Ain Shams University, Faculty of Medicine, Department of Diagnostic Radiology, Cairo, Egypt.
Ain Shams University, Faculty of Medicine, Department of Ophthalmology, Cairo, Egypt.
J Neuroradiol. 2021 Sep;48(5):319-324. doi: 10.1016/j.neurad.2021.05.007. Epub 2021 Jun 1.
The incidence of devastating opportunistic coinfections in patients with COVID-19 infection, their imaging features and their morbidity and mortality consequences need to be unraveled.
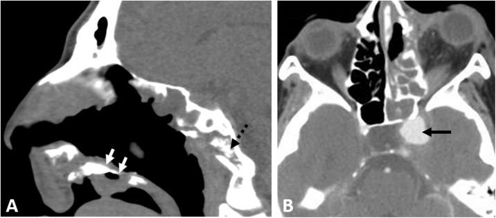
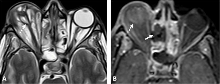
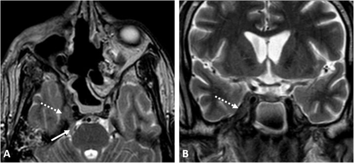
This is a case series presenting the radiologic features and clinical presentation of acute invasive fungal rhino-orbital-cerebral sinusitis (AIFS) in eight hospitalized patients with confirmed COVID-19 infection.
Our patient cohort presented with symptoms of the invasive fungal disease within 12-35 days from their initial presentation with COVID-19 infection. The cross-sectional imaging features of AIFS associated with COVID-19 infection do not differ from those reported in the literature for AIFS associated with other risk factors, yet our patients had features of aggressive late-stage forms with high morbidity and mortality rate.
AIFS is a possible encounter in patients with COVID-19 patients and radiologists should be familiar with its imaging features.
在 COVID-19 感染患者中,毁灭性机会性合并感染的发病率、其影像学特征及其发病率和死亡率后果亟待阐明。
本病例系列报告了 8 例确诊 COVID-19 感染住院患者的急性侵袭性真菌性鼻眶脑窦炎(AIFS)的放射学特征和临床表现。
我们的患者队列在 COVID-19 感染初始表现后 12-35 天出现侵袭性真菌病症状。与 COVID-19 感染相关的 AIFS 的影像学特征与文献中报道的与其他危险因素相关的 AIFS 的特征没有区别,但我们的患者具有侵袭性晚期形式的特征,发病率和死亡率高。
AIFS 可能在 COVID-19 患者中出现,放射科医生应熟悉其影像学特征。