Hong Yukyung, Lee Jaehak, Moon Hyunjin, Ryu Chang H, Seok Jungirl, Jung Yuh-Seog, Ryu Junsun, Baek Seung J
College of Veterinary Medicine and Research Institute for Veterinary Science, Seoul National University, Seoul 08826, Korea.
Center for Thyroid Cancer, Department of Otolaryngology-Head and Neck Surgery Research Institute and Hospital, National Cancer Center, Goyang-si 10408, Korea.
Cancers (Basel). 2021 Jun 16;13(12):3022. doi: 10.3390/cancers13123022.
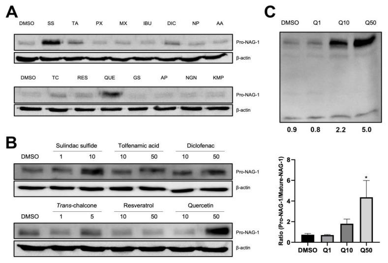
Although the treatment of thyroid cancer has improved, unnecessary surgeries are performed due to a lack of specific diagnostic and prognostic markers. Therefore, the identification of novel biomarkers should be considered in the diagnosis and treatment of thyroid cancer. In this study, antibody arrays were performed using tumor and adjacent normal tissues of patients with papillary thyroid cancer, and several potential biomarkers were identified. Among the candidate proteins chosen based on the antibody array data, mature NAG-1 exhibited increased expression in tumor tissues compared to adjacent normal tissues. In contrast, pro-NAG-1 expression increased in normal tissues, as assessed by western blot analysis. Furthermore, pro-NAG-1 expression was increased when the thyroid cancer cells were treated with phytochemicals and nonsteroidal anti-inflammatory drugs in a dose-dependent manner. In particular, quercetin highly induced the expression of pro-NAG-1 but not that of mature NAG-1, with enhanced anticancer activity, including apoptosis induction and cell cycle arrest. Examination of the NAG-1 promoter activity showed that p53, C/EBPα, or C/EBPδ played a role in quercetin-induced NAG-1 expression. Overall, our study indicated that NAG-1 may serve as a novel biomarker for thyroid cancer prognosis and may be used as a therapeutic target for thyroid cancers.
尽管甲状腺癌的治疗已有改善,但由于缺乏特异性诊断和预后标志物,仍存在不必要的手术。因此,在甲状腺癌的诊断和治疗中应考虑鉴定新的生物标志物。在本研究中,利用甲状腺乳头状癌患者的肿瘤组织和相邻正常组织进行了抗体芯片检测,并鉴定出了几种潜在的生物标志物。基于抗体芯片数据选择的候选蛋白中,成熟的NAG-1在肿瘤组织中的表达相较于相邻正常组织有所增加。相反,通过蛋白质印迹分析评估,前体NAG-1在正常组织中的表达增加。此外,用植物化学物质和非甾体抗炎药处理甲状腺癌细胞时,前体NAG-1的表达呈剂量依赖性增加。特别是,槲皮素高度诱导前体NAG-1的表达,但不诱导成熟NAG-1的表达,同时增强了包括诱导凋亡和细胞周期阻滞在内的抗癌活性。对NAG-1启动子活性的检测表明,p53、C/EBPα或C/EBPδ在槲皮素诱导的NAG-1表达中发挥作用。总体而言,我们的研究表明,NAG-1可能作为甲状腺癌预后的一种新生物标志物,并可作为甲状腺癌的治疗靶点。