Suppr超能文献

光生物调节疗法治疗浆细胞性龈炎,五年随访无复发

Plasma Cell Gingivitis Treated with Photobiomodulation, with No Recurrence for a Five-Year Follow-Up.

作者信息

Pulicari Federica, Pellegrini Matteo, Pascadopoli Maurizio, Porrini Massimo, Kuhn Elisabetta, Scribante Andrea, Spadari Francesco

机构信息

Maxillo-Facial and Odontostomatology Unit, Fondazione IRCCS Cà Granda Ospedale Maggiore Policlinico, Milan 20122, Italy.

Department of Biomedical, Surgical and Dental Sciences, University of Milan, Via della Commenda 10, Milan 20122, Italy.

出版信息

Case Rep Dent. 2022 Oct 12;2022:2992656. doi: 10.1155/2022/2992656. eCollection 2022.

Abstract

INTRODUCTION

Plasma cell gingivitis (PCG) is a chronic inflammatory disease usually affecting the vestibular portion of the gingival mucosa. Clinical presentation is marked by erythematous macules of intense red color, confluent, and delimited from the healthy neighboring mucosa. Generally asymptomatic, the gum lesions sometimes are accompanied by burning sensations and a sense of local tension. Recommended treatment is the use of topical steroids, but with apparent initial healing that is not stable over time. The present case report concerns a patient diagnosed with PCG in November 2017, with a five-year follow-up. This is the first patient with PCG successfully treated with non-surgical periodontal therapies associated with photobiomodulation (PBM).

METHODS

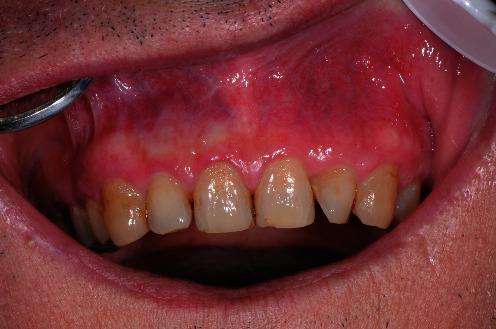
A 64-year-old male patient had intense erythema and edema on the vestibular side of the gingival mucosa area from 1.5 to 2.5. The patient's symptomatic subjectivity parameters were evaluated through dedicated questionnaires. Erythema and gingival bleeding were also evaluated. Periodontal charting was not pathological, but intense bleeding was noted. Multiple biopsies were performed, and microscopic findings confirmed the clinical hypothesis of PCG.

RESULTS

The treatment applied was PBM associated with periodontal therapy. The patient demonstrated a progressive improvement in clinical parameters considered and reported symptoms. During the five-year follow-up, no recurrence of the disease was observed.

CONCLUSIONS

The combined PBM and periodontal therapies have proved to be sufficiently effective in the control of PCG, showing reduction of the intense inflammatory, erythematous component, and gingival bleeding, and are a valid treatment alternative to topical steroids.

摘要

引言

浆细胞性龈炎(PCG)是一种慢性炎症性疾病,通常累及牙龈黏膜的前庭部分。临床表现为深红色的红斑,融合成片,并与相邻的健康黏膜分界。一般无症状,牙龈病变有时伴有烧灼感和局部紧绷感。推荐的治疗方法是使用局部类固醇,但初期愈合明显但随时间不稳定。本病例报告涉及一名于2017年11月被诊断为PCG的患者,并进行了为期五年的随访。这是首例通过与光生物调节(PBM)相关的非手术牙周治疗成功治疗的PCG患者。

方法

一名64岁男性患者,牙龈黏膜区域1.5至2.5处的前庭侧出现强烈红斑和水肿。通过专门的问卷对患者的症状主观参数进行评估。还评估了红斑和牙龈出血情况。牙周探查无病理性改变,但有明显出血。进行了多次活检,显微镜检查结果证实了PCG的临床诊断。

结果

采用的治疗方法是PBM联合牙周治疗。患者在考虑的临床参数和报告的症状方面有逐步改善。在五年随访期间,未观察到疾病复发。

结论

PBM和牙周治疗联合已被证明在控制PCG方面足够有效,显示出强烈炎症、红斑成分和牙龈出血减少,并且是局部类固醇的有效替代治疗方法。

https://cdn.ncbi.nlm.nih.gov/pmc/blobs/2f40/9581649/d600abb638aa/CRID2022-2992656.001.jpg

文献AI研究员

20分钟写一篇综述,助力文献阅读效率提升50倍。

立即体验

用中文搜PubMed

大模型驱动的PubMed中文搜索引擎

马上搜索

文档翻译

学术文献翻译模型,支持多种主流文档格式。

立即体验