Suppr超能文献

肝片吸虫感染的放射影像学特征——图谱综述

Radiological Imaging Features of Fasciola hepatica Infection - A Pictorial Review.

作者信息

Dusak Abdurrahim, Onur Mehmet R, Cicek Mutalip, Firat Ugur, Ren Tianbo, Dogra Vikram S

机构信息

Department of Radiology, University of Rochester Medical Center, Rochester, NY, US.

出版信息

J Clin Imaging Sci. 2012;2:2. doi: 10.4103/2156-7514.92372. Epub 2012 Jan 27.

Abstract

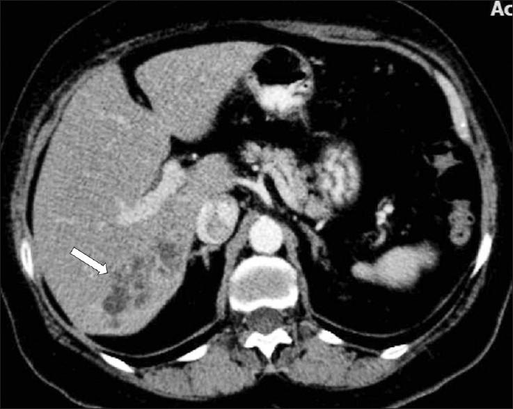
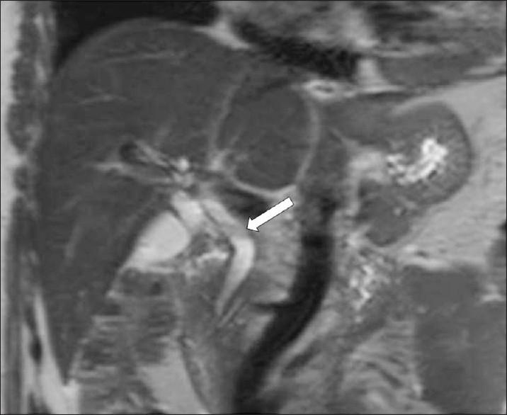
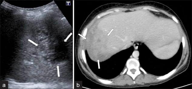
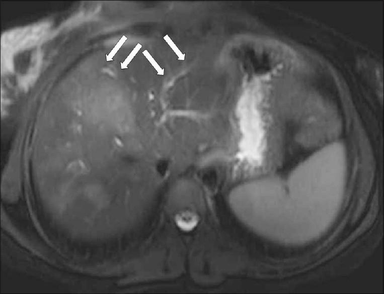
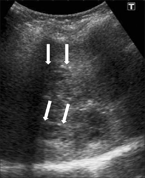
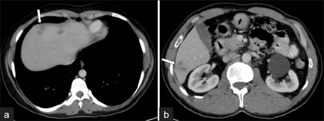
Fascioliasis refers to a zoonosis caused by Fasciola hepatica, a trematode infecting herbivores, but also occurs in humans who ingest the metacercaria found in fresh water plants. Infection in humans is common in developing countries and is also not uncommon in Europe. Diagnosis of this infection is difficult, as the history and symptoms are nonspecific and stool analysis for eggs is negative until the disease is in an advanced state by when the parasite has reached the biliary system. The clinical course consists of two phases; first a hepatic parenchymal phase in which immature larvae invade the liver parenchyma, followed by a ductal phase characterized by the excretion of larvae into the bile ducts. Parenchymal Phase: Ultrasonography (US) findings are nonspecific in this early phase. Computerized tomography (CT) may demonstrate subcapsular low attenuation regions in the liver. Magnetic Resonance imaging (MRI) can also be utilized to establish liver parenchymal involvement, and is better than CT in characterizing hemorrhagic lesions, as well as identifying more lesions relative to CT. Ductal Phase: US examination is most useful at this stage, with its ability to demonstrate the live movement of the worms within the dilated ducts. A CT demonstrates dilated central biliary ducts with periportal tracking, whereas, mild ductal dilatation is poorly appreciated under MRI. Therefore, familiarity with the multimodality imaging features of fascioliasis, in combination with an available confirmatory enzyme-linked immunoassay, would be most helpful for early diagnosis.

摘要

肝片吸虫病是一种由肝片吸虫引起的人畜共患病,这种吸虫感染食草动物,但人类摄入淡水植物中的囊蚴后也会感染。在发展中国家,人类感染这种疾病很常见,在欧洲也并不罕见。这种感染的诊断很困难,因为病史和症状不具有特异性,而且在疾病发展到晚期寄生虫进入胆道系统之前,粪便虫卵分析一直呈阴性。临床病程包括两个阶段:首先是肝实质期,未成熟幼虫侵入肝实质,随后是导管期,其特征是幼虫排入胆管。实质期:在此早期阶段,超声检查(US)结果不具有特异性。计算机断层扫描(CT)可能显示肝脏包膜下低密度区域。磁共振成像(MRI)也可用于确定肝实质受累情况,在表征出血性病变以及相对于CT识别更多病变方面比CT更好。导管期:US检查在这个阶段最有用,它能够显示扩张胆管内虫体的活动。CT显示中央胆管扩张并伴有门静脉周围条索状影,而在MRI下轻度胆管扩张不易被察觉。因此,熟悉肝片吸虫病的多模态影像学特征,并结合可用的确诊酶联免疫测定,对早期诊断最有帮助。

https://cdn.ncbi.nlm.nih.gov/pmc/blobs/8e8d/3279695/59b973f2f9e4/JCIS-2-2-g002.jpg

文献检索

告别复杂PubMed语法,用中文像聊天一样搜索,搜遍4000万医学文献。AI智能推荐,让科研检索更轻松。

立即免费搜索

文件翻译

保留排版,准确专业,支持PDF/Word/PPT等文件格式,支持 12+语言互译。

免费翻译文档

深度研究

AI帮你快速写综述,25分钟生成高质量综述,智能提取关键信息,辅助科研写作。

立即免费体验