Suppr超能文献

伴有全身性皮肤损害的浆细胞性龈炎非典型表现。

An atypical presentation of plasma cell gingivitis with generalized skin lesions.

作者信息

Ketkar Gaurav Nitin, Kaarthikeyan G

机构信息

Department of Periodontics, Saveetha Dental College and Hospital, Saveetha Institute of Medical and Technical Sciences, Chennai, Tamil Nadu, India.

出版信息

J Oral Maxillofac Pathol. 2021 Mar;25(Suppl 1):S54-S57. doi: 10.4103/jomfp.JOMFP_292_20. Epub 2021 Mar 19.

Abstract

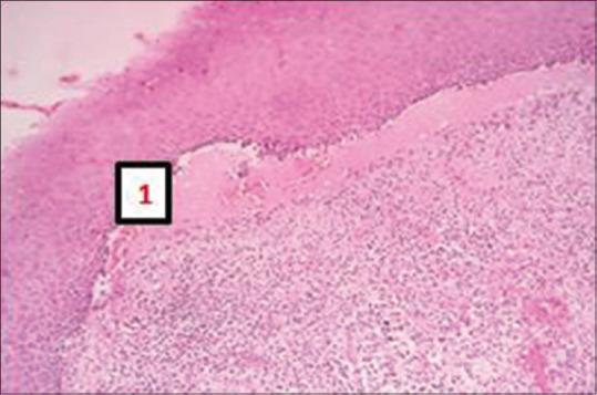
This article aims to present a report of an atypical clinical presentation of a plasma cell gingivitis (PCG) case with unusual skin lesions. PCG is a rare benign inflammatory condition which can be classified into Type 4 hypersensitivity reaction. It occurs due to reaction to unknown antigen, often flavoring agents or spices found in chewing gums, toothpastes and lozenges. Histologically, the lesion shows dense plasma cells infiltrate in the connective tissue. Early diagnosis of PCG is essential to differentiate from variety of conditions, namely, leukemia, HIV infection, discoid lupus erythematosus, atrophic lichen planus, desquamative gingivitis, or cicatricial pemphigoid which must be differentiated through hematologic and serologic testing. In this article, we will discuss a case of PCG with unusual skin lesions.

摘要

本文旨在报告一例具有不寻常皮肤病变的浆细胞性龈炎(PCG)的非典型临床表现。PCG是一种罕见的良性炎症性疾病,可归类为IV型超敏反应。它是由于对未知抗原的反应而发生的,这些抗原通常是口香糖、牙膏和含片等中的调味剂或香料。从组织学上看,病变显示结缔组织中有密集的浆细胞浸润。PCG的早期诊断对于与多种疾病相鉴别至关重要,这些疾病包括白血病、HIV感染、盘状红斑狼疮、萎缩性扁平苔藓、剥脱性龈炎或瘢痕性类天疱疮,必须通过血液学和血清学检测进行鉴别。在本文中,我们将讨论一例伴有不寻常皮肤病变的PCG病例。

https://cdn.ncbi.nlm.nih.gov/pmc/blobs/2664/8123247/aa8d760c9f34/JOMFP-25-54-g001.jpg

文献AI研究员

20分钟写一篇综述,助力文献阅读效率提升50倍。

立即体验

用中文搜PubMed

大模型驱动的PubMed中文搜索引擎

马上搜索

文档翻译

学术文献翻译模型,支持多种主流文档格式。

立即体验