Instituto de Neurociencias (Universidad Miguel Hernández - Consejo Superior de Investigaciones Científicas), Av. Santiago Ramón y Cajal s/n. Sant Joan d'Alacant. 03550, Alicante, Spain.
Division of Neurosciences, Pablo de Olavide University, 41013, Seville, Spain.
Mol Neurobiol. 2019 Jun;56(6):4440-4454. doi: 10.1007/s12035-018-1382-4. Epub 2018 Oct 17.
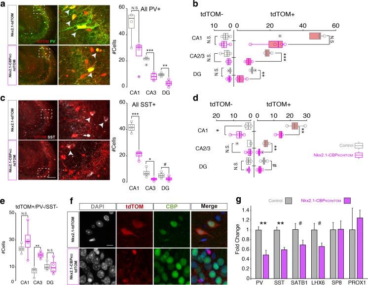
The development of inhibitory circuits depends on the action of a network of transcription factors and epigenetic regulators that are critical for interneuron specification and differentiation. Although the identity of many of these transcription factors is well established, much less is known about the specific contribution of the chromatin-modifying enzymes that sculpt the interneuron epigenome. Here, we generated a mouse model in which the lysine acetyltransferase CBP is specifically removed from neural progenitors at the median ganglionic eminence (MGE), the structure where the most abundant types of cortical interneurons are born. Ablation of CBP interfered with the development of MGE-derived interneurons in both sexes, causing a reduction in the number of functionally mature interneurons in the adult forebrain. Genetic fate mapping experiments not only demonstrated that CBP ablation impacts on different interneuron classes, but also unveiled a compensatory increment of interneurons that escaped recombination and cushion the excitatory-inhibitory imbalance. Consistent with having a reduced number of interneurons, CBP-deficient mice exhibited a high incidence of spontaneous epileptic seizures, and alterations in brain rhythms and enhanced low gamma activity during status epilepticus. These perturbations led to abnormal behavior including hyperlocomotion, increased anxiety and cognitive impairments. Overall, our study demonstrates that CBP is essential for interneuron development and the proper functioning of inhibitory circuitry in vivo.
抑制性回路的发育取决于转录因子和表观遗传调节剂网络的作用,这些因子对于中间神经元的特化和分化至关重要。尽管这些转录因子中的许多身份已经得到很好的确立,但对于塑造中间神经元表观基因组的染色质修饰酶的具体贡献却知之甚少。在这里,我们生成了一种小鼠模型,其中赖氨酸乙酰转移酶 CBP 特异性地从神经前体细胞中去除,这些神经前体细胞位于中神经节隆起(MGE)中,这是最丰富的皮质中间神经元产生的结构。CBP 的缺失干扰了 MGE 衍生的中间神经元的发育,导致成年前脑功能性成熟的中间神经元数量减少。遗传命运图谱实验不仅表明 CBP 的缺失会影响不同的中间神经元类群,而且还揭示了逃避重组并缓冲兴奋性抑制失衡的中间神经元的补偿性增加。与中间神经元数量减少一致,CBP 缺陷型小鼠表现出自发性癫痫发作的高发率,以及脑节律改变和癫痫持续状态期间增强的低伽马活动。这些干扰导致了异常行为,包括过度运动、焦虑增加和认知障碍。总的来说,我们的研究表明 CBP 对于中间神经元的发育和体内抑制性回路的正常功能是必不可少的。