Suppr超能文献

二尖瓣关闭不全合并脂肪瘤浸润二尖瓣。

Mitral incompetence associated with lipoma infiltrating the mitral valve.

作者信息

Anderson D R, Gray M R

机构信息

Department of Cardiac Surgery, Guy's Hospital, London.

出版信息

Br Heart J. 1988 Aug;60(2):169-71. doi: 10.1136/hrt.60.2.169.

Abstract

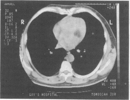
A 54 year old man presented with presyncopal symptoms. Echocardiography and subsequently computed tomography showed a mass in the posterior mitral annulus causing incompetence of the valve. At operation a lipoma was found which could not be resected. Mitral incompetence was the result of chordal rupture where the lipoma had engulfed the papillary muscle. The valve was replaced and the patient made an uneventful recovery. This case report shows a potential danger of an otherwise benign lesion.

摘要

一名54岁男性出现晕厥前症状。超声心动图检查以及随后的计算机断层扫描显示二尖瓣后瓣环处有一肿块,导致瓣膜关闭不全。手术中发现是一个无法切除的脂肪瘤。二尖瓣关闭不全是由于脂肪瘤包绕乳头肌导致腱索断裂所致。患者接受了瓣膜置换手术,术后恢复顺利。本病例报告显示了一种原本良性的病变可能存在的危险。

https://cdn.ncbi.nlm.nih.gov/pmc/blobs/ce21/1216542/0d39c0b6440e/brheartj00080-0080-a.jpg

文献检索

告别复杂PubMed语法,用中文像聊天一样搜索,搜遍4000万医学文献。AI智能推荐,让科研检索更轻松。

立即免费搜索

文件翻译

保留排版,准确专业,支持PDF/Word/PPT等文件格式,支持 12+语言互译。

免费翻译文档

深度研究

AI帮你快速写综述,25分钟生成高质量综述,智能提取关键信息,辅助科研写作。

立即免费体验