Department of Biophysics, GSI Helmholtzzentrum für Schwerionenforschung GmbH, 64291 Darmstadt, Germany.
Department of Biology, Technische Universität Darmstadt, 64287 Darmstadt, Germany.
Int J Mol Sci. 2021 May 27;22(11):5715. doi: 10.3390/ijms22115715.
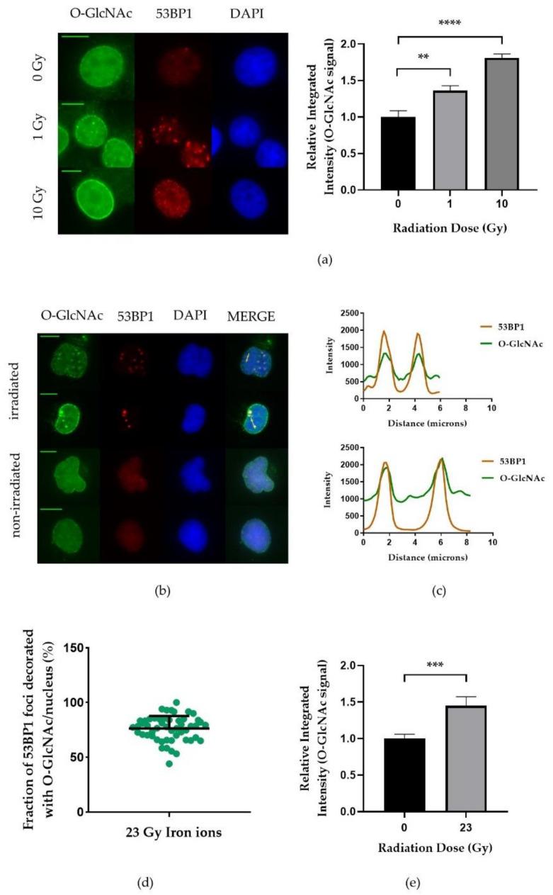
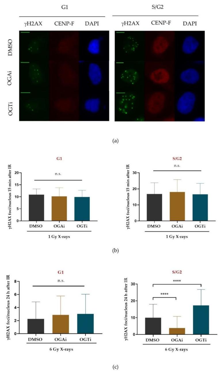
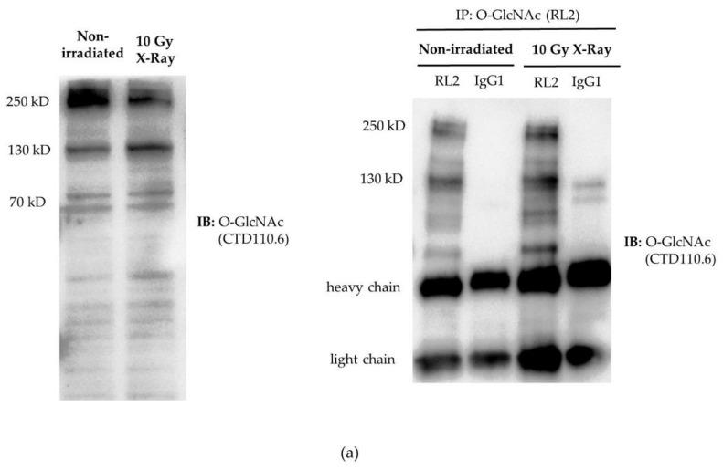
Exposing cells to DNA damaging agents, such as ionizing radiation (IR) or cytotoxic chemicals, can cause DNA double-strand breaks (DSBs), which are crucial to repair to maintain genetic integrity. O-linked β-N-acetylglucosaminylation (O-GlcNAcylation) is a post-translational modification (PTM), which has been reported to be involved in the DNA damage response (DDR) and chromatin remodeling. Here, we investigated the impact of O-GlcNAcylation on the DDR, DSB repair and chromatin status in more detail. We also applied charged particle irradiation to analyze differences of O-GlcNAcylation and its impact on DSB repair in respect of spatial dose deposition and radiation quality. Various techniques were used, such as the γH2AX foci assay, live cell microscopy and Fluorescence Lifetime Microscopy (FLIM) to detect DSB rejoining, protein accumulation and chromatin states after treating the cells with O-GlcNAc transferase (OGT) or O-GlcNAcase (OGA) inhibitors. We confirmed that O-GlcNAcylation of MDC1 is increased upon irradiation and identified additional repair factors related to Homologous Recombination (HR), CtIP and BRCA1, which were increasingly O-GlcNAcyated upon irradiation. This is consistent with our findings that the function of HR is affected by OGT inhibition. Besides, we found that OGT and OGA activity modulate chromatin compaction states, providing a potential additional level of DNA-repair regulation.
将细胞暴露于 DNA 损伤剂(如电离辐射(IR)或细胞毒性化学物质)可导致 DNA 双链断裂(DSB),这对于维持遗传完整性的修复至关重要。O-链接β-N-乙酰氨基葡萄糖基化(O-GlcNAcylation)是一种翻译后修饰(PTM),已报道其参与 DNA 损伤反应(DDR)和染色质重塑。在这里,我们更详细地研究了 O-GlcNAcylation 对 DDR、DSB 修复和染色质状态的影响。我们还应用带电粒子辐照来分析 O-GlcNAcylation 的差异及其对 DSB 修复的影响,涉及空间剂量沉积和辐射质量。我们使用了各种技术,例如 γH2AX 焦点测定、活细胞显微镜和荧光寿命显微镜(FLIM),以检测用 O-GlcNAc 转移酶(OGT)或 O-GlcNAcase(OGA)抑制剂处理细胞后 DSB 重连、蛋白质积累和染色质状态。我们证实,MDC1 的 O-GlcNAcylation 在辐照后增加,并鉴定出与同源重组(HR)、CtIP 和 BRCA1 相关的其他修复因子,这些因子在辐照后 O-GlcNAcylation 增加。这与我们的发现一致,即 HR 的功能受到 OGT 抑制的影响。此外,我们发现 OGT 和 OGA 活性调节染色质紧缩状态,为 DNA 修复调节提供了潜在的附加水平。