Suppr超能文献

靶向渗透裂解在治疗晚期侵袭性宫颈鳞癌患者中的紧急应用。

Emergency Use of Targeted Osmotic Lysis for the Treatment of a Patient with Aggressive Late-Stage Squamous Cell Carcinoma of the Cervix.

机构信息

Department of Neurology, Louisiana State University Health Sciences Center, New Orleans, LA 70112, USA.

Oleander Medical Technologies, Baton Rouge, LA 70803, USA.

出版信息

Curr Oncol. 2021 Jun 8;28(3):2115-2122. doi: 10.3390/curroncol28030196.

Abstract

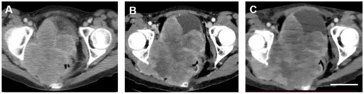
Upregulation of voltage-gated sodium channels (VGSCs) and Na/K-ATPase (sodium pumps) is common across most malignant carcinomas. Targeted osmotic lysis (TOL) is a developing technology in which the concomitant stimulation of VGSCs and pharmacological blockade of sodium pumps causes rapid selective osmotic lysis of carcinoma cells. This treatment of cervical carcinoma is evidence that TOL is a safe, well-tolerated and effective treatment for aggressive advanced carcinomas that has the potential to extend life without compromising its quality. TOL is likely to have broad application for the treatment of advanced-stage carcinomas.

摘要

电压门控钠离子通道(VGSCs)和 Na/K-ATP 酶(钠泵)的上调在大多数恶性癌中都很常见。靶向渗透性溶解(TOL)是一种正在发展中的技术,它同时刺激 VGSCs 并抑制钠泵,导致癌细胞快速选择性渗透性溶解。这种宫颈癌的治疗方法表明,TOL 是一种安全、耐受良好且有效的治疗侵袭性晚期癌的方法,有可能延长生命而不降低其质量。TOL 很可能有广泛的应用于治疗晚期癌症。

https://cdn.ncbi.nlm.nih.gov/pmc/blobs/28ab/8293172/ef23dd403217/curroncol-28-00196-g001.jpg

文献检索

告别复杂PubMed语法,用中文像聊天一样搜索,搜遍4000万医学文献。AI智能推荐,让科研检索更轻松。

立即免费搜索

文件翻译

保留排版,准确专业,支持PDF/Word/PPT等文件格式,支持 12+语言互译。

免费翻译文档

深度研究

AI帮你快速写综述,25分钟生成高质量综述,智能提取关键信息,辅助科研写作。

立即免费体验