Suppr超能文献

人参皂苷 Rg1 通过抑制再生障碍性贫血中线粒体凋亡介导的 Bax 易位来恢复造血功能。

Ginsenoside Rg1 can restore hematopoietic function by inhibiting Bax translocation-mediated mitochondrial apoptosis in aplastic anemia.

机构信息

Department of Hematology, Affiliated Hospital of Yan'an University, Yanan, 716000, China.

Department of Neurosurgery, Affiliated Hospital of Yan'an University, Yanan, 716000, China.

出版信息

Sci Rep. 2021 Jun 17;11(1):12742. doi: 10.1038/s41598-021-91471-1.

Abstract

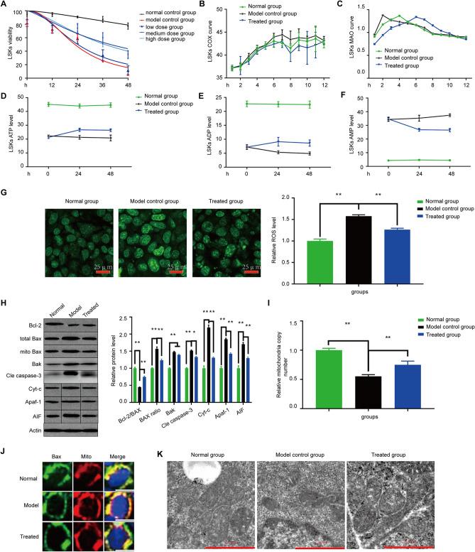
The present study investigated, the anti-apoptotic activity of Ginsenoside Rg1 (Rg1) via inhibition of Bax translocation and the subsequent recovery of hematopoietic function. Mitochondrial apoptosis in bone marrow mononuclear cells (BMNCs) was observed in aplastic anemia (AA) patients. To establish a mouse model of AA, BALB/c mice were transplanted with lymph node cells from DBA/2 donor mice via vein injection after treatment with Co60 γ-radiation. After treatment with Rg1 for 14 days, the peripheral blood and Lin-Sca-1 + c-Kit + (LSK) cell counts of the treated group were increased compared with those of the untreated model mice. In in vivo and in vitro tests of LSKs, Rg1 was found to increase mitochondrial number and the ratio of Bcl-2/Bax and to decrease damage to the mitochondrial inner and outer membranes, the mitochondrial Bax level and the protein levels of mitochondrial apoptosis-related proteins AIF and Cyt-C by decreasing the ROS level. Rg1 also improved the concentration-time curve of MAO and COX and levels of ATP, ADP and AMP in an in vitro test. In addition, high levels of Bax mitochondrial translocation could be corrected by Rg1 treatment. Levels of markers of mitochondrial apoptosis in the Rg1-treated group were significantly better than those in the AA model group, implying that Rg1 might improve hematopoietic stem cells and thereby restore hematopoietic function in AA by suppressing the mitochondrial apoptosis mediated by Bax translocation.

摘要

本研究通过抑制 Bax 易位来探讨人参皂苷 Rg1(Rg1)的抗凋亡活性,以及随后对造血功能的恢复作用。观察到再生障碍性贫血(AA)患者骨髓单个核细胞(BMNC)中的线粒体凋亡。通过静脉注射 Co60γ射线处理后,将 BALB/c 小鼠移植来自 DBA/2 供体小鼠的淋巴结细胞,建立 AA 小鼠模型。用 Rg1 治疗 14 天后,与未治疗的模型小鼠相比,治疗组的外周血和 Lin-Sca-1+ c-Kit+(LSK)细胞计数增加。在 LSK 的体内和体外试验中,Rg1 被发现通过降低 ROS 水平来增加线粒体数量和 Bcl-2/Bax 的比值,并减少线粒体内外膜、线粒体 Bax 水平和线粒体凋亡相关蛋白 AIF 和 Cyt-C 的蛋白水平的损伤。Rg1 还改善了 MAO 和 COX 的浓度-时间曲线以及体外试验中 ATP、ADP 和 AMP 的水平。此外,Rg1 处理可纠正 Bax 线粒体易位的高水平。Rg1 治疗组的线粒体凋亡标志物水平明显优于 AA 模型组,这表明 Rg1 可能通过抑制 Bax 易位介导的线粒体凋亡来改善造血干细胞,从而恢复 AA 中的造血功能。

https://cdn.ncbi.nlm.nih.gov/pmc/blobs/1dc4/8211841/10f13945b91d/41598_2021_91471_Fig1_HTML.jpg

文献AI研究员

20分钟写一篇综述,助力文献阅读效率提升50倍。

立即体验

用中文搜PubMed

大模型驱动的PubMed中文搜索引擎

马上搜索

文档翻译

学术文献翻译模型,支持多种主流文档格式。

立即体验