Suppr超能文献

氨对家兔生长性能、脂质代谢及盲肠微生物群落的影响。

Effects of ammonia on growth performance, lipid metabolism and cecal microbial community of rabbits.

作者信息

Cui Jia, Yang Xinyu, Wang Fengxia, Liu Shudong, Han Shuaijuan, Chen Baojiang

机构信息

College of Animal Science and Technology, Hebei Agricultural University, Bao ding, China.

出版信息

PLoS One. 2021 Jun 30;16(6):e0252065. doi: 10.1371/journal.pone.0252065. eCollection 2021.

Abstract

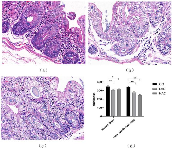
This study was designed to investigate the effect of ammonia on growth performance, lipid metabolism and intestinal flora of rabbits. A total of 150 female IRA rabbits (35-days-old) were randomly divided into three groups including 0 ppm (CG), 10 ppm (LAC) and 30 ppm ammonia (HAC) groups for a period of 28 days. The average daily weight gain (ADG) of rabbits was significantly reduced in LAC (-17.11%; p < 0.001) and HAC groups (-17.46%; p < 0.001) as compared with the CG. Serum concentration of high density lipoprotein (HDL) and glucose (Glu) were increased in LAC (+80.95%; +45.99; p < 0.05) and HAC groups (+219.05%; +45.89; p < 0.001), while apolipoprotein A1 (apoA1) was decreased in LAC (-58.49%; p < 0.001) and HAC groups (-36.92%; p < 0.001). The structural integrity of cecum was damaged, and the thickness of mucosa and serosa were significantly decreased in LAC and HAC. The acetate, butyrate and propionate level of cecal chyme were reduced in HAC group (-21.67%; -19.82%; -30.81%; p < 0.05). Microbial diversity and burden of Firmicutes were significantly decreased, while that of pathogenic bacteria, such as Bacteroidetes, Clostridium and Proteobacteria were increased in ammonia treated groups. Spearman's correlation confirmed that burden of Ruminococcaceae_NK4A214_group showed significantly negative correlation with acetic acid (r = -0.67; p < 0.001) while Barnesiellaceae_unclassified showed significantly positive correlation with propionic acid (r = 0.50; p < 0.001). In conclusion, ammonia treatment was responsible for an imbalance of intestinal flora, which affected lipid metabolism and damaged intestinal barrier of rabbits, resulting in low growth performance due to lipid metabolism dysfunction.

摘要

本研究旨在探讨氨对家兔生长性能、脂质代谢及肠道菌群的影响。选取150只35日龄雌性IRA家兔,随机分为三组,分别为0 ppm(对照组)、10 ppm(低氨组)和30 ppm氨(高氨组),为期28天。与对照组相比,低氨组(-17.11%;p<0.001)和高氨组(-17.46%;p<0.001)家兔的平均日增重显著降低。低氨组(+80.95%;+45.99;p<0.05)和高氨组(+219.05%;+45.89;p<0.001)血清高密度脂蛋白(HDL)和葡萄糖(Glu)浓度升高,而低氨组(-58.49%;p<0.001)和高氨组(-36.92%;p<0.001)载脂蛋白A1(apoA1)降低。低氨组和高氨组盲肠结构完整性受损,黏膜和浆膜厚度显著降低。高氨组盲肠食糜中乙酸、丁酸和丙酸水平降低(-21.67%;-19.82%;-30.81%;p<0.05)。氨处理组微生物多样性和厚壁菌门负担显著降低,而拟杆菌门、梭菌属和变形菌门等病原菌负担增加。Spearman相关性分析证实,瘤胃球菌科_NK4A214_组负担与乙酸呈显著负相关(r=-0.67;p<0.001),而未分类的Barnesiellaceae与丙酸呈显著正相关(r=0.50;p<0.001)。综上所述,氨处理导致肠道菌群失衡,影响家兔脂质代谢并破坏肠道屏障,因脂质代谢功能障碍导致生长性能低下。

https://cdn.ncbi.nlm.nih.gov/pmc/blobs/dffc/8244895/64d976bff5a8/pone.0252065.g001.jpg

文献AI研究员

20分钟写一篇综述,助力文献阅读效率提升50倍。

立即体验

用中文搜PubMed

大模型驱动的PubMed中文搜索引擎

马上搜索

文档翻译

学术文献翻译模型,支持多种主流文档格式。

立即体验