Department of Diagnostic Radiology, Hospital de Sant Pau, Universitat Autónoma de Barcelona, Barcelona, Spain.
Department of Defense, Pulmonary & Mediastinal Pathology, The Joint Pathology Center, Silver Spring, MD, USA.
Korean J Radiol. 2021 Aug;22(8):1416-1435. doi: 10.3348/kjr.2020.1082. Epub 2021 May 26.
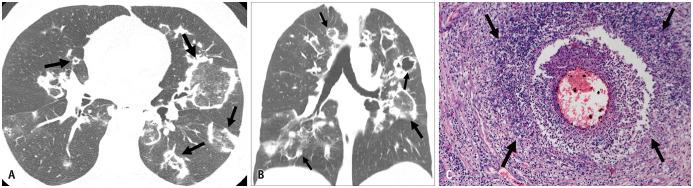
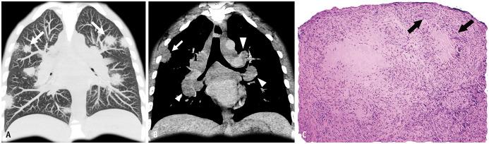
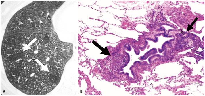
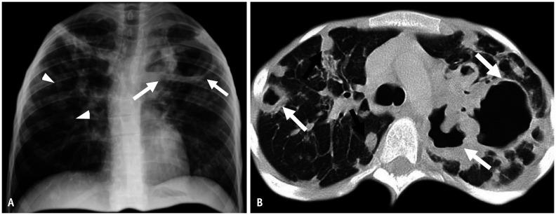
Non-infectious granulomatous lung disease represents a diverse group of disorders characterized by pulmonary opacities associated with granulomatous inflammation, a relatively nonspecific finding commonly encountered by pathologists. Some lesions may present a diagnostic challenge because of nonspecific imaging features; however, recognition of the various imaging manifestations of these disorders in conjunction with patients' clinical history, such as age, symptom onset and duration, immune status, and presence of asthma or cutaneous lesions, is imperative for narrowing the differential diagnosis and determining appropriate management of this rare group of disorders. In this pictorial review, we describe the pathologic findings of various non-infectious granulomatous lung diseases as well as the radiologic features and high-resolution computed tomography imaging features.
非感染性肉芽肿性肺病是一组不同疾病的总称,其特征是肺部混浊与肉芽肿性炎症有关,这是病理学家常见的一种相对非特异性发现。一些病变可能由于非特异性影像学特征而带来诊断挑战;然而,认识这些疾病的各种影像学表现,并结合患者的临床病史,如年龄、症状发作和持续时间、免疫状态以及哮喘或皮肤病变的存在,对于缩小鉴别诊断范围并确定对这组罕见疾病的适当治疗至关重要。在本影像学综述中,我们描述了各种非感染性肉芽肿性肺病的病理发现以及放射学特征和高分辨率计算机断层扫描成像特征。