Cardiology, Department of Cardiac, Thoracic, Vascular Sciences and Public Health, University of Padova, Via Giustiniani 2, Padova, 35128, Italy.
Cardiac Pathology, Department of Cardiac, Thoracic, Vascular Sciences and Public Health, University of Padova, Padova, Italy.
ESC Heart Fail. 2021 Oct;8(5):4313-4317. doi: 10.1002/ehf2.13470. Epub 2021 Jun 26.
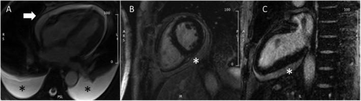
Effusive-constrictive pericarditis (ECP) is an uncommon diagnosis, frequently missed due to its heterogeneous presentation, but a potentially reversible cause of heart failure. A 62-year-old Caucasian male presented with remittent right heart failure and mild-moderate pericardial effusion. Following an initial diagnosis of idiopathic pericarditis, indomethacin was started, but the patient shortly relapsed, presenting with severe pericardial effusion and signs of cardiac tamponade, requiring pericardiocentesis. ECP was diagnosed on cardiac catheterization. Cardiac computed tomography showed non-calcified, mildly thickened and inflamed parietal pericardium. Pericardiectomy was performed with symptoms remission. On histological examination of pericardium, chronic non-necrotizing granulomatous inflammation was noted. Polymerase chain reaction assay was positive for non-tuberculous mycobacteria. This case represents a rare finding of ECP with unusual presentation due to atypical mycobacteriosis in a non-immunocompromised patient and in a non-endemic area. Pericardiectomy can be an effective option in cases unresponsive to anti-inflammatory treatment, even in the absence of significant pericardial thickening or calcification.
渗出性缩窄性心包炎(ECP)是一种不常见的诊断,由于其表现多样,常常被漏诊,但它是心力衰竭的一个潜在可逆转的病因。一名 62 岁的白人男性因间歇性右心衰竭和轻度至中度心包积液就诊。最初诊断为特发性心包炎后,开始使用吲哚美辛,但患者很快复发,出现严重的心包积液和心脏压塞的迹象,需要进行心包穿刺。在心脏导管检查中诊断为 ECP。心脏计算机断层扫描显示无钙化、轻度增厚和炎症的心包。心包切除术缓解了症状。心包组织学检查显示慢性非坏死性肉芽肿性炎症。聚合酶链反应检测结果显示非结核分枝杆菌阳性。该病例代表了一种罕见的 ECP 表现,由于非免疫功能低下患者和非流行地区的非典型分枝杆菌病,其表现不典型。即使在心包厚度或钙化不明显的情况下,心包切除术也可以作为对抗炎治疗无反应患者的有效选择。