Suppr超能文献

非压迫性、致残性颈神经根病和颈部疼痛:洞穴状骨样骨瘤。

Non-Compressive, Disabling, Cervical Radiculopathy and Neck Pain: Cave Osteoid Osteoma.

作者信息

Brunori Andrea, Delitala Alberto

机构信息

Neurosurgery, San Camillo Hospital, Rome, ITA.

Neurosurgery, San Carlo di Nancy Hospital, Rome, ITA.

出版信息

Cureus. 2021 May 24;13(5):e15209. doi: 10.7759/cureus.15209.

Abstract

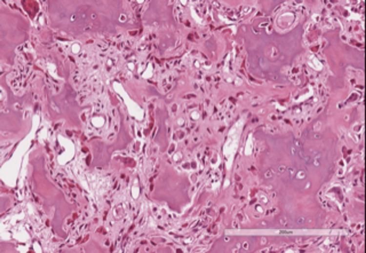
Cervical radiculopathy is a common clinical condition with an annual incidence of 85/10,000. Refractory cases with positive disco-vertebral imaging findings are routinely referred to the Neurosurgeon for evaluation and treatment. In the absence of a clearcut compressive etiology, other rarer but surgically curable causes must be considered before recommending conservative management. We discuss the case of an otherwise active, healthy patient with an invalidating, refractory, relapsing nuchal pain and cervical radiculopathy. Only careful and state-of-the-art neuroimaging led to the correct diagnosis: an osteoid osteoma of the right C6 lamina was diagnosed and microsurgically resected allowing complete recovery and cure. The clinical features of these rare tumors in this unusual location are reviewed. The case is relevant for multifold reasons: it draws attention to rare conditions which can mimic radicular compression; emphasizes the need for a careful evaluation and appreciation of specific clinical symptoms and signs associated with non-compressive radiculopathies; prompts planning of a state of the art imaging workup, in order to rule out such an elusive tumor. All these measures minimize the risk of overlooking the present and other rare pathologies, sparing patients a long path of time-consuming, frustrating and cost-ineffective studies and treatment modalities.

摘要

神经根型颈椎病是一种常见的临床病症,年发病率为85/10000。椎间盘椎体影像学检查结果呈阳性的难治性病例通常会被转介给神经外科医生进行评估和治疗。在没有明确的压迫病因的情况下,在推荐保守治疗之前,必须考虑其他罕见但可通过手术治愈的病因。我们讨论了一例原本活跃、健康的患者,患有使人丧失活动能力、难治性、复发性颈部疼痛和神经根型颈椎病。只有通过仔细且先进的神经影像学检查才得出了正确的诊断:诊断出右侧C6椎板骨样骨瘤,并进行了显微手术切除,患者得以完全康复。本文回顾了这些罕见肿瘤在这个不寻常位置的临床特征。该病例具有多方面的意义:它提醒人们注意可能模仿神经根受压的罕见病症;强调需要仔细评估和认识与非压迫性神经根病相关的特定临床症状和体征;促使人们规划先进的影像学检查,以排除这种难以捉摸的肿瘤。所有这些措施都将忽视当前及其他罕见病症的风险降至最低,使患者避免漫长的、耗时的、令人沮丧且成本效益低下的检查和治疗方式。

https://cdn.ncbi.nlm.nih.gov/pmc/blobs/201a/8221648/7939a544f8e9/cureus-0013-00000015209-i01.jpg

文献AI研究员

20分钟写一篇综述,助力文献阅读效率提升50倍。

立即体验

用中文搜PubMed

大模型驱动的PubMed中文搜索引擎

马上搜索

文档翻译

学术文献翻译模型,支持多种主流文档格式。

立即体验