Suppr超能文献

促红细胞生成素和胰岛素给药对 Wistar 大鼠自体脂肪移植后脂肪组织存活率的影响。一项实验研究。

The significance of erythropoietin and insulin administration on survival of fat tissue after autologous fat transplantation in Wistar rats. An experimental study.

机构信息

Department of Morpho-Functional Sciences I, Department of Surgery I, Faculty of Medicine, Grigore T. Popa University of Medicine and Pharmacy, Iaşi, Romania;

出版信息

Rom J Morphol Embryol. 2020 Oct-Dec;61(4):1143-1151. doi: 10.47162/RJME.61.4.16.

Abstract

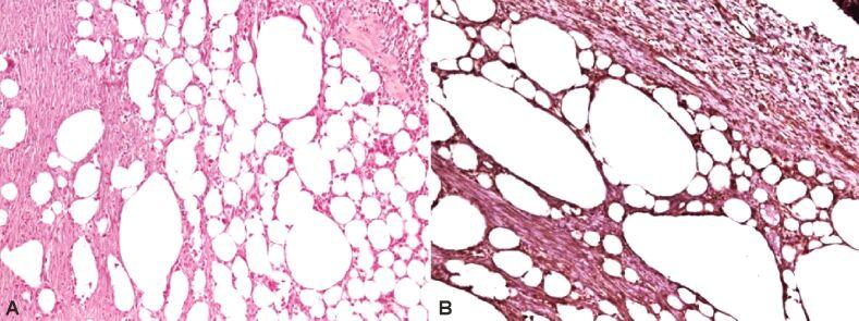
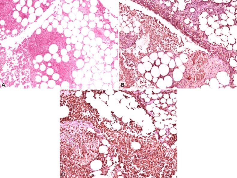
Autologous fat transfer is widely used by plastic surgeons for aesthetic and reconstructive purpose, but it has a great disadvantage because of its high variability rate of resorption. Numerous studies have examined the use of different agents to increase the viability of fat grafts. The results were discouraging because the use of a single angiogenic factor to stimulate fat graft angiogenesis may be inappropriate. We proposed to use two pharmacological factors, erythropoietin (EPO) and insulin (INS), in order to decrease the resorption rate, to improve graft vascularization, and to reduce the number of complications. Twenty-four Wistar male rats were randomly divided in four groups (I-IV) of six animals each. The rats belonging to control group were given autologous transfer of simple fat. In group II, the graft was improved with EPO, in group III with INS, and in group IV both pharmacological agents were administered. Histological evaluation of the grafts at two months after injection demonstrated adipocyte survival in all four groups. The volume of the graft has progressively decreased in all groups and the difference in graft volume at one and two months after transplantation was not significant. The highest maintenance of fat graft volume (95%) at two months was observed in group IV, followed by group II and group III. Necrotic cystic changes and increased fibrosis were most extensive in the control group. The combination of INS with EPO may have a synergistic and additive effect. Efficient administration and dose optimization of these growth factors are important things to consider in the future.

摘要

自体脂肪移植被整形医生广泛用于美容和重建目的,但由于吸收率高,存在很大的缺点。许多研究都研究了使用不同的药物来提高脂肪移植物的存活率。结果令人沮丧,因为单一血管生成因子刺激脂肪移植物血管生成可能不合适。我们建议使用两种药理因子,促红细胞生成素(EPO)和胰岛素(INS),以降低吸收率,改善移植物血管化,并减少并发症的数量。将 24 只雄性 Wistar 大鼠随机分为四组(I-IV),每组 6 只。对照组大鼠给予单纯脂肪自体移植。在第 II 组中,用 EPO 改善移植物,在第 III 组中用 INS 改善移植物,在第 IV 组中同时给予两种药物。注射后两个月对移植物进行组织学评估,结果显示所有四组的脂肪细胞均存活。所有组的移植物体积均逐渐减少,移植后 1 个月和 2 个月的移植物体积差异无统计学意义。在两个月时,观察到 IV 组的脂肪移植物体积维持率最高(95%),其次是 II 组和 III 组。在对照组中,囊性坏死和纤维化增加最为广泛。胰岛素与 EPO 的联合应用可能具有协同和累加作用。这些生长因子的有效给药和剂量优化是未来需要考虑的重要事项。

https://cdn.ncbi.nlm.nih.gov/pmc/blobs/1906/8343588/2fb9a78094f2/RJME-61-4-1143-fig1.jpg

文献AI研究员

20分钟写一篇综述,助力文献阅读效率提升50倍。

立即体验

用中文搜PubMed

大模型驱动的PubMed中文搜索引擎

马上搜索

文档翻译

学术文献翻译模型,支持多种主流文档格式。

立即体验