epub 2016 Dec 30.
10
The Human Ureaplasma Species as Causative Agents of Chorioamnionitis.人脲原体作为绒毛膜羊膜炎的病原体
Clin Microbiol Rev. 2016 Dec 14;30(1):349-379. doi: 10.1128/CMR.00091-16. Print 2017 Jan.