• 文献检索
  • 文档翻译
  • 深度研究
  • 学术资讯
  • Suppr Zotero 插件Zotero 插件
  • 邀请有礼
  • 套餐&价格
  • 历史记录
应用&插件
Suppr Zotero 插件Zotero 插件浏览器插件Mac 客户端Windows 客户端微信小程序
定价
高级版会员购买积分包购买API积分包
服务
文献检索文档翻译深度研究API 文档MCP 服务
关于我们
关于 Suppr公司介绍联系我们用户协议隐私条款
关注我们

Suppr 超能文献

核心技术专利:CN118964589B侵权必究
粤ICP备2023148730 号-1Suppr @ 2026

文献检索

告别复杂PubMed语法,用中文像聊天一样搜索,搜遍4000万医学文献。AI智能推荐,让科研检索更轻松。

立即免费搜索

文件翻译

保留排版,准确专业,支持PDF/Word/PPT等文件格式,支持 12+语言互译。

免费翻译文档

深度研究

AI帮你快速写综述,25分钟生成高质量综述,智能提取关键信息,辅助科研写作。

立即免费体验

联合免疫治疗后晚期肾细胞癌假性进展:病例报告及文献综述

Advanced Renal-Cell Carcinoma Pseudoprogression After Combined Immunotherapy: Case Report and Literature Review.

作者信息

Zhang Xiaojie, Huang Hao, Han Lu, Li Tiepeng, Wang Zibing, Gao Quanli

机构信息

Department of Immunotherapy, Affiliated Cancer Hospital of Zhengzhou University & Henan Cancer Hospital, Zhengzhou, China.

出版信息

Front Oncol. 2021 May 28;11:640447. doi: 10.3389/fonc.2021.640447. eCollection 2021.

DOI:10.3389/fonc.2021.640447
PMID:34123792
原文链接:https://pmc.ncbi.nlm.nih.gov/articles/PMC8194346/
Abstract

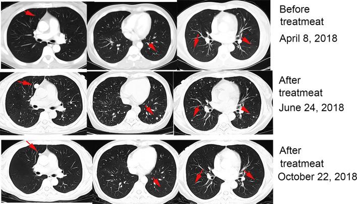
Treatment with a combination of programmed cell death-1 (PD-1) blocker and cytokine-induced killer (CIK) cells has improved outcome in cancer patients but is also associated with various patterns of responses. Pseudoprogression is a unique and uncommon phenomenon with no clear criteria for rapid diagnosis. Although some reports of pseudoprogression during immunotherapy exist, there are few reports of pseudoprogression occurring twice in the same patient. Here, we report the case of 51-year-old female patient with advanced renal cell carcinoma, who received a combination treatment of PD-1 blocker and CIK cells, and where pseudoprogression of lung and brain tumors occurred successively during treatment.

摘要

程序性细胞死亡蛋白1(PD-1)阻断剂与细胞因子诱导的杀伤细胞(CIK)联合治疗已改善了癌症患者的预后,但也与多种反应模式相关。假性进展是一种独特且罕见的现象,目前尚无快速诊断的明确标准。尽管已有一些关于免疫治疗期间假性进展的报道,但同一患者出现两次假性进展的报道却很少。在此,我们报告一例51岁晚期肾细胞癌女性患者,该患者接受了PD-1阻断剂与CIK细胞的联合治疗,治疗期间肺和脑肿瘤相继出现假性进展。

https://cdn.ncbi.nlm.nih.gov/pmc/blobs/d1cb/8194346/4aae01b50119/fonc-11-640447-g003.jpg
https://cdn.ncbi.nlm.nih.gov/pmc/blobs/d1cb/8194346/a617d6843921/fonc-11-640447-g001.jpg
https://cdn.ncbi.nlm.nih.gov/pmc/blobs/d1cb/8194346/09a39438736f/fonc-11-640447-g002.jpg
https://cdn.ncbi.nlm.nih.gov/pmc/blobs/d1cb/8194346/4aae01b50119/fonc-11-640447-g003.jpg
https://cdn.ncbi.nlm.nih.gov/pmc/blobs/d1cb/8194346/a617d6843921/fonc-11-640447-g001.jpg
https://cdn.ncbi.nlm.nih.gov/pmc/blobs/d1cb/8194346/09a39438736f/fonc-11-640447-g002.jpg
https://cdn.ncbi.nlm.nih.gov/pmc/blobs/d1cb/8194346/4aae01b50119/fonc-11-640447-g003.jpg

相似文献

1
Advanced Renal-Cell Carcinoma Pseudoprogression After Combined Immunotherapy: Case Report and Literature Review.联合免疫治疗后晚期肾细胞癌假性进展:病例报告及文献综述
Front Oncol. 2021 May 28;11:640447. doi: 10.3389/fonc.2021.640447. eCollection 2021.
2
Pseudoprogression: an indicator for cure in combined immunotherapy?假性进展:联合免疫治疗中的治愈指标?
Immunotherapy. 2019 Sep;11(13):1087-1093. doi: 10.2217/imt-2019-0034. Epub 2019 Jul 30.
3
Increase in Efficacy of Checkpoint Inhibition by Cytokine-Induced-Killer Cells as a Combination Immunotherapy for Renal Cancer.细胞因子诱导的杀伤细胞作为联合免疫疗法增强对肾癌的疗效。
Int J Mol Sci. 2020 Apr 27;21(9):3078. doi: 10.3390/ijms21093078.
4
Radiologic Pseudoprogression during Anti-PD-1 Therapy for Advanced Non-Small Cell Lung Cancer.抗 PD-1 治疗晚期非小细胞肺癌中的影像学假性进展。
J Thorac Oncol. 2018 Jul;13(7):978-986. doi: 10.1016/j.jtho.2018.04.010. Epub 2018 May 5.
5
Immune RECIST criteria and symptomatic pseudoprogression in non-small cell lung cancer patients treated with immunotherapy.免疫治疗的非小细胞肺癌患者的免疫RECIST标准及症状性假性进展
Radiol Oncol. 2018 Oct 18;52(4):365-369. doi: 10.2478/raon-2018-0037.
6
Comparison of Radiological Tumor Response Based on iRECIST and RECIST 1.1 in Metastatic Clear-Cell Renal Cell Carcinoma Patients Treated with Programmed Cell Death-1 Inhibitor Therapy.基于 iRECIST 和 RECIST 1.1 标准评估程序性细胞死亡蛋白-1 抑制剂治疗转移性透明细胞肾细胞癌患者的影像学肿瘤反应比较。
Korean J Radiol. 2021 Mar;22(3):366-375. doi: 10.3348/kjr.2020.0404. Epub 2020 Nov 26.
7
Pseudoprogression in microsatellite instability-high colorectal cancer during treatment with combination T cell mediated immunotherapy: a case report and literature review.微卫星高度不稳定型结直肠癌在接受T细胞介导的联合免疫治疗期间出现假性进展:一例报告及文献综述
Oncotarget. 2017 Jun 3;8(34):57889-57897. doi: 10.18632/oncotarget.18361. eCollection 2017 Aug 22.
8
High number of PD-1 positive intratumoural lymphocytes predicts survival benefit of cytokine-induced killer cells for hepatocellular carcinoma patients.肿瘤内 PD-1 阳性淋巴细胞数量高可预测细胞因子诱导的杀伤细胞治疗肝癌患者的生存获益。
Liver Int. 2018 Aug;38(8):1449-1458. doi: 10.1111/liv.13697. Epub 2018 Feb 13.
9
Implication of combined PD-L1/PD-1 blockade with cytokine-induced killer cells as a synergistic immunotherapy for gastrointestinal cancer.联合程序性死亡受体配体1/程序性死亡蛋白1阻断与细胞因子诱导的杀伤细胞作为胃肠道癌的协同免疫疗法的意义。
Oncotarget. 2016 Mar 1;7(9):10332-44. doi: 10.18632/oncotarget.7243.
10
[Therapeutic efficacy of dendritic cells pulsed by autologous tumor cell lysate in combination with CIK cells on advanced renal cell carcinoma].自体肿瘤细胞裂解物脉冲树突状细胞联合CIK细胞对晚期肾细胞癌的治疗效果
Xi Bao Yu Fen Zi Mian Yi Xue Za Zhi. 2015 Jan;31(1):67-71.

引用本文的文献

1
Multiple pseudoprogressions during ongoing immunotherapy-based treatment of advanced gastric neuroendocrine carcinoma: A case report and review of literature.晚期胃神经内分泌癌基于免疫疗法的治疗过程中出现多次假性进展:一例病例报告及文献综述
World J Gastrointest Oncol. 2025 Mar 15;17(3):102804. doi: 10.4251/wjgo.v17.i3.102804.
2
Multiparametric MRI for characterization of the tumour microenvironment.多参数 MRI 用于肿瘤微环境的特征分析。
Nat Rev Clin Oncol. 2024 Jun;21(6):428-448. doi: 10.1038/s41571-024-00891-1. Epub 2024 Apr 19.
3
Multi‑omics approach to improve patient‑tailored therapy using immune checkpoint blockade and cytokine‑induced killer cell infusion in an elderly patient with lung cancer: A case report and literature review.

本文引用的文献

1
The society for immunotherapy of cancer consensus statement on immunotherapy for the treatment of advanced renal cell carcinoma (RCC).癌症免疫治疗学会关于免疫治疗晚期肾细胞癌(RCC)的共识声明。
J Immunother Cancer. 2019 Dec 20;7(1):354. doi: 10.1186/s40425-019-0813-8.
2
Pseudoprogression: an indicator for cure in combined immunotherapy?假性进展:联合免疫治疗中的治愈指标?
Immunotherapy. 2019 Sep;11(13):1087-1093. doi: 10.2217/imt-2019-0034. Epub 2019 Jul 30.
3
Pembrolizumab plus Axitinib versus Sunitinib for Advanced Renal-Cell Carcinoma.
采用多组学方法改善老年肺癌患者基于免疫检查点阻断和细胞因子诱导的杀伤细胞输注的个体化治疗:病例报告及文献综述
Oncol Lett. 2024 Mar 11;27(5):203. doi: 10.3892/ol.2024.14334. eCollection 2024 May.
4
Molecular Targets of Shenqi Dihuang, A Traditional Chinese Herbal Medicine, and Its Potential Role in Renal Cell Carcinoma Therapy.参芪地黄中药的分子靶点及其在肾细胞癌治疗中的潜在作用。
Genet Res (Camb). 2023 Jan 25;2023:2355891. doi: 10.1155/2023/2355891. eCollection 2023.
派姆单抗联合阿昔替尼对比舒尼替尼用于晚期肾细胞癌。
N Engl J Med. 2019 Mar 21;380(12):1116-1127. doi: 10.1056/NEJMoa1816714. Epub 2019 Feb 16.
4
Combination of Cytokine-Induced Killer Cells and Programmed Cell Death-1 Blockade Works Synergistically to Enhance Therapeutic Efficacy in Metastatic Renal Cell Carcinoma and Non-Small Cell Lung Cancer.细胞因子诱导的杀伤细胞与程序性细胞死亡蛋白1阻断剂联合使用具有协同作用,可增强转移性肾细胞癌和非小细胞肺癌的治疗效果。
Front Immunol. 2018 Jul 5;9:1513. doi: 10.3389/fimmu.2018.01513. eCollection 2018.
5
Pseudoprogression manifesting as recurrent ascites with anti-PD-1 immunotherapy in urothelial bladder cancer.抗 PD-1 免疫治疗后膀胱癌假性进展表现为复发性腹水。
J Immunother Cancer. 2018 Apr 4;6(1):24. doi: 10.1186/s40425-018-0334-x.
6
Association Between Circulating Tumor DNA and Pseudoprogression in Patients With Metastatic Melanoma Treated With Anti-Programmed Cell Death 1 Antibodies.抗程序性细胞死亡蛋白 1 抗体治疗转移性黑色素瘤患者的循环肿瘤 DNA 与假性进展的相关性。
JAMA Oncol. 2018 May 1;4(5):717-721. doi: 10.1001/jamaoncol.2017.5332.
7
Changes in serum interleukin-8 (IL-8) levels reflect and predict response to anti-PD-1 treatment in melanoma and non-small-cell lung cancer patients.血清白细胞介素-8(IL-8)水平的变化反映并预测了抗 PD-1 治疗对黑色素瘤和非小细胞肺癌患者的疗效。
Ann Oncol. 2017 Aug 1;28(8):1988-1995. doi: 10.1093/annonc/mdx190.
8
iRECIST: guidelines for response criteria for use in trials testing immunotherapeutics.iRECIST:免疫治疗试验中使用的疗效评估标准指南。
Lancet Oncol. 2017 Mar;18(3):e143-e152. doi: 10.1016/S1470-2045(17)30074-8. Epub 2017 Mar 2.
9
Autologous cytokine-induced killer cell transfusion increases overall survival in advanced pancreatic cancer.自体细胞因子诱导的杀伤细胞输注可提高晚期胰腺癌患者的总生存率。
J Hematol Oncol. 2016 Feb 3;9:6. doi: 10.1186/s13045-016-0237-6.
10
Nivolumab versus Everolimus in Advanced Renal-Cell Carcinoma.纳武单抗与依维莫司治疗晚期肾细胞癌的比较
N Engl J Med. 2015 Nov 5;373(19):1803-13. doi: 10.1056/NEJMoa1510665. Epub 2015 Sep 25.