Suppr超能文献

突变与肿瘤 HPV 状态相关,并与 HPV 相关的宫颈癌和头颈部鳞状细胞癌中更高的突变计数相关,促进不良的疾病结局。

mutation is associated with tumor HPV status and promotes poor disease outcomes with a higher mutation count in HPV-related cervical carcinoma and head & neck squamous cell carcinoma.

机构信息

Center for Reproductive Medicine, Department of Obstetrics and Gynecology, Peking University Shenzhen Hospital, Shenzhen Peking University-The Hong Kong University of Science and Technology Medical Center, Guangdong, 518036, China.

Department of Critical Care Medicine, The Eighth Affiliated Hospital, Sun Yat-sen University, Shenzhen, China.

出版信息

Int J Biol Sci. 2021 Apr 22;17(7):1744-1756. doi: 10.7150/ijbs.56970. eCollection 2021.

Abstract

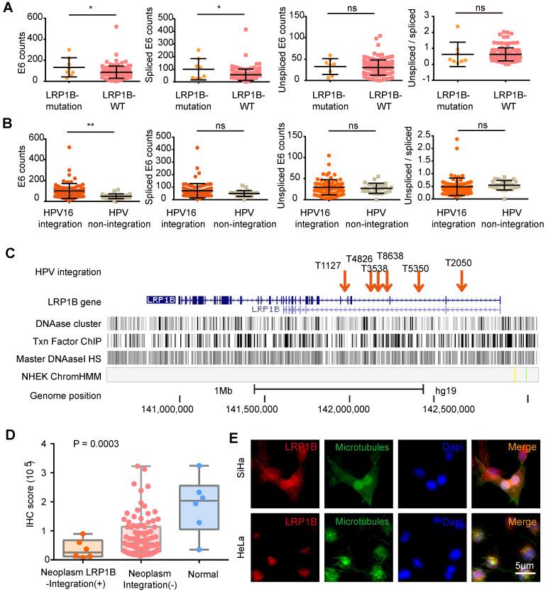
Human papillomavirus (HPV) infection and gene mutations were reputed as key factors in cervical carcinoma (CC) and head and neck squamous cell carcinoma (HNSCC). However, the associations of HPV status and gene mutations remain to be determined. This study aims to identify molecular patterns of mutation and HPV status via rewiring tumor samples of HNSCC (n=1478) and CC (n=178) from the TCGA dataset. Here, we found that mutation was associated with HPV status in CC (=0.040) and HNSCC (=0.044), especially in HPV 16 integrated CC (=0.036). Cancer survival analysis demonstrated that samples with mutation showed poor disease outcomes in CC (=0.013) and HNSCC (=0.0124). In addition, the expression status of was more favorable for prediction than or in CC and HNSCC. Mutation clustering analysis showed that samples with mutation showed higher mutation count in CC (=1.76e-67) and HNSCC (<10e-10). Further analysis identified 289 co-occurrence genes in these two cancer types, which were enriched in PI3K signaling, cell division process, and chromosome segregation process, et al. The 289-co-occurrence gene signature identified a cluster of patients with a higher portion of copy number variation (CNV) lost in the genome, different tumor HPV status (<10e-10), higher mutation count (<10e-10), higher fraction genome altered value (=2.078e-4), higher aneuploidy score (=3.362e-4), and earlier started the smoking year (=2.572e-4), which were associated with shorter overall survival (=0.0103) in CC and HNSCC samples. Overall, mutation was associated with tumor HPV status and was an unfavorable prognostic biomarker for CC and HNSCC.

摘要

人乳头瘤病毒 (HPV) 感染和基因突变被认为是宫颈癌 (CC) 和头颈部鳞状细胞癌 (HNSCC) 的关键因素。然而,HPV 状态和基因突变的相关性仍有待确定。本研究旨在通过重新布线 TCGA 数据集的 HNSCC (n=1478) 和 CC (n=178) 肿瘤样本,确定突变和 HPV 状态的分子模式。在这里,我们发现突变与 CC (=0.040) 和 HNSCC (=0.044) 中的 HPV 状态相关,尤其是 HPV16 整合的 CC (=0.036)。癌症生存分析表明,携带突变的样本在 CC (=0.013) 和 HNSCC (=0.0124) 中疾病预后较差。此外,与 CC 和 HNSCC 相比,表达状态更有利于预测。突变聚类分析显示,携带突变的样本在 CC (=1.76e-67) 和 HNSCC (<10e-10) 中显示出更高的突变数。进一步分析确定了这两种癌症类型中 289 个共发生基因,这些基因富集在 PI3K 信号转导、细胞分裂过程和染色体分离过程等。289 个共发生基因标志确定了一个具有更高基因组拷贝数变异 (CNV) 丢失比例的患者群,不同的肿瘤 HPV 状态(<10e-10),更高的突变数(<10e-10),更高的基因组改变值分数 (=2.078e-4),更高的非整倍体评分 (=3.362e-4),更早的开始吸烟年份 (=2.572e-4),与 CC 和 HNSCC 样本的总生存期较短 (=0.0103)相关。总体而言,突变与肿瘤 HPV 状态相关,是 CC 和 HNSCC 的不利预后生物标志物。

https://cdn.ncbi.nlm.nih.gov/pmc/blobs/25b5/8120457/c73f4970dbab/ijbsv17p1744g001.jpg

文献检索

告别复杂PubMed语法,用中文像聊天一样搜索,搜遍4000万医学文献。AI智能推荐,让科研检索更轻松。

立即免费搜索

文件翻译

保留排版,准确专业,支持PDF/Word/PPT等文件格式,支持 12+语言互译。

免费翻译文档

深度研究

AI帮你快速写综述,25分钟生成高质量综述,智能提取关键信息,辅助科研写作。

立即免费体验