• 文献检索
  • 文档翻译
  • 深度研究
  • 学术资讯
  • Suppr Zotero 插件Zotero 插件
  • 邀请有礼
  • 套餐&价格
  • 历史记录
应用&插件
Suppr Zotero 插件Zotero 插件浏览器插件Mac 客户端Windows 客户端微信小程序
定价
高级版会员购买积分包购买API积分包
服务
文献检索文档翻译深度研究API 文档MCP 服务
关于我们
关于 Suppr公司介绍联系我们用户协议隐私条款
关注我们

Suppr 超能文献

核心技术专利:CN118964589B侵权必究
粤ICP备2023148730 号-1Suppr @ 2026

文献检索

告别复杂PubMed语法,用中文像聊天一样搜索,搜遍4000万医学文献。AI智能推荐,让科研检索更轻松。

立即免费搜索

文件翻译

保留排版,准确专业,支持PDF/Word/PPT等文件格式,支持 12+语言互译。

免费翻译文档

深度研究

AI帮你快速写综述,25分钟生成高质量综述,智能提取关键信息,辅助科研写作。

立即免费体验

人肝片形吸虫病的影像学表现:病例报告及文献复习。

Imaging findings of human hepatic fascioliasis: a case report and review of the literature.

机构信息

Department of Radiology, Tehran University of Medical Sciences (TUMS), Tehran, Iran.

Department of Radiology, Kabul University of Medical Sciences, Kabul, Afghanistan.

出版信息

J Med Case Rep. 2021 Jun 24;15(1):324. doi: 10.1186/s13256-021-02945-9.

DOI:10.1186/s13256-021-02945-9
PMID:34162437
原文链接:https://pmc.ncbi.nlm.nih.gov/articles/PMC8223301/
Abstract

BACKGROUND

Fascioliasis is a food-borne hepatobiliary zoonosis caused by Fasciola hepatica and Fasciola gigantica. Human infestations are predominantly seen in developing countries where the disease is endemic, but, due to the increase in international travel rates, hepatic fascioliasis is also appearing in nonendemic areas including Europe and the USA. The clinical and laboratory findings are usually nonspecific. Cross-sectional imaging can be very helpful in the diagnosis of fascioliasis as well as to differentiate it from other liver diseases with a very similar clinical picture. The objectives of this case report are to discuss imaging findings of hepatic fascioliasis and to review the literature.

CASE PRESENTATION

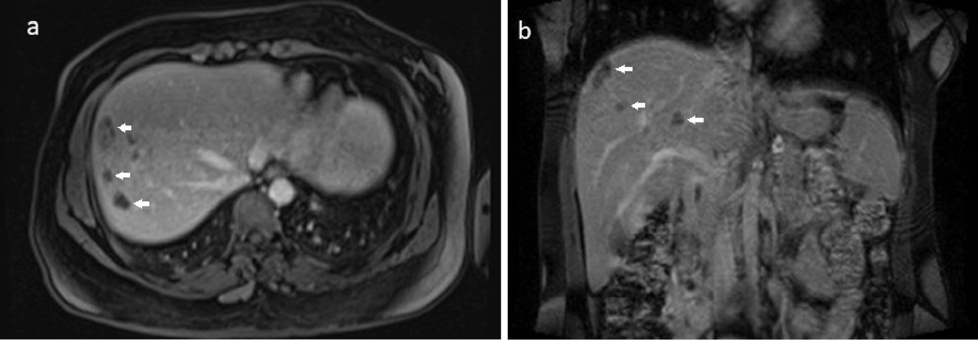
We report the case of a 35-year-old Iranian patient who presented with right upper quadrant pain, low-grade fever, fatigue, and anorexia. The patient had a history of recent travel to the Gilan Province of Iran, almost a month before the onset of symptoms, which is an endemic area of fascioliasis in the country. Laboratory examinations revealed eosinophilia, elevated hepatic enzymes, and slightly raised C-reactive protein. Contrast-enhanced computed tomography of the patient shows clusters of focal ill-defined hypodense lesions with mild peripheral enhancement in the right liver lobe and subcapsular regions. Magnetic resonance imaging of the liver revealed multiple ill-defined lesions of low signal intensity on the T1-weighted image and high signal intensity on the T2-weighted image, extending from the liver capsule into deeper parenchyma toward periportal regions, which shows mild peripheral enhancement on post-contrast images. Imaging-based diagnosis of fascioliasis was made depending on the characteristic distribution of subcapsular tracts/lesions on the above-mentioned imaging, which was then confirmed by serologic tests using enzyme-linked immunosorbent assay. The patient was treated with triclabendazole, showing great clinical improvement, and was eventually discharged in good health condition.

CONCLUSION

The imaging findings in this case report highlight the importance of cross-sectional imaging for further evaluation of suspected cases of fluke-induced liver disease. The hypothesis of hepatic fascioliasis should be always considered when consistent radiological findings are observed. Clusters of tortuous subcapsular lesions with peripheral contrast enhancement extending into deeper liver parenchyma are characteristic imaging findings that strongly suggest hepatic fascioliasis.

摘要

背景

片形吸虫病是一种食源性肝胆人畜共患寄生虫病,由肝片形吸虫和巨片形吸虫引起。人体感染主要见于疾病流行的发展中国家,但由于国际旅行率的增加,包括欧洲和美国在内的非流行地区也出现了肝片形吸虫病。临床和实验室检查结果通常是非特异性的。横断面成像在诊断片形吸虫病以及将其与具有非常相似临床表现的其他肝病区分开来方面非常有帮助。本病例报告的目的是讨论肝片形吸虫病的影像学表现并复习文献。

病例介绍

我们报告了一名 35 岁的伊朗患者的病例,该患者出现右上腹疼痛、低热、乏力和食欲不振。患者最近有前往伊朗吉兰省的旅行史,在症状出现前将近一个月,该国的该地区是片形吸虫病的流行区。实验室检查显示嗜酸性粒细胞增多、肝酶升高和 C 反应蛋白略有升高。患者的增强 CT 显示右肝叶和包膜下区域有簇状局灶性边界不清的低密病灶,伴轻度周边强化。肝脏磁共振成像显示多个边界不清的病灶在 T1 加权像上呈低信号强度,在 T2 加权像上呈高信号强度,从肝包膜向深部实质延伸至门脉周围区域,在增强后图像上显示轻度周边强化。根据上述影像学上特征性的包膜下轨迹/病变分布,做出片形吸虫病的影像学诊断,然后通过酶联免疫吸附试验进行血清学检测来证实。患者接受三氯苯达唑治疗,临床症状显著改善,最终健康状况良好出院。

结论

本病例报告中的影像学表现强调了横断面成像对疑似吸虫病引起的肝病进一步评估的重要性。当观察到一致的放射学发现时,应始终考虑肝片形吸虫病的假说。特征性的影像学表现为簇状迂曲的包膜下病变,伴周边对比增强延伸至深部肝实质,强烈提示肝片形吸虫病。

https://cdn.ncbi.nlm.nih.gov/pmc/blobs/6f98/8223301/2832a46cff62/13256_2021_2945_Fig3_HTML.jpg
https://cdn.ncbi.nlm.nih.gov/pmc/blobs/6f98/8223301/da1f9a6a0611/13256_2021_2945_Fig1_HTML.jpg
https://cdn.ncbi.nlm.nih.gov/pmc/blobs/6f98/8223301/aa0cea181131/13256_2021_2945_Fig2_HTML.jpg
https://cdn.ncbi.nlm.nih.gov/pmc/blobs/6f98/8223301/2832a46cff62/13256_2021_2945_Fig3_HTML.jpg
https://cdn.ncbi.nlm.nih.gov/pmc/blobs/6f98/8223301/da1f9a6a0611/13256_2021_2945_Fig1_HTML.jpg
https://cdn.ncbi.nlm.nih.gov/pmc/blobs/6f98/8223301/aa0cea181131/13256_2021_2945_Fig2_HTML.jpg
https://cdn.ncbi.nlm.nih.gov/pmc/blobs/6f98/8223301/2832a46cff62/13256_2021_2945_Fig3_HTML.jpg

相似文献

1
Imaging findings of human hepatic fascioliasis: a case report and review of the literature.人肝片形吸虫病的影像学表现:病例报告及文献复习。
J Med Case Rep. 2021 Jun 24;15(1):324. doi: 10.1186/s13256-021-02945-9.
2
CT findings of human Fasciola hepatica infection: case reports and review of the literature.人类肝片吸虫感染的CT表现:病例报告及文献复习
Clin Imaging. 2016 Mar-Apr;40(2):251-5. doi: 10.1016/j.clinimag.2015.11.002. Epub 2015 Nov 5.
3
Diagnostic imaging in the study of human hepatobiliary fascioliasis.诊断影像学在人体肝胆华支睾吸虫病研究中的应用。
Radiol Med. 2010 Feb;115(1):83-92. doi: 10.1007/s11547-009-0454-y. Epub 2009 Dec 14.
4
Human Fascioliasis (Liver Fluke Disease) in Hawai'i: Case Report and Review of Human Fascioliasis Acquired in the United States.夏威夷人体片形吸虫病(肝片吸虫病):病例报告及美国获得性人体片形吸虫病综述。
Hawaii J Health Soc Welf. 2021 Sep;80(9):212-217.
5
Hepatobiliary fascioliasis: imaging characteristics with a new finding.肝胆管华支睾吸虫病:一种新发现的影像学特征。
Diagn Interv Radiol. 2009 Dec;15(4):247-51. doi: 10.4261/1305-3825.DIR.1851-08.2. Epub 2009 Nov 10.
6
Clinical presentation and management of Fasciola hepatica infection: single-center experience.肝片形吸虫感染的临床表现和治疗:单中心经验。
World J Gastroenterol. 2011 Nov 28;17(44):4899-904. doi: 10.3748/wjg.v17.i44.4899.
7
[Hepatic pseudotumor in acute fascioliasis].[急性肝片吸虫病中的肝脏假瘤]
Acta Gastroenterol Latinoam. 2013 Mar;43(1):53-8.
8
Radiological evaluation of response to treatment in hepatobiliary fascioliasis.肝吸虫病治疗反应的放射学评估
Gastroenterol Hepatol. 2022 Aug-Sep;45(7):507-514. doi: 10.1016/j.gastrohep.2021.09.004. Epub 2021 Oct 8.
9
Hepatic mass caused by Fasciola hepatica: a tricky differential diagnosis.肝片形吸虫引起的肝脏肿块:一个棘手的鉴别诊断。
Am J Trop Med Hyg. 2013 Dec;89(6):1212-3. doi: 10.4269/ajtmh.13-0085. Epub 2013 Sep 30.
10
Distribution of Fasciola hepatica and F. gigantica in the endemic area of Guilan, Iran: Relationships between zonal overlap and phenotypic traits.伊朗吉兰省地方病流行区肝片吸虫和巨片吸虫的分布:区域重叠与表型特征之间的关系
Infect Genet Evol. 2015 Apr;31:95-109. doi: 10.1016/j.meegid.2015.01.009. Epub 2015 Jan 17.

引用本文的文献

1
A 'Fluke' Diagnosis: Suspecting Fascioliasis as a Rare Cause of Hepatic Abscess.一个“偶然的”诊断:怀疑肝片吸虫病是肝脓肿的罕见病因。
J Community Hosp Intern Med Perspect. 2025 May 5;15(3):84-89. doi: 10.55729/2000-9666.1477. eCollection 2025.
2
Hepatic Fascioliasis Complicated by Multisite Venous Thromboembolism: A Rare Association and Implications for Parasite-Associated Coagulopathy.肝片吸虫病并发多部位静脉血栓栓塞:一种罕见的关联及其对寄生虫相关凝血病的影响
Clin Case Rep. 2025 Jul 21;13(7):e70647. doi: 10.1002/ccr3.70647. eCollection 2025 Jul.
3
Spontaneous hepatic hemorrhage in fascioliasis: Imaging and diagnostic challenges in a rare case series from East Africa.

本文引用的文献

1
Surgically resected hepatic mass caused by fascioliasis.手术切除由片形吸虫病引起的肝肿块。
Clin J Gastroenterol. 2021 Apr;14(2):662-667. doi: 10.1007/s12328-021-01339-0. Epub 2021 Jan 20.
2
Parasitic diseases as a cause of acute abdominal pain: imaging findings.作为急性腹痛病因的寄生虫病:影像学表现
Insights Imaging. 2020 Jul 20;11(1):86. doi: 10.1186/s13244-020-00892-5.
3
Parasitic Liver Infections: Imaging Findings and Strategies for Timely Diagnosis.寄生虫性肝感染:影像学表现与及时诊断策略。
肝片吸虫病中的自发性肝出血:来自东非的一个罕见病例系列中的影像学表现及诊断挑战
Radiol Case Rep. 2025 Jun 5;20(9):4209-4214. doi: 10.1016/j.radcr.2025.05.038. eCollection 2025 Sep.
4
Human Fascioliasis in Portugal: A Case Report.葡萄牙的人体片形吸虫病:一例报告。
Cureus. 2024 Nov 26;16(11):e74527. doi: 10.7759/cureus.74527. eCollection 2024 Nov.
5
The Liver's hidden foe: A case study on Human Fasciolasis.肝脏的隐匿敌人:人类肝片吸虫病病例研究
IDCases. 2024 Jul 30;37:e02045. doi: 10.1016/j.idcr.2024.e02045. eCollection 2024.
6
Unanticipated discovery: incidental encounter with fasciola hepatica during ERCP - a case report.意外发现:内镜逆行胰胆管造影术(ERCP)期间偶然发现肝片吸虫——病例报告
Ann Med Surg (Lond). 2024 Jun 24;86(8):4840-4844. doi: 10.1097/MS9.0000000000002303. eCollection 2024 Aug.
7
Diagnosis of Human Trematode Infections.人体吸虫感染的诊断。
Adv Exp Med Biol. 2024;1454:541-582. doi: 10.1007/978-3-031-60121-7_14.
8
Liver abscess caused by the ingested foreign body without sign of gastrointestinal perforation: A case report.摄入异物导致的肝脓肿且无胃肠道穿孔迹象:一例报告
Radiol Case Rep. 2023 Oct 6;18(12):4404-4408. doi: 10.1016/j.radcr.2023.09.028. eCollection 2023 Dec.
9
Liver fluke in a young Nepalese girl: A rare diagnostic puzzle.一名尼泊尔年轻女孩体内的肝吸虫:一个罕见的诊断难题。
Clin Case Rep. 2023 Aug 24;11(9):e7848. doi: 10.1002/ccr3.7848. eCollection 2023 Sep.
Curr Probl Diagn Radiol. 2020 Nov-Dec;49(6):447-451. doi: 10.1067/j.cpradiol.2019.08.002. Epub 2019 Aug 7.
4
Radiological Imaging Features of Fasciola hepatica Infection - A Pictorial Review.肝片吸虫感染的放射影像学特征——图谱综述
J Clin Imaging Sci. 2012;2:2. doi: 10.4103/2156-7514.92372. Epub 2012 Jan 27.
5
Clinical presentation and management of Fasciola hepatica infection: single-center experience.肝片形吸虫感染的临床表现和治疗:单中心经验。
World J Gastroenterol. 2011 Nov 28;17(44):4899-904. doi: 10.3748/wjg.v17.i44.4899.
6
Diagnostic imaging in the study of human hepatobiliary fascioliasis.诊断影像学在人体肝胆华支睾吸虫病研究中的应用。
Radiol Med. 2010 Feb;115(1):83-92. doi: 10.1007/s11547-009-0454-y. Epub 2009 Dec 14.
7
Hepatobiliary fascioliasis: imaging characteristics with a new finding.肝胆管华支睾吸虫病:一种新发现的影像学特征。
Diagn Interv Radiol. 2009 Dec;15(4):247-51. doi: 10.4261/1305-3825.DIR.1851-08.2. Epub 2009 Nov 10.
8
Helminth infections: the great neglected tropical diseases.蠕虫感染:被严重忽视的热带疾病。
J Clin Invest. 2008 Apr;118(4):1311-21. doi: 10.1172/JCI34261.
9
Epidemiology of human fascioliasis: a review and proposed new classification.人体肝片吸虫病的流行病学:综述与新分类建议
Bull World Health Organ. 1999;77(4):340-6.
10
Prevention of human fascioliasis: a study on the role of acids detergents and potassium permenganate in clearing salads from metacercariae.人体片形吸虫病的预防:关于酸、洗涤剂和高锰酸钾在清除沙拉中尾蚴作用的研究
J Egypt Soc Parasitol. 1997 Apr;27(1):163-9.