State Key Laboratory of Food Science and Technology, Jiangnan University, Wuxi 214122, China.
School of Food Science and Technology, Jiangnan University, Wuxi 214122, China.
Nutrients. 2021 Jun 11;13(6):2010. doi: 10.3390/nu13062010.
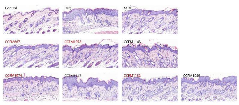
Psoriasis is an immune-mediated systemic disease that may be treated with probiotics. In this study, probiotic strains that could or could not decrease interleukin (IL)-17 levels were applied to imiquimod (IMQ)-induced psoriasis-like mice via oral administration. CCFM667, CCFM1078, CCFM1074, and CCFM1132 ameliorated psoriasis-like pathological characteristics and suppressed the release of IL-23/T helper cell 17 (Th17) axis-related inflammatory cytokines, whereas CCFM1148, CCFM1147, and CCFM1040 neither alleviated the pathological characteristics nor reduced the levels of inflammatory cytokines. All effective strains increased the contents of short-chain fatty acids, which were negatively correlated with the levels of inflammatory cytokines. By performing 16S rRNA gene sequencing, the diversity of gut microbiota in psoriasis-like mice was found to decrease, but all effective strains made some specific changes to the composition of gut microbiota compared to the ineffective strains. Furthermore, except for CCFM1078, all other effective strains decreased the abundance of the family Rikenellaceae, which was positively correlated with psoriasis-like pathological characteristics and was negatively correlated with propionate levels. These findings demonstrated effects of strain-specificity, and how probiotics ameliorated psoriasis and provide new possibilities for the treatment of psoriasis.
银屑病是一种免疫介导的系统性疾病,可以用益生菌治疗。在这项研究中,通过口服应用可能或不可能降低白细胞介素(IL)-17 水平的益生菌菌株,对咪喹莫特(IMQ)诱导的银屑病样小鼠进行治疗。CCFM667、CCFM1078、CCFM1074 和 CCFM1132 改善了银屑病样病理特征,并抑制了白细胞介素-23/T 辅助细胞 17(Th17)轴相关炎症细胞因子的释放,而 CCFM1148、CCFM1147 和 CCFM1040 既没有缓解病理特征,也没有降低炎症细胞因子的水平。所有有效的菌株都增加了短链脂肪酸的含量,而短链脂肪酸与炎症细胞因子的水平呈负相关。通过进行 16S rRNA 基因测序,发现银屑病样小鼠的肠道微生物多样性降低,但与无效菌株相比,所有有效的菌株都对肠道微生物的组成产生了一些特定的变化。此外,除了 CCFM1078 之外,所有其他有效的菌株都降低了 Rikenellaceae 家族的丰度,该家族与银屑病样病理特征呈正相关,与丙酸盐水平呈负相关。这些发现表明了菌株特异性的影响,以及益生菌如何改善银屑病,并为银屑病的治疗提供了新的可能性。