• 文献检索
  • 文档翻译
  • 深度研究
  • 学术资讯
  • Suppr Zotero 插件Zotero 插件
  • 邀请有礼
  • 套餐&价格
  • 历史记录
应用&插件
Suppr Zotero 插件Zotero 插件浏览器插件Mac 客户端Windows 客户端微信小程序
定价
高级版会员购买积分包购买API积分包
服务
文献检索文档翻译深度研究API 文档MCP 服务
关于我们
关于 Suppr公司介绍联系我们用户协议隐私条款
关注我们

Suppr 超能文献

核心技术专利:CN118964589B侵权必究
粤ICP备2023148730 号-1Suppr @ 2026

文献检索

告别复杂PubMed语法,用中文像聊天一样搜索,搜遍4000万医学文献。AI智能推荐,让科研检索更轻松。

立即免费搜索

文件翻译

保留排版,准确专业,支持PDF/Word/PPT等文件格式,支持 12+语言互译。

免费翻译文档

深度研究

AI帮你快速写综述,25分钟生成高质量综述,智能提取关键信息,辅助科研写作。

立即免费体验

肝硬化患者十二指肠静脉曲张破裂出血急诊行经颈静脉肝内门体分流术及弹簧圈栓塞治疗:1例罕见病例

Bleeding duodenal varices urgently treated with TIPS and coil embolization in a patient with cirrhosis: A rare case.

作者信息

Palermo Monica, Santonocito Serafino, Failla Giovanni, Vacirca Francesco, Venturini Massimo, Palmucci Stefano, Basile Antonio

机构信息

Radiology Unit 1, Department of Medical Surgical Sciences and Advanced Technologies "GF Ingrassia," University-Hospital Policlinico "G. Rodolico-S. Marco", University of Catania, Via S. Sofia, 95126, Catania, Italy.

Department of Diagnostic and Interventional Radiology, University of Insubria, Ospedale di Circolo e Fondazione Macchi, Varese, Italy.

出版信息

Radiol Case Rep. 2021 Apr 21;16(6):1580-1585. doi: 10.1016/j.radcr.2021.03.046. eCollection 2021 Jun.

DOI:10.1016/j.radcr.2021.03.046
PMID:33995748
原文链接:https://pmc.ncbi.nlm.nih.gov/articles/PMC8093421/
Abstract

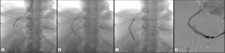
Duodenal varices are ectopic varices that can cause severe and life-threatening gastrointestinal bleeding. Diagnosis and treatment of ectopic varices is challenging, because endoscopy is often unproductive in detecting and treating ectopic varices. Interventional radiology appears as an alternative in this setting, thanks to its important role in treating the bleeding caused by ectopic varices and in preventing rebleedings. We present an interesting case of bleeding ectopic varices in a male 62-years-old cirrhotic patient (Child-Pugh B8). The patient presented with hemorrhagic shock caused by massive melena. CT angiography showed intraluminal blood and identified the source of bleeding as an ectopic varicose vein draining into the superior mesenteric vein. Interventional radiology approach was the only applicable one to reach and effectively treat the source and cause of bleeding by TIPS placement and embolization of the collateral feeding at the same session.

摘要

十二指肠静脉曲张是一种异位静脉曲张,可导致严重且危及生命的胃肠道出血。异位静脉曲张的诊断和治疗具有挑战性,因为内镜检查在检测和治疗异位静脉曲张方面往往效果不佳。在这种情况下,介入放射学似乎是一种替代方法,这得益于其在治疗异位静脉曲张引起的出血以及预防再出血方面的重要作用。我们报告了一例有趣的病例,一名62岁的男性肝硬化患者(Child-Pugh B8级)出现出血性异位静脉曲张。患者因大量黑便导致失血性休克。CT血管造影显示管腔内有血液,并确定出血源为一条汇入肠系膜上静脉的异位曲张静脉。介入放射学方法是唯一适用的方法,可通过在同一次手术中放置经颈静脉肝内门体分流术(TIPS)和栓塞侧支供血来有效到达并治疗出血源及病因。

https://cdn.ncbi.nlm.nih.gov/pmc/blobs/9382/8093421/7da00a170c24/gr7.jpg
https://cdn.ncbi.nlm.nih.gov/pmc/blobs/9382/8093421/d070b34285b6/gr1.jpg
https://cdn.ncbi.nlm.nih.gov/pmc/blobs/9382/8093421/91231375b3a0/gr2.jpg
https://cdn.ncbi.nlm.nih.gov/pmc/blobs/9382/8093421/b8e469a2cbf1/gr3.jpg
https://cdn.ncbi.nlm.nih.gov/pmc/blobs/9382/8093421/1cb0f9e12248/gr4.jpg
https://cdn.ncbi.nlm.nih.gov/pmc/blobs/9382/8093421/a08f90e3261a/gr5.jpg
https://cdn.ncbi.nlm.nih.gov/pmc/blobs/9382/8093421/e3757a6a3b5d/gr6.jpg
https://cdn.ncbi.nlm.nih.gov/pmc/blobs/9382/8093421/7da00a170c24/gr7.jpg
https://cdn.ncbi.nlm.nih.gov/pmc/blobs/9382/8093421/d070b34285b6/gr1.jpg
https://cdn.ncbi.nlm.nih.gov/pmc/blobs/9382/8093421/91231375b3a0/gr2.jpg
https://cdn.ncbi.nlm.nih.gov/pmc/blobs/9382/8093421/b8e469a2cbf1/gr3.jpg
https://cdn.ncbi.nlm.nih.gov/pmc/blobs/9382/8093421/1cb0f9e12248/gr4.jpg
https://cdn.ncbi.nlm.nih.gov/pmc/blobs/9382/8093421/a08f90e3261a/gr5.jpg
https://cdn.ncbi.nlm.nih.gov/pmc/blobs/9382/8093421/e3757a6a3b5d/gr6.jpg
https://cdn.ncbi.nlm.nih.gov/pmc/blobs/9382/8093421/7da00a170c24/gr7.jpg

相似文献

1
Bleeding duodenal varices urgently treated with TIPS and coil embolization in a patient with cirrhosis: A rare case.肝硬化患者十二指肠静脉曲张破裂出血急诊行经颈静脉肝内门体分流术及弹簧圈栓塞治疗:1例罕见病例
Radiol Case Rep. 2021 Apr 21;16(6):1580-1585. doi: 10.1016/j.radcr.2021.03.046. eCollection 2021 Jun.
2
Ectopic variceal bleeding from chronic superior mesenteric vein thrombosis after hemorrhagic pancreatitis.出血性胰腺炎后慢性肠系膜上静脉血栓形成导致的异位静脉曲张出血
Clin Case Rep. 2022 Apr 20;10(4):e05731. doi: 10.1002/ccr3.5731. eCollection 2022 Apr.
3
Ectopic varices in the gastrointestinal tract: short- and long-term outcomes of percutaneous therapy.胃肠道异位静脉曲张:经皮治疗的短期和长期结果
Cardiovasc Intervent Radiol. 2005 Mar-Apr;28(2):178-84. doi: 10.1007/s00270-004-0148-8.
4
Percutaneous Transhepatic Embolization of Ectopic Varices in a Patient With Portal Hypertension Presenting With Hemorrhagic Shock.门静脉高压伴出血性休克患者异位静脉曲张的经皮肝栓塞术
Cureus. 2021 Sep 23;13(9):e18209. doi: 10.7759/cureus.18209. eCollection 2021 Sep.
5
Duodenal variceal bleeding with large spontaneous portosystemic shunt treated with transjugular intrahepatic portosystemic shunt and embolization: A case report.经颈静脉肝内门体分流术联合栓塞治疗十二指肠静脉曲张破裂出血伴巨大自发性门体分流:病例报告
World J Radiol. 2019 Aug 28;11(8):110-115. doi: 10.4329/wjr.v11.i8.110.
6
Surgical treatment for bleeding ileal varices: A case report.回肠静脉曲张出血的外科治疗:一例报告。
Int J Surg Case Rep. 2021 Nov;88:106573. doi: 10.1016/j.ijscr.2021.106573. Epub 2021 Nov 3.
7
Massive Hemorrhage from Ectopic Duodenal Varices: Importance of a Multidisciplinary Approach.十二指肠异位静脉曲张导致的大量出血:多学科方法的重要性
Case Rep Gastroenterol. 2017 Jan 27;11(1):36-41. doi: 10.1159/000455184. eCollection 2017 Jan-Apr.
8
Endoscopic Band Ligation of Bleeding Duodenal Varices.出血性十二指肠静脉曲张的内镜下套扎术
Cureus. 2022 Feb 8;14(2):e22009. doi: 10.7759/cureus.22009. eCollection 2022 Feb.
9
A rare case of bleeding duodenal varices from superior mesenteric vein obstruction -treated with transhepatic recanalization and stent placement.一例罕见的因肠系膜上静脉阻塞导致十二指肠静脉曲张出血——经肝再通和支架置入治疗。
Indian J Radiol Imaging. 2019 Jul-Sep;29(3):313-317. doi: 10.4103/ijri.IJRI_21_19. Epub 2019 Oct 30.
10
Percutaneous Transhepatic Approach for Recanalization of Superior Mesenteric and Portal Vein in a Patient With Pancreatic Neuroendocrine Tumor Presenting With Bleeding Duodenal Varices: A Brief Case Report.经皮经肝途径用于一名伴有十二指肠静脉曲张出血的胰腺神经内分泌肿瘤患者肠系膜上静脉和门静脉再通:一例简短病例报告
J Clin Exp Hepatol. 2018 Sep;8(3):318-320. doi: 10.1016/j.jceh.2018.03.003. Epub 2018 Mar 30.

本文引用的文献

1
Duodenal variceal bleeding with large spontaneous portosystemic shunt treated with transjugular intrahepatic portosystemic shunt and embolization: A case report.经颈静脉肝内门体分流术联合栓塞治疗十二指肠静脉曲张破裂出血伴巨大自发性门体分流:病例报告
World J Radiol. 2019 Aug 28;11(8):110-115. doi: 10.4329/wjr.v11.i8.110.
2
Consensus conference on TIPS management: Techniques, indications, contraindications.经颈静脉肝内门体分流术(TIPS)管理共识会议:技术、适应证、禁忌证
Dig Liver Dis. 2017 Feb;49(2):121-137. doi: 10.1016/j.dld.2016.10.011. Epub 2016 Oct 29.
3
Ectopic varices: anatomical classification, hemodynamic classification, and hemodynamic-based management.
异位静脉曲张:解剖学分类、血流动力学分类及基于血流动力学的管理
Tech Vasc Interv Radiol. 2013 Jun;16(2):158-75. doi: 10.1053/j.tvir.2013.02.004.
4
Clinical characteristics and treatment for patients presenting with bleeding duodenal varices.表现为出血性十二指肠静脉曲张患者的临床特征和治疗方法。
Dig Endosc. 2010 Oct;22(4):275-81. doi: 10.1111/j.1443-1661.2010.01007.x.
5
Usefulness of transjugular intrahepatic portosystemic shunt in the management of bleeding ectopic varices in cirrhotic patients.经颈静脉肝内门体分流术在肝硬化患者异位静脉曲张出血管理中的应用价值。
Cardiovasc Intervent Radiol. 2006 Mar-Apr;29(2):216-9. doi: 10.1007/s00270-004-0346-4.
6
Ectopic varices in the gastrointestinal tract: short- and long-term outcomes of percutaneous therapy.胃肠道异位静脉曲张:经皮治疗的短期和长期结果
Cardiovasc Intervent Radiol. 2005 Mar-Apr;28(2):178-84. doi: 10.1007/s00270-004-0148-8.
7
Bleeding ectopic varices--treatment with transjugular intrahepatic porto-systemic shunt (TIPS) and embolisation.出血性异位静脉曲张——经颈静脉肝内门体分流术(TIPS)及栓塞治疗
J Hepatol. 2004 Oct;41(4):560-6. doi: 10.1016/j.jhep.2004.06.024.
8
The long-term efficacy of the intrahepatic portosystemic shunt (TIPS) for the treatment of bleeding anorectal varices in cirrhosis. A case report and review of the literature.经颈静脉肝内门体分流术(TIPS)治疗肝硬化患者直肠肛管静脉曲张出血的长期疗效:病例报告及文献复习
Digestion. 2001;64(4):261-4. doi: 10.1159/000048871.
9
Transjugular intrahepatic portosystemic shunt and transjugular embolization of bleeding rectal varices in portal hypertension.经颈静脉肝内门体分流术及经颈静脉栓塞治疗门静脉高压症合并出血的直肠静脉曲张
AJR Am J Roentgenol. 2002 Feb;178(2):362-3. doi: 10.2214/ajr.178.2.1780362.
10
Transjugular intrahepatic portosystemic shunt for bleeding stomal varices associated with chronic portal vein occlusion: long-term angiographic, hemodynamic, and clinical follow-up.经颈静脉肝内门体分流术治疗与慢性门静脉闭塞相关的出血性吻合口静脉曲张:长期血管造影、血流动力学及临床随访
Am J Gastroenterol. 2000 Oct;95(10):2966-8. doi: 10.1111/j.1572-0241.2000.03211.x.