• 文献检索
  • 文档翻译
  • 深度研究
  • 学术资讯
  • Suppr Zotero 插件Zotero 插件
  • 邀请有礼
  • 套餐&价格
  • 历史记录
应用&插件
Suppr Zotero 插件Zotero 插件浏览器插件Mac 客户端Windows 客户端微信小程序
定价
高级版会员购买积分包购买API积分包
服务
文献检索文档翻译深度研究API 文档MCP 服务
关于我们
关于 Suppr公司介绍联系我们用户协议隐私条款
关注我们

Suppr 超能文献

核心技术专利:CN118964589B侵权必究
粤ICP备2023148730 号-1Suppr @ 2026

文献检索

告别复杂PubMed语法,用中文像聊天一样搜索,搜遍4000万医学文献。AI智能推荐,让科研检索更轻松。

立即免费搜索

文件翻译

保留排版,准确专业,支持PDF/Word/PPT等文件格式,支持 12+语言互译。

免费翻译文档

深度研究

AI帮你快速写综述,25分钟生成高质量综述,智能提取关键信息,辅助科研写作。

立即免费体验

Cell-cycle length of medial ganglionic eminence progenitors contributes to interneuron fate.

作者信息

Zong Ni, Wang Min, Fu Yinghui, Shen Dan, Yu Yong-Chun

机构信息

Jing'an District Central Hospital of Shanghai, State Key Laboratory of Medical Neurobiology and MOE Frontiers Center for Brain Science, Institutes of Brain Science, Fudan University, Shanghai, 200032, China.

出版信息

Protein Cell. 2022 Feb;13(2):141-147. doi: 10.1007/s13238-021-00851-w. Epub 2021 May 27.

DOI:10.1007/s13238-021-00851-w
PMID:34043145
原文链接:https://pmc.ncbi.nlm.nih.gov/articles/PMC8783944/
Abstract
摘要
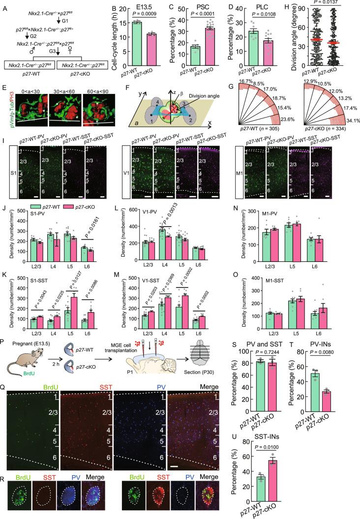
https://cdn.ncbi.nlm.nih.gov/pmc/blobs/c294/8783944/ac0bca71892a/13238_2021_851_Fig2_HTML.jpg
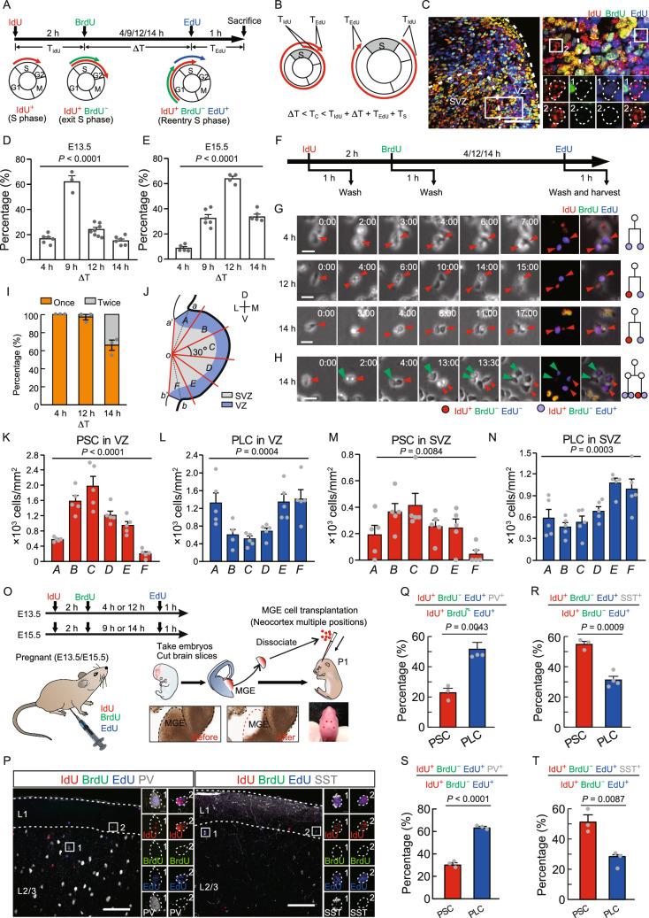
https://cdn.ncbi.nlm.nih.gov/pmc/blobs/c294/8783944/81d415a37c46/13238_2021_851_Fig1_HTML.jpg
https://cdn.ncbi.nlm.nih.gov/pmc/blobs/c294/8783944/ac0bca71892a/13238_2021_851_Fig2_HTML.jpg
https://cdn.ncbi.nlm.nih.gov/pmc/blobs/c294/8783944/81d415a37c46/13238_2021_851_Fig1_HTML.jpg
https://cdn.ncbi.nlm.nih.gov/pmc/blobs/c294/8783944/ac0bca71892a/13238_2021_851_Fig2_HTML.jpg

相似文献

1
Cell-cycle length of medial ganglionic eminence progenitors contributes to interneuron fate.内侧神经节隆起祖细胞的细胞周期长度影响中间神经元命运。
Protein Cell. 2022 Feb;13(2):141-147. doi: 10.1007/s13238-021-00851-w. Epub 2021 May 27.
2
Impaired GABAergic regulation and developmental immaturity in interneurons derived from the medial ganglionic eminence in the tuberous sclerosis complex.结节性硬化症中内侧神经节隆起衍生的中间神经元中 GABA 能调节受损和发育不成熟。
Acta Neuropathol. 2024 May 7;147(1):80. doi: 10.1007/s00401-024-02737-7.
3
RhoA and Cdc42 are required in pre-migratory progenitors of the medial ganglionic eminence ventricular zone for proper cortical interneuron migration.RhoA 和 Cdc42 在中脑神经节隆起脑室区的迁移前祖细胞中对于皮质中间神经元的正确迁移是必需的。
Development. 2013 Aug;140(15):3139-45. doi: 10.1242/dev.092585.
4
Caudal Ganglionic Eminence Precursor Transplants Disperse and Integrate as Lineage-Specific Interneurons but Do Not Induce Cortical Plasticity.尾侧神经节隆起前体移植可分散并整合为谱系特异性中间神经元,但不会诱导皮质可塑性。
Cell Rep. 2016 Aug 2;16(5):1391-1404. doi: 10.1016/j.celrep.2016.06.071. Epub 2016 Jul 14.
5
A spatial bias for the origins of interneuron subgroups within the medial ganglionic eminence.内侧神经节隆起内中间神经元亚群起源的空间偏向性。
Dev Biol. 2008 Feb 1;314(1):127-36. doi: 10.1016/j.ydbio.2007.11.018. Epub 2007 Nov 28.
6
Immediate effects of maternal separation on the development of interneurons derived from medial ganglionic eminence in the neonatal mouse hippocampus.母体分离对新生小鼠海马体中源自内侧神经节隆起的中间神经元发育的即时影响。
Dev Growth Differ. 2018 Jun;60(5):278-290. doi: 10.1111/dgd.12540.
7
Interneuron Origins in the Embryonic Porcine Medial Ganglionic Eminence.胚胎猪内侧神经节隆起中的中间神经元起源。
J Neurosci. 2021 Apr 7;41(14):3105-3119. doi: 10.1523/JNEUROSCI.2738-20.2021. Epub 2021 Feb 26.
8
Duration of culture and sonic hedgehog signaling differentially specify PV versus SST cortical interneuron fates from embryonic stem cells.培养时间和 Sonic Hedgehog 信号在胚胎干细胞中差异地决定了 PV 与 SST 皮质中间神经元的命运。
Development. 2015 Apr 1;142(7):1267-78. doi: 10.1242/dev.111526.
9
The Epigenetic Factor CBP Is Required for the Differentiation and Function of Medial Ganglionic Eminence-Derived Interneurons.表观遗传因子 CBP 对于内侧神经节隆起源性中间神经元的分化和功能是必需的。
Mol Neurobiol. 2019 Jun;56(6):4440-4454. doi: 10.1007/s12035-018-1382-4. Epub 2018 Oct 17.
10
Mafb and c-Maf Have Prenatal Compensatory and Postnatal Antagonistic Roles in Cortical Interneuron Fate and Function.Mafb 和 c-Maf 在皮质中间神经元的命运和功能中具有产前补偿和产后拮抗作用。
Cell Rep. 2019 Jan 29;26(5):1157-1173.e5. doi: 10.1016/j.celrep.2019.01.031.

引用本文的文献

1
Temporal control of progenitor competence shapes maturation in GABAergic neuron development in mice.祖细胞能力的时间控制塑造了小鼠GABA能神经元发育中的成熟过程。
Nat Neurosci. 2025 Jul 8. doi: 10.1038/s41593-025-01999-y.
2
Hyperoxia shows duration-dependent effects on the lengths of cell cycle phases in fetal cortical neural stem cells.高氧对胎儿皮质神经干细胞的细胞周期各阶段时长具有时长依赖性效应。
Front Cell Dev Biol. 2025 Jan 28;13:1546131. doi: 10.3389/fcell.2025.1546131. eCollection 2025.
3
16p11.2 deletion accelerates subpallial maturation and increases variability in human iPSC-derived ventral telencephalic organoids.

本文引用的文献

1
Prolonged Mitosis of Neural Progenitors Alters Cell Fate in the Developing Brain.神经祖细胞的有丝分裂延长会改变发育中大脑的细胞命运。
Neuron. 2016 Jan 6;89(1):83-99. doi: 10.1016/j.neuron.2015.12.007.
2
Human-chimpanzee differences in a FZD8 enhancer alter cell-cycle dynamics in the developing neocortex.FZD8增强子中的人类与黑猩猩差异改变了发育中的新皮层中的细胞周期动态。
Curr Biol. 2015 Mar 16;25(6):772-779. doi: 10.1016/j.cub.2015.01.041. Epub 2015 Feb 19.
3
Cell cycle regulation of proliferation versus differentiation in the central nervous system.
16p11.2 缺失加速了人类 iPSC 衍生的腹侧端脑类器官的下皮层成熟,并增加了变异性。
Development. 2023 Feb 15;150(4). doi: 10.1242/dev.201227. Epub 2023 Feb 24.
中枢神经系统中增殖与分化的细胞周期调控。
Cell Tissue Res. 2015 Jan;359(1):187-200. doi: 10.1007/s00441-014-1895-8. Epub 2014 May 25.
4
Intrinsically determined cell death of developing cortical interneurons.发育中的皮质中间神经元的固有细胞死亡。
Nature. 2012 Nov 1;491(7422):109-13. doi: 10.1038/nature11523. Epub 2012 Oct 7.
5
Interneuron dysfunction in psychiatric disorders.精神障碍中的中间神经元功能障碍。
Nat Rev Neurosci. 2012 Jan 18;13(2):107-20. doi: 10.1038/nrn3155.
6
Interneuron progenitors attenuate the power of acute focal ictal discharges.中间神经元祖细胞可减弱急性局灶性癫痫发作的强度。
Neurotherapeutics. 2011 Oct;8(4):763-73. doi: 10.1007/s13311-011-0058-9.
7
Spatial and temporal bias in the mitotic origins of somatostatin- and parvalbumin-expressing interneuron subgroups and the chandelier subtype in the medial ganglionic eminence.中脑内侧神经节隆起中生长抑素和钙结合蛋白表达中间神经元亚群及 Chandelier 亚型的有丝分裂起源的时空偏倚。
Cereb Cortex. 2012 Apr;22(4):820-7. doi: 10.1093/cercor/bhr148. Epub 2011 Jun 21.
8
Neural stem and progenitor cells shorten S-phase on commitment to neuron production.神经干细胞和祖细胞在开始产生神经元时会缩短S期。
Nat Commun. 2011 Jan 11;2:154. doi: 10.1038/ncomms1155.
9
The temporal and spatial origins of cortical interneurons predict their physiological subtype.皮质中间神经元的时空起源预示着它们的生理亚型。
Neuron. 2005 Nov 23;48(4):591-604. doi: 10.1016/j.neuron.2005.09.034.
10
Neurogenesis and the cell cycle.神经发生与细胞周期。
Neuron. 2003 Oct 9;40(2):199-208. doi: 10.1016/s0896-6273(03)00632-9.