• 文献检索
  • 文档翻译
  • 深度研究
  • 学术资讯
  • Suppr Zotero 插件Zotero 插件
  • 邀请有礼
  • 套餐&价格
  • 历史记录
应用&插件
Suppr Zotero 插件Zotero 插件浏览器插件Mac 客户端Windows 客户端微信小程序
定价
高级版会员购买积分包购买API积分包
服务
文献检索文档翻译深度研究API 文档MCP 服务
关于我们
关于 Suppr公司介绍联系我们用户协议隐私条款
关注我们

Suppr 超能文献

核心技术专利:CN118964589B侵权必究
粤ICP备2023148730 号-1Suppr @ 2026

文献检索

告别复杂PubMed语法,用中文像聊天一样搜索,搜遍4000万医学文献。AI智能推荐,让科研检索更轻松。

立即免费搜索

文件翻译

保留排版,准确专业,支持PDF/Word/PPT等文件格式,支持 12+语言互译。

免费翻译文档

深度研究

AI帮你快速写综述,25分钟生成高质量综述,智能提取关键信息,辅助科研写作。

立即免费体验

低温热疗诱导 M1 巨噬细胞极化后释放的铁离子促进 CD4 T 细胞向 CTL 分化。

Iron Released after Cryo-Thermal Therapy Induced M1 Macrophage Polarization, Promoting the Differentiation of CD4 T Cells into CTLs.

机构信息

School of Biomedical Engineering, Shanghai Jiao Tong University, Shanghai 200030, China.

School of Biomedical Engineering and Med-X Research Institute, Shanghai Jiao Tong University, Shanghai 200030, China.

出版信息

Int J Mol Sci. 2021 Jun 29;22(13):7010. doi: 10.3390/ijms22137010.

DOI:10.3390/ijms22137010
PMID:34209797
原文链接:https://pmc.ncbi.nlm.nih.gov/articles/PMC8268875/
Abstract

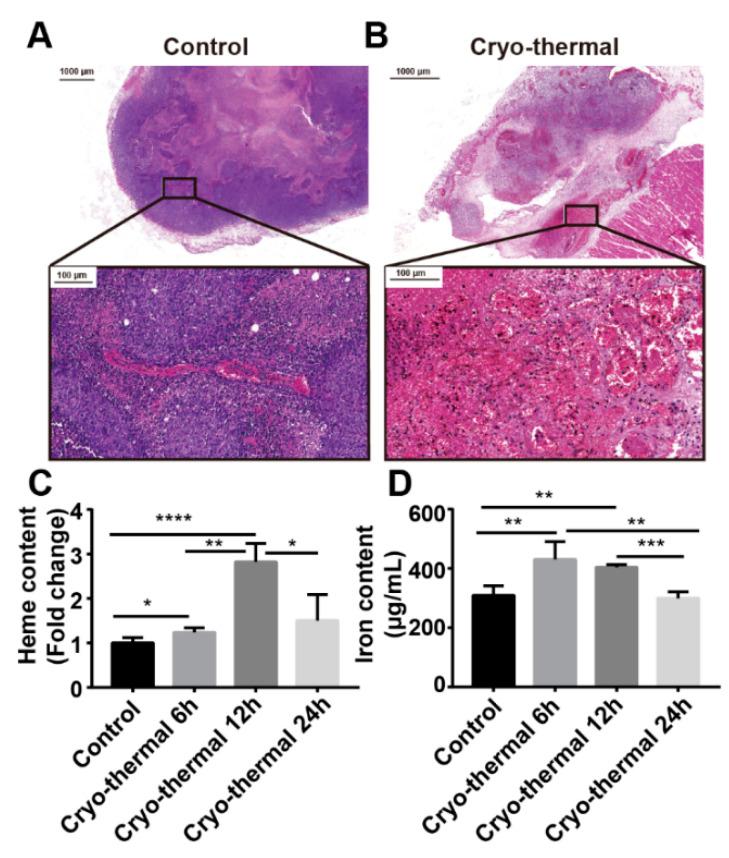
Macrophages play critical roles in both innate and adaptive immunity and are known for their high plasticity in response to various external signals. Macrophages are involved in regulating systematic iron homeostasis and they sequester iron by phagocytotic activity, which triggers M1 macrophage polarization and typically exerts antitumor effects. We previously developed a novel cryo-thermal therapy that can induce the mass release of tumor antigens and damage-associated molecular patterns (DAMPs), promoting M1 macrophage polarization. However, that study did not examine whether iron released after cryo-thermal therapy induced M1 macrophage polarization; this question still needed to be addressed. We hypothesized that cryo-thermal therapy would cause the release of a large quantity of iron to augment M1 macrophage polarization due to the disruption of tumor cells and blood vessels, which would further enhance antitumor immunity. In this study, we investigated iron released in primary tumors, the level of iron in splenic macrophages after cryo-thermal therapy and the effect of iron on macrophage polarization and CD4 T cell differentiation in metastatic 4T1 murine mammary carcinoma. We found that a large amount of iron was released after cryo-thermal therapy and could be taken up by splenic macrophages, which further promoted M1 macrophage polarization by inhibiting ERK phosphorylation. Moreover, iron promoted DC maturation, which was possibly mediated by iron-induced M1 macrophages. In addition, iron-induced M1 macrophages and mature DCs promoted the differentiation of CD4 T cells into the CD4 cytolytic T lymphocytes (CTL) subset and inhibited differentiation into Th2 and Th17 cells. This study explains the role of iron in cryo-thermal therapy-induced antitumor immunity from a new perspective.

摘要

巨噬细胞在先天免疫和适应性免疫中发挥着关键作用,其对各种外部信号的高可塑性是众所周知的。巨噬细胞参与调节系统性铁稳态,它们通过吞噬作用摄取铁,这会引发 M1 巨噬细胞极化,并通常发挥抗肿瘤作用。我们之前开发了一种新型的冷冻-热疗,可以诱导肿瘤抗原和损伤相关分子模式(DAMPs)的大量释放,促进 M1 巨噬细胞极化。然而,该研究并未检查冷冻-热疗后释放的铁是否诱导 M1 巨噬细胞极化;这个问题仍需要解决。我们假设冷冻-热疗会由于肿瘤细胞和血管的破坏而释放大量的铁,从而增强 M1 巨噬细胞极化,进而进一步增强抗肿瘤免疫。在这项研究中,我们研究了原发性肿瘤中释放的铁、冷冻-热疗后脾脏巨噬细胞中的铁水平以及铁对转移性 4T1 鼠乳腺肿瘤中巨噬细胞极化和 CD4 T 细胞分化的影响。我们发现冷冻-热疗后会释放大量的铁,并且可以被脾脏巨噬细胞摄取,这进一步通过抑制 ERK 磷酸化促进 M1 巨噬细胞极化。此外,铁促进了 DC 的成熟,这可能是由铁诱导的 M1 巨噬细胞介导的。此外,铁诱导的 M1 巨噬细胞和成熟的 DC 促进了 CD4 T 细胞向 CD4 细胞毒性 T 淋巴细胞(CTL)亚群的分化,并抑制了向 Th2 和 Th17 细胞的分化。这项研究从一个新的角度解释了铁在冷冻-热疗诱导的抗肿瘤免疫中的作用。

https://cdn.ncbi.nlm.nih.gov/pmc/blobs/f0bc/8268875/c1b247fd6c06/ijms-22-07010-g008.jpg
https://cdn.ncbi.nlm.nih.gov/pmc/blobs/f0bc/8268875/1cd04ae491ab/ijms-22-07010-g001.jpg
https://cdn.ncbi.nlm.nih.gov/pmc/blobs/f0bc/8268875/02517429b432/ijms-22-07010-g002.jpg
https://cdn.ncbi.nlm.nih.gov/pmc/blobs/f0bc/8268875/1677b3fd61b4/ijms-22-07010-g003.jpg
https://cdn.ncbi.nlm.nih.gov/pmc/blobs/f0bc/8268875/24328afe2eef/ijms-22-07010-g004.jpg
https://cdn.ncbi.nlm.nih.gov/pmc/blobs/f0bc/8268875/45e872e33adf/ijms-22-07010-g005.jpg
https://cdn.ncbi.nlm.nih.gov/pmc/blobs/f0bc/8268875/83a7d5e28be7/ijms-22-07010-g006.jpg
https://cdn.ncbi.nlm.nih.gov/pmc/blobs/f0bc/8268875/029eff3a802c/ijms-22-07010-g007.jpg
https://cdn.ncbi.nlm.nih.gov/pmc/blobs/f0bc/8268875/c1b247fd6c06/ijms-22-07010-g008.jpg
https://cdn.ncbi.nlm.nih.gov/pmc/blobs/f0bc/8268875/1cd04ae491ab/ijms-22-07010-g001.jpg
https://cdn.ncbi.nlm.nih.gov/pmc/blobs/f0bc/8268875/02517429b432/ijms-22-07010-g002.jpg
https://cdn.ncbi.nlm.nih.gov/pmc/blobs/f0bc/8268875/1677b3fd61b4/ijms-22-07010-g003.jpg
https://cdn.ncbi.nlm.nih.gov/pmc/blobs/f0bc/8268875/24328afe2eef/ijms-22-07010-g004.jpg
https://cdn.ncbi.nlm.nih.gov/pmc/blobs/f0bc/8268875/45e872e33adf/ijms-22-07010-g005.jpg
https://cdn.ncbi.nlm.nih.gov/pmc/blobs/f0bc/8268875/83a7d5e28be7/ijms-22-07010-g006.jpg
https://cdn.ncbi.nlm.nih.gov/pmc/blobs/f0bc/8268875/029eff3a802c/ijms-22-07010-g007.jpg
https://cdn.ncbi.nlm.nih.gov/pmc/blobs/f0bc/8268875/c1b247fd6c06/ijms-22-07010-g008.jpg

相似文献

1
Iron Released after Cryo-Thermal Therapy Induced M1 Macrophage Polarization, Promoting the Differentiation of CD4 T Cells into CTLs.低温热疗诱导 M1 巨噬细胞极化后释放的铁离子促进 CD4 T 细胞向 CTL 分化。
Int J Mol Sci. 2021 Jun 29;22(13):7010. doi: 10.3390/ijms22137010.
2
Cryo-thermal therapy inducing MI macrophage polarization created CXCL10 and IL-6-rich pro-inflammatory environment for CD4 T cell-mediated anti-tumor immunity.冷冻-热疗诱导 MI 巨噬细胞极化,为 CD4 T 细胞介导的抗肿瘤免疫创造富含 CXCL10 和 IL-6 的促炎环境。
Int J Hyperthermia. 2019;36(1):408-420. doi: 10.1080/02656736.2019.1579373. Epub 2019 Mar 20.
3
A role of eosinophils in mediating the anti-tumour effect of cryo-thermal treatment.嗜酸性粒细胞在介导冷冻-热疗抗肿瘤作用中的作用。
Sci Rep. 2019 Sep 13;9(1):13214. doi: 10.1038/s41598-019-49734-5.
4
Tumor-related HSP70 released after cryo-thermal therapy targeted innate immune initiation in the antitumor immune response.冷冻-热疗靶向固有免疫起始后肿瘤相关 HSP70 释放增强抗肿瘤免疫反应。
Int J Hyperthermia. 2020;37(1):843-853. doi: 10.1080/02656736.2020.1788173.
5
Cryo-thermal therapy induces macrophage polarization for durable anti-tumor immunity.冷冻-热疗诱导巨噬细胞极化以产生持久的抗肿瘤免疫。
Cell Death Dis. 2019 Mar 4;10(3):216. doi: 10.1038/s41419-019-1459-7.
6
Supplementation with Serum-Derived Extracellular Vesicles Reinforces Antitumor Immunity Induced by Cryo-Thermal Therapy.血清衍生细胞外囊泡补充剂增强冷冻热疗诱导的抗肿瘤免疫。
Int J Mol Sci. 2021 Oct 13;22(20):11021. doi: 10.3390/ijms222011021.
7
Cyclic AMP Pathway Suppress Autoimmune Neuroinflammation by Inhibiting Functions of Encephalitogenic CD4 T Cells and Enhancing M2 Macrophage Polarization at the Site of Inflammation.环磷酸腺苷通路通过抑制致脑炎 CD4 T 细胞的功能和增强炎症部位的 M2 巨噬细胞极化来抑制自身免疫性神经炎症。
Front Immunol. 2018 Jan 25;9:50. doi: 10.3389/fimmu.2018.00050. eCollection 2018.
8
Hyperoside Suppresses Renal Inflammation by Regulating Macrophage Polarization in Mice With Type 2 Diabetes Mellitus.桃叶珊瑚苷通过调控 2 型糖尿病小鼠巨噬细胞极化抑制肾脏炎症。
Front Immunol. 2021 Dec 3;12:733808. doi: 10.3389/fimmu.2021.733808. eCollection 2021.
9
MiR-16 regulates mouse peritoneal macrophage polarization and affects T-cell activation.微小RNA-16调控小鼠腹腔巨噬细胞极化并影响T细胞活化。
J Cell Mol Med. 2016 Oct;20(10):1898-907. doi: 10.1111/jcmm.12882. Epub 2016 May 31.
10
The cryo-thermal therapy eradicated melanoma in mice by eliciting CD4 T-cell-mediated antitumor memory immune response.冷冻热疗法通过引发CD4 T细胞介导的抗肿瘤记忆免疫反应,根除了小鼠体内的黑色素瘤。
Cell Death Dis. 2017 Mar 23;8(3):e2703. doi: 10.1038/cddis.2017.125.

引用本文的文献

1
A novel HVEM-Fc recombinant protein for lung cancer immunotherapy.一种用于肺癌免疫治疗的新型HVEM-Fc重组蛋白。
J Exp Clin Cancer Res. 2025 Feb 20;44(1):62. doi: 10.1186/s13046-025-03324-8.
2
Targeting and activation of macrophages in leishmaniasis. A focus on iron oxide nanoparticles.利什曼病中巨噬细胞的靶向和激活。聚焦氧化铁纳米颗粒。
Front Immunol. 2024 Aug 15;15:1437430. doi: 10.3389/fimmu.2024.1437430. eCollection 2024.
3
The roles of essential trace elements in T cell biology.必需微量元素在 T 细胞生物学中的作用。

本文引用的文献

1
Crosstalk between Macrophages, T Cells, and Iron Metabolism in Tumor Microenvironment.肿瘤微环境中巨噬细胞、T 细胞和铁代谢之间的串扰。
Oxid Med Cell Longev. 2021 Feb 2;2021:8865791. doi: 10.1155/2021/8865791. eCollection 2021.
2
The outstanding antitumor capacity of CD4 T helper lymphocytes.CD4 辅助性 T 淋巴细胞的突出抗肿瘤能力。
Biochim Biophys Acta Rev Cancer. 2020 Dec;1874(2):188439. doi: 10.1016/j.bbcan.2020.188439. Epub 2020 Sep 24.
3
Neoantigen-specific CD4 T-cell response is critical for the therapeutic efficacy of cryo-thermal therapy.
J Cell Mol Med. 2024 May;28(10):e18390. doi: 10.1111/jcmm.18390.
4
Natural Killer Cells Reprogram Myeloid-Derived Suppressor Cells to Induce TNF-α Release via NKG2D-Ligand Interaction after Cryo-Thermal Therapy.自然杀伤细胞通过 NKG2D 配体相互作用重编程髓源性抑制细胞,以诱导冷冻-热疗后 TNF-α 的释放。
Int J Mol Sci. 2024 May 9;25(10):5151. doi: 10.3390/ijms25105151.
5
Immunometabolism changes in fibrosis: from mechanisms to therapeutic strategies.纤维化中的免疫代谢变化:从机制到治疗策略
Front Pharmacol. 2023 Jul 27;14:1243675. doi: 10.3389/fphar.2023.1243675. eCollection 2023.
6
Role of neutrophil extracellular traps in inflammatory evolution in severe acute pancreatitis.中性粒细胞胞外诱捕网在重症急性胰腺炎炎症演变中的作用。
Chin Med J (Engl). 2022 Dec 5;135(23):2773-2784. doi: 10.1097/CM9.0000000000002359.
7
Activated NK cells reprogram MDSCs via NKG2D-NKG2DL and IFN-γ to modulate antitumor T-cell response after cryo-thermal therapy.激活的 NK 细胞通过 NKG2D-NKG2DL 和 IFN-γ 重编程 MDSCs,以调节冷冻-热疗后抗肿瘤 T 细胞反应。
J Immunother Cancer. 2022 Dec;10(12). doi: 10.1136/jitc-2022-005769.
8
Synergetic Thermal Therapy for Cancer: State-of-the-Art and the Future.癌症的协同热疗:现状与未来
Bioengineering (Basel). 2022 Sep 15;9(9):474. doi: 10.3390/bioengineering9090474.
9
Iron Metabolism and Immune Regulation.铁代谢与免疫调节。
Front Immunol. 2022 Mar 23;13:816282. doi: 10.3389/fimmu.2022.816282. eCollection 2022.
10
Applications of Magnetite Nanoparticles in Cancer Immunotherapies: Present Hallmarks and Future Perspectives.磁性纳米粒子在癌症免疫治疗中的应用:现状与未来展望。
Front Immunol. 2021 Oct 4;12:701485. doi: 10.3389/fimmu.2021.701485. eCollection 2021.
针对新抗原的 CD4 T 细胞反应对于冷冻-热疗的治疗效果至关重要。
J Immunother Cancer. 2020 Sep;8(2). doi: 10.1136/jitc-2019-000421.
4
Tumor-related HSP70 released after cryo-thermal therapy targeted innate immune initiation in the antitumor immune response.冷冻-热疗靶向固有免疫起始后肿瘤相关 HSP70 释放增强抗肿瘤免疫反应。
Int J Hyperthermia. 2020;37(1):843-853. doi: 10.1080/02656736.2020.1788173.
5
Microenvironmental Th9 and Th17 lymphocytes induce metastatic spreading in lung cancer.微环境中的 Th9 和 Th17 淋巴细胞可诱导肺癌的转移扩散。
J Clin Invest. 2020 Jul 1;130(7):3560-3575. doi: 10.1172/JCI124037.
6
LncRNA modulates M2 macrophage activation and inflammatory diseases by epigenetic promotion of PTPRE.LncRNA 通过表观遗传促进 PTPRE 调节 M2 巨噬细胞激活和炎症性疾病。
Sci Adv. 2019 Dec 11;5(12):eaax9230. doi: 10.1126/sciadv.aax9230. eCollection 2019 Dec.
7
A role of eosinophils in mediating the anti-tumour effect of cryo-thermal treatment.嗜酸性粒细胞在介导冷冻-热疗抗肿瘤作用中的作用。
Sci Rep. 2019 Sep 13;9(1):13214. doi: 10.1038/s41598-019-49734-5.
8
Iron accumulation in tumor-associated macrophages marks an improved overall survival in patients with lung adenocarcinoma.肿瘤相关巨噬细胞中的铁积累标志着肺腺癌患者的总体生存改善。
Sci Rep. 2019 Aug 5;9(1):11326. doi: 10.1038/s41598-019-47833-x.
9
Cryo-thermal therapy inducing MI macrophage polarization created CXCL10 and IL-6-rich pro-inflammatory environment for CD4 T cell-mediated anti-tumor immunity.冷冻-热疗诱导 MI 巨噬细胞极化,为 CD4 T 细胞介导的抗肿瘤免疫创造富含 CXCL10 和 IL-6 的促炎环境。
Int J Hyperthermia. 2019;36(1):408-420. doi: 10.1080/02656736.2019.1579373. Epub 2019 Mar 20.
10
Cryo-thermal therapy induces macrophage polarization for durable anti-tumor immunity.冷冻-热疗诱导巨噬细胞极化以产生持久的抗肿瘤免疫。
Cell Death Dis. 2019 Mar 4;10(3):216. doi: 10.1038/s41419-019-1459-7.