Suppr超能文献

新冠疫情期间草药免疫增强剂所致肝损伤——病例系列

Herbal Immune Booster-Induced Liver Injury in the COVID-19 Pandemic - A Case Series.

作者信息

Nagral Aabha, Adhyaru Kunal, Rudra Omkar S, Gharat Amit, Bhandare Sonal

机构信息

Department of Gastroenterology, Jaslok Hospital and Research Centre, Mumbai, India.

Department of Gastroenterology, Apollo Hospital, Navi Mumbai, India.

出版信息

J Clin Exp Hepatol. 2021 Nov-Dec;11(6):732-738. doi: 10.1016/j.jceh.2021.06.021. Epub 2021 Jul 2.

Abstract

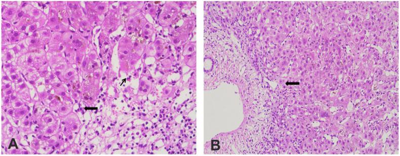
The COVID-19 pandemic has resulted in widespread use of complementary and alternative medicines. Tinospora cordifolia is a widely grown shrub which has been commonly used in India's traditional system of Ayurveda for its immune booster properties and has been extensively used as prophylaxis against COVID-19. Six patients (4 women, 2 men) with a median (IQR) age of 55 years (45-56) and with an history of Tinospora cordifolia consumption presented with symptoms of acute hepatitis during the study period of 4 months in the COVID-19 pandemic. The median (IQR) duration of Tinospora cordifolia consumption was 90 days (21-210). The median (IQR) peak bilirubin and AST were 17.5 mg/dl (12.2-24.9) and 1350 IU/ml (1099-1773), respectively. The patients had either a definite (n = 4) or probable (n = 2) revised autoimmune hepatitis score with an autoimmune pattern of drug-induced liver injury on biopsy. Four of these patients (all women) had underlying silent chronic liver disease of possible autoimmune etiology associated with other autoimmune diseases - hypothyroidism and type 2 diabetes mellitus. One of the three patients treated with steroids decompensated on steroid tapering. The other five patients had resolution of symptoms, liver profile, and autoimmune serological markers on drug withdrawal/continuing steroid treatment. The median (IQR) time to resolution from discontinuing the herb was 86.5 days (53-111). Tinospora cordifolia consumption seems to induce an autoimmune-like hepatitis or unmask an underlying autoimmune chronic liver disease, which may support its immune stimulant mechanism. However, the same mechanism can cause significant liver toxicity, and we recommend that caution be exercised in the use of this herb, especially in those predisposed to autoimmune disorders. Besides, in patients presenting with acute hepatitis, even in the presence of autoimmune markers, a detailed complementary and alternative medicine history needs to be elicited.

摘要

2019冠状病毒病大流行导致补充和替代药物的广泛使用。匙羹藤是一种广泛种植的灌木,在印度阿育吠陀传统医学体系中因其增强免疫力的特性而被广泛使用,并被广泛用于预防2019冠状病毒病。在2019冠状病毒病大流行的4个月研究期间,6名患者(4名女性,2名男性),中位(四分位间距)年龄为55岁(45 - 56岁),有匙羹藤服用史,出现急性肝炎症状。匙羹藤的中位(四分位间距)服用时间为90天(21 - 210天)。中位(四分位间距)胆红素峰值和谷草转氨酶分别为17.5mg/dl(12.2 - 24.9)和1350IU/ml(1099 - 1773)。这些患者经活检显示药物性肝损伤的自身免疫模式,修订的自身免疫性肝炎评分明确(n = 4)或可能(n = 2)。其中4名患者(均为女性)有潜在的可能由自身免疫病因引起的无症状慢性肝病,并伴有其他自身免疫性疾病——甲状腺功能减退和2型糖尿病。3名接受类固醇治疗的患者中有1名在类固醇减量时病情恶化。其他5名患者在停药/继续类固醇治疗后症状、肝功能和自身免疫血清学标志物得到缓解。停止服用该草药后症状缓解的中位(四分位间距)时间为86.5天(53 - 111天)。匙羹藤的服用似乎会诱发自身免疫样肝炎或使潜在的自身免疫性慢性肝病显现出来,这可能支持其免疫刺激机制。然而,同样的机制可能会导致严重的肝毒性,我们建议在使用这种草药时要谨慎,尤其是在那些易患自身免疫性疾病的人群中。此外,对于出现急性肝炎的患者,即使存在自身免疫标志物,也需要详细询问补充和替代药物服用史。

https://cdn.ncbi.nlm.nih.gov/pmc/blobs/c47d/8617541/006e127ed93b/gr1.jpg

文献AI研究员

20分钟写一篇综述,助力文献阅读效率提升50倍。

立即体验

用中文搜PubMed

大模型驱动的PubMed中文搜索引擎

马上搜索

文档翻译

学术文献翻译模型,支持多种主流文档格式。

立即体验