• 文献检索
  • 文档翻译
  • 深度研究
  • 学术资讯
  • Suppr Zotero 插件Zotero 插件
  • 邀请有礼
  • 套餐&价格
  • 历史记录
应用&插件
Suppr Zotero 插件Zotero 插件浏览器插件Mac 客户端Windows 客户端微信小程序
定价
高级版会员购买积分包购买API积分包
服务
文献检索文档翻译深度研究API 文档MCP 服务
关于我们
关于 Suppr公司介绍联系我们用户协议隐私条款
关注我们

Suppr 超能文献

核心技术专利:CN118964589B侵权必究
粤ICP备2023148730 号-1Suppr @ 2026

文献检索

告别复杂PubMed语法,用中文像聊天一样搜索,搜遍4000万医学文献。AI智能推荐,让科研检索更轻松。

立即免费搜索

文件翻译

保留排版,准确专业,支持PDF/Word/PPT等文件格式,支持 12+语言互译。

免费翻译文档

深度研究

AI帮你快速写综述,25分钟生成高质量综述,智能提取关键信息,辅助科研写作。

立即免费体验

体外无血清情况下中性粒细胞对白色念珠菌假菌丝形态的损伤。

Damage to pseudohyphal forms of Candida albicans by neutrophils in the absence of serum in vitro.

作者信息

Diamond R D, Krzesicki R, Jao W

出版信息

J Clin Invest. 1978 Feb;61(2):349-59. doi: 10.1172/JCI108945.

DOI:10.1172/JCI108945
PMID:340470
原文链接:https://pmc.ncbi.nlm.nih.gov/articles/PMC372545/
Abstract

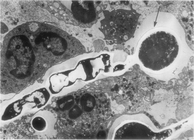
Large forms of Candida are characteristically present in invasive lesions and are often cleared by host defenses. Therefore, an in vitro system was developed to study interactions between leukocytes and pseudohyphae. By light, phase contrast, and electron microscopic observations, in the absence of serum, neutrophils attached to and spread over the surfaces of partially ingested pseudohyphae, which then appeared damaged. Using a new assay which measured neutrophil-induced inhibition of uptake of [(14)C]cytosine by Candida, damage to Candida in the absence of serum was 53.04+/-2.96% by neutrophils from 27 normal subjects. With serum, damage to Candida increased because of opsonization by low levels of anti-Candida immunoglobulin G in normal sera. Damage to Candida was inhibited by colchicine, cytochalasin B, and 2-deoxyglucose, which interfered with spreading of neutrophils over the surfaces of Candida. Dibutyryl cyclic AMP, theophylline, and isoproterenol also inhibited damage to Candida. Hydrocortisone was inhibitory in levels (10 muM) achievable with pharmacologic doses in man. Light, fluorescence, and electron microscopy indicated that neutrophils degranulated after contact with Candida. Quantitative studies revealed only a minimal increase in specific release of lysosomal enzymes from azurophil granules, but much greater release of lysozyme from specific granules. Candida activated neutrophil oxidative microbicidal mechanisms, as shown by iodination of Candida by neutrophils, and chemiluminescence from neutrophils interacting with Candida. Unlike live Candida, killed Candida did not induce chemiluminescence, were not iodinated, and did not attach to neutrophils by microscopy. Like Candida pseudohyphae, contact between neutrophils and hyphal forms of Aspergillus and Rhizopus occurred in the absence of serum. This did not occur with Cryptococcus neoformans, an encapsulated yeast, and was low with Candida yeasts. These findings indicate that neutrophils can recognize and attach to Candida pseudohyphae, then damage the Candida. This may represent a general reaction between neutrophils and large forms of fungi. Though the size of the organisms precludes complete ingestion, neutrophil oxidative microbicidal mechanisms are activated, and preferential release of contents of specific granules appears to occur.

摘要

侵袭性病变中通常存在大型念珠菌,且往往会被宿主防御机制清除。因此,开发了一种体外系统来研究白细胞与假菌丝之间的相互作用。通过光学显微镜、相差显微镜和电子显微镜观察发现,在无血清的情况下,中性粒细胞附着在部分被吞噬的假菌丝表面并在其表面铺展,随后假菌丝出现损伤。使用一种新的检测方法来测量中性粒细胞诱导的念珠菌对[(14)C]胞嘧啶摄取的抑制作用,来自27名正常受试者的中性粒细胞在无血清情况下对念珠菌的损伤率为53.04±2.96%。有血清时,由于正常血清中低水平的抗念珠菌免疫球蛋白G的调理作用,对念珠菌的损伤增加。秋水仙碱、细胞松弛素B和2-脱氧葡萄糖可抑制对念珠菌的损伤,它们会干扰中性粒细胞在念珠菌表面的铺展。二丁酰环磷腺苷、茶碱和异丙肾上腺素也能抑制对念珠菌的损伤。氢化可的松在人体药理学剂量可达到的水平(10μM)时具有抑制作用。光学显微镜、荧光显微镜和电子显微镜观察表明,中性粒细胞与念珠菌接触后会脱颗粒。定量研究显示,嗜天青颗粒中溶酶体酶的特异性释放仅略有增加,但特异性颗粒中溶菌酶的释放则显著增加。念珠菌激活了中性粒细胞的氧化杀菌机制,如中性粒细胞对念珠菌碘化以及中性粒细胞与念珠菌相互作用产生化学发光所示。与活念珠菌不同,死念珠菌不会诱导化学发光,不会被碘化,显微镜下也不会附着在中性粒细胞上。与念珠菌假菌丝一样,在无血清情况下中性粒细胞与曲霉菌和根霉菌的菌丝形式之间也会发生接触。而对于新型隐球菌(一种有荚膜的酵母)则不会发生这种情况,对念珠菌酵母的接触率较低。这些发现表明,中性粒细胞能够识别并附着在念珠菌假菌丝上,然后损伤念珠菌。这可能代表了中性粒细胞与大型真菌之间的一种普遍反应。尽管真菌的大小使其无法被完全吞噬,但中性粒细胞的氧化杀菌机制被激活,且特异性颗粒内容物似乎会优先释放。

https://cdn.ncbi.nlm.nih.gov/pmc/blobs/e4ce/372545/b650aba913ac/jcinvest00662-0128-a.jpg
https://cdn.ncbi.nlm.nih.gov/pmc/blobs/e4ce/372545/7e480ceb4f4b/jcinvest00662-0126-a.jpg
https://cdn.ncbi.nlm.nih.gov/pmc/blobs/e4ce/372545/be5ab0df8ced/jcinvest00662-0127-a.jpg
https://cdn.ncbi.nlm.nih.gov/pmc/blobs/e4ce/372545/b650aba913ac/jcinvest00662-0128-a.jpg
https://cdn.ncbi.nlm.nih.gov/pmc/blobs/e4ce/372545/7e480ceb4f4b/jcinvest00662-0126-a.jpg
https://cdn.ncbi.nlm.nih.gov/pmc/blobs/e4ce/372545/be5ab0df8ced/jcinvest00662-0127-a.jpg
https://cdn.ncbi.nlm.nih.gov/pmc/blobs/e4ce/372545/b650aba913ac/jcinvest00662-0128-a.jpg

相似文献

1
Damage to pseudohyphal forms of Candida albicans by neutrophils in the absence of serum in vitro.体外无血清情况下中性粒细胞对白色念珠菌假菌丝形态的损伤。
J Clin Invest. 1978 Feb;61(2):349-59. doi: 10.1172/JCI108945.
2
Mechanisms of attachment of neutrophils to Candida albicans pseudohyphae in the absence of serum, and of subsequent damage to pseudohyphae by microbicidal processes of neutrophils in vitro.在无血清情况下中性粒细胞与白色念珠菌假菌丝的附着机制,以及体外中性粒细胞杀菌过程对假菌丝的后续损伤。
J Clin Invest. 1978 Feb;61(2):360-9. doi: 10.1172/JCI108946.
3
Damage to hyphal forms of fungi by human leukocytes in vitro. A possible host defense mechanism in aspergillosis and mucormycosis.人白细胞在体外对真菌菌丝体形式的损伤。曲霉病和毛霉病中一种可能的宿主防御机制。
Am J Pathol. 1978 May;91(2):313-28.
4
Pulmonary defense mechanisms against opportunistic fungal pathogens.肺部针对机会性真菌病原体的防御机制。
Immunol Ser. 1989;47:243-71.
5
Monocyte-mediated serum-independent damage to hyphal and pseudohyphal forms of Candida albicans in vitro.单核细胞介导的体外对白色念珠菌菌丝和假菌丝形式的血清非依赖性损伤。
J Clin Invest. 1981 Jan;67(1):173-82. doi: 10.1172/JCI110010.
6
Damage to Candida albicans hyphae and pseudohyphae by the myeloperoxidase system and oxidative products of neutrophil metabolism in vitro.体外髓过氧化物酶系统及中性粒细胞代谢的氧化产物对白色念珠菌菌丝和假菌丝的损伤作用
J Clin Invest. 1980 Nov;66(5):908-17. doi: 10.1172/JCI109958.
7
Regulation of human polymorphonuclear neutrophil (PMN) activity against Candida albicans by large granular lymphocytes via release of a PMN-activating factor.大颗粒淋巴细胞通过释放多形核中性粒细胞(PMN)激活因子对白色念珠菌调节人类多形核中性粒细胞(PMN)活性。
J Immunol. 1987 Oct 15;139(8):2761-7.
8
Inhibition of pseudohyphal growth as a neutrophil-mediated host defense mechanism against experimental deep Candida albicans infections in mice.
J Lab Clin Med. 1993 Feb;121(2):235-43.
9
Modulation of neutrophil-mediated activity against the pseudohyphal form of Candida albicans by granulocyte colony-stimulating factor (G-CSF) administered in vivo.体内给予粒细胞集落刺激因子(G-CSF)对中性粒细胞介导的抗白色念珠菌假菌丝形式活性的调节作用。
J Infect Dis. 1999 May;179(5):1301-4. doi: 10.1086/314728.
10
In vitro, Candida albicans releases the immune modulator adenosine and a second, high-molecular weight agent that blocks neutrophil killing.在体外,白色念珠菌会释放免疫调节剂腺苷以及另一种能阻断中性粒细胞杀伤作用的高分子量物质。
J Immunol. 1992 Jun 1;148(11):3588-95.

引用本文的文献

1
A Fun-Guide to Innate Immune Responses to Fungal Infections.真菌性感染天然免疫应答趣味指南
J Fungi (Basel). 2022 Jul 29;8(8):805. doi: 10.3390/jof8080805.
2
Oral nystatin prophylaxis to prevent systemic fungal infection in very low birth weight preterm infants: a randomized controlled trial.口服制霉菌素预防极低出生体重早产儿系统性真菌感染:一项随机对照试验。
BMC Pediatr. 2020 Apr 17;20(1):170. doi: 10.1186/s12887-020-02074-0.
3
Neutrophils influx and proinflammatory cytokines inhibition by sodium salicylate, unlike aspirin, in Candida albicans-induced peritonitis model.

本文引用的文献

1
Measurement of candidacidal activity of specific leukocyte types in mixed cell populations I. Normal, myeloperoxidase-deficient, and chronic granulomatous disease neutrophils.特定白细胞类型在混合细胞群体中杀菌活性的测量 I. 正常、髓过氧化物酶缺陷和慢性肉芽肿病中性粒细胞。
Infect Immun. 1970 Jul;2(1):42-7. doi: 10.1128/iai.2.1.42-47.1970.
2
Response of cultured macrophages to Mycobacterium tuberculosis, with observations on fusion of lysosomes with phagosomes.培养的巨噬细胞对结核分枝杆菌的反应,以及关于溶酶体与吞噬体融合的观察。
J Exp Med. 1971 Sep 1;134(3 Pt 1):713-40. doi: 10.1084/jem.134.3.713.
3
A RAPID AND SENSITIVE ASSAY OF MURAMIDASE.
在白色念珠菌诱导的腹膜炎模型中,与阿司匹林不同,水杨酸钠可抑制中性粒细胞浸润和促炎细胞因子。
Folia Microbiol (Praha). 2016 Jul;61(4):337-46. doi: 10.1007/s12223-016-0443-1. Epub 2016 Jan 13.
4
Organ-specific innate immune responses in a mouse model of invasive candidiasis.侵袭性念珠菌病小鼠模型中的器官特异性固有免疫反应。
J Innate Immun. 2011;3(2):180-99. doi: 10.1159/000321157. Epub 2010 Nov 9.
5
Th1-Th17 cells mediate protective adaptive immunity against Staphylococcus aureus and Candida albicans infection in mice.Th1-Th17 细胞介导了小鼠对抗金黄色葡萄球菌和白色念珠菌感染的保护性适应性免疫。
PLoS Pathog. 2009 Dec;5(12):e1000703. doi: 10.1371/journal.ppat.1000703. Epub 2009 Dec 24.
6
High efficiency opsonin-independent phagocytosis of Candida parapsilosis by human neutrophils.人中性粒细胞对近平滑念珠菌的高效调理素非依赖吞噬作用。
Med Mycol. 2010 Mar;48(2):355-64. doi: 10.1080/13693780903164566.
7
Clinical microbiology of bacterial and fungal sepsis in very-low-birth-weight infants.极低出生体重儿细菌性和真菌性败血症的临床微生物学
Clin Microbiol Rev. 2004 Jul;17(3):638-80, table of contents. doi: 10.1128/CMR.17.3.638-680.2004.
8
Amphotericin B formulations exert additive antifungal activity in combination with pulmonary alveolar macrophages and polymorphonuclear leukocytes against Aspergillus fumigatus.两性霉素B制剂与肺泡巨噬细胞和多形核白细胞联合使用时,对烟曲霉具有相加抗真菌活性。
Antimicrob Agents Chemother. 2002 Jun;46(6):1974-6. doi: 10.1128/AAC.46.6.1974-1976.2002.
9
Intubation practice on cadavers should stop.尸体插管操作应该停止。
BMJ. 1992 Aug 8;305(6849):332.
10
Mechanisms of the in vitro fungicidal effects of human neutrophils against Penicillium marneffei induced by granulocyte-macrophage colony-stimulating factor (GM-CSF).粒细胞-巨噬细胞集落刺激因子(GM-CSF)诱导人中性粒细胞对马尔尼菲青霉菌体外杀菌作用的机制。
Clin Exp Immunol. 2000 Mar;119(3):472-8. doi: 10.1046/j.1365-2249.2000.01158.x.
一种快速灵敏的溶菌酶检测方法。
Proc Soc Exp Biol Med. 1965 Jun;119:384-6. doi: 10.3181/00379727-119-30188.
4
Studies on glucosaminidase. 3. Testicular N-acetyl-beta-glucosaminidase and N-acetyl-beta-galactosaminidase.氨基葡萄糖苷酶的研究。3. 睾丸N-乙酰-β-氨基葡萄糖苷酶和N-乙酰-β-半乳糖苷酶。
Biochem J. 1961 Jan;78(1):111-6. doi: 10.1042/bj0780111.
5
Leukocyte myeloperoxidase deficiency and disseminated candidiasis: the role of myeloperoxidase in resistance to Candida infection.白细胞髓过氧化物酶缺乏与播散性念珠菌病:髓过氧化物酶在抵抗念珠菌感染中的作用
J Clin Invest. 1969 Aug;48(8):1478-88. doi: 10.1172/JCI106114.
6
Defective candidacidal capacity of polymorphonuclear leukocytes in chronic granulomatous disease of childhood.儿童慢性肉芽肿病中多形核白细胞的杀念珠菌能力缺陷。
J Pediatr. 1969 Aug;75(2):300-3. doi: 10.1016/s0022-3476(69)80403-8.
7
An extension of the 51Cr-release assay for the estimation of mouse cytotoxins.用于估计小鼠细胞毒素的51铬释放试验的扩展。
Transplantation. 1968 Sep;6(6):761-4. doi: 10.1097/00007890-196809000-00002.
8
Serum opsonin, bacteria, and polymorphonuclear leukocyte interactions in subacute bacterial endocarditis. Anti-gamma-globulin factors and their interaction with specific opsonins.亚急性细菌性心内膜炎中血清调理素、细菌及多形核白细胞的相互作用。抗γ球蛋白因子及其与特异性调理素的相互作用。
J Clin Invest. 1968 May;47(5):1109-20. doi: 10.1172/JCI105800.
9
Leukocyte candidacidal activity and resistance to systemic candidiasis in patients with cancer.癌症患者的白细胞杀念珠菌活性及对系统性念珠菌病的抵抗力
Cancer. 1971 May;27(5):1211-7. doi: 10.1002/1097-0142(197105)27:5<1211::aid-cncr2820270528>3.0.co;2-3.
10
Acute disseminated and chronic mucocutaneous candidiasis.急性播散性念珠菌病和慢性黏膜皮肤念珠菌病。
Semin Hematol. 1971 Jul;8(3):227-42.