Suppr超能文献

急诊科坏死性脓胸自发性破裂

Spontaneous Rupture of Empyema Necessitans in the Emergency Department.

作者信息

Crouch Andrew, Lay Johnson, Neeki Arianna, Dong Fanglong, Neeki Michael

机构信息

Emergency Medicine, Arrowhead Regional Medical Center, Colton, USA.

Anatomy, California University of Science and Medicine, Colton, USA.

出版信息

Cureus. 2021 May 3;13(5):e14822. doi: 10.7759/cureus.14822.

Abstract

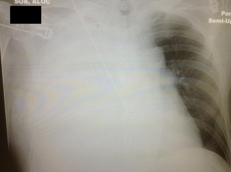
An empyema necessitans is a rare complication of a collection of purulent material in the pleural space that spreads outside of the pleural cavity and involves the soft tissues of the chest wall. Due to compression forces created by the size of the collection of empyema in the chest cavity, patients are usually symptomatic and present with severe dyspnea. Chest X-ray or ultrasound of the chest cavity are the ideal screening tools to visualize the empyema and followed by computerized tomography scan of the chest to confirm the presence and extent of the pathology. In rare occasions, the empyema can rupture spontaneously, which may lead to critical situation requiring emergent intervention. We report the case of a 72-year-old male who presented to the emergency department with severe dyspnea and was diagnosed with empyema necesitans. During the initial management of the case, the empyema necessitans ruptured spontaneously and required emergent interventions to stabilize the patient.

摘要

脓胸穿破胸壁是胸腔内脓性物质积聚的一种罕见并发症,该脓性物质会扩散至胸膜腔外并累及胸壁软组织。由于胸腔内脓胸积聚的大小产生的压迫力,患者通常会出现症状并表现为严重呼吸困难。胸部X线或胸腔超声是可视化脓胸的理想筛查工具,随后进行胸部计算机断层扫描以确认病变的存在和范围。在极少数情况下,脓胸可自发破裂,这可能导致需要紧急干预的危急情况。我们报告一例72岁男性患者,因严重呼吸困难就诊于急诊科,被诊断为脓胸穿破胸壁。在该病例的初始治疗过程中,脓胸穿破胸壁自发破裂,需要紧急干预以稳定患者病情。

https://cdn.ncbi.nlm.nih.gov/pmc/blobs/4aba/8172015/25f156e7d8f9/cureus-0013-00000014822-i01.jpg

文献AI研究员

20分钟写一篇综述,助力文献阅读效率提升50倍。

立即体验

用中文搜PubMed

大模型驱动的PubMed中文搜索引擎

马上搜索

文档翻译

学术文献翻译模型,支持多种主流文档格式。

立即体验