Suppr超能文献

鼻腔正畸微型种植体导致经鼻气管插管期间气管导管套囊反复撕裂——一例报告

Repeated endotracheal tube cuff tears during nasotracheal intubation due to nasal cavity orthodontic micro-implant - A case report.

作者信息

Seo Su Hyun, Lee Jun Mo, Lee Je Jin, Ahn Eun Jin, Choi Geun Joo, Kang Hyun

机构信息

Department of Anesthesiology and Pain Medicine, Chung-Ang University College of Medicine, Seoul, Korea.

出版信息

Anesth Pain Med (Seoul). 2021 Oct;16(4):398-402. doi: 10.17085/apm.21015. Epub 2021 Jul 5.

Abstract

BACKGROUND

Nasotracheal intubation is generally performed for intraoral surgery.

CASE

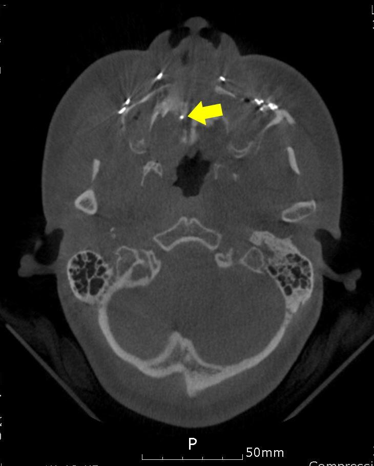
A 34-year-old female patient who underwent orthognathic surgery exhibited repeated endotracheal tube cuff tears during nasotracheal intubation. After intubation, leaks developed, and torn endotracheal cuff was observed in the removed endotracheal tube. Subsequently, re-intubation through the same nasal cavity was performed immediately, but leakage from the torn endotracheal tube cuff was re-observed. A leakage test of the extubated tube revealed air bubbles and leaks near the tube cuff due to the tear. Nasotracheal intubation was performed through the other nasal cavity, and there were no leakage findings or abnormalities. During the course of the surgery, the surgeon noticed that the orthodontic micro-implant deposited in the mid-tube cavity was exposed to the nasal cavity.

CONCLUSIONS

We aimed to emphasize caution and discuss the possibility that orthodontic micro-implants that are not confirmed during preoperative evaluation may cause repeated endotracheal tube cuff tears.

摘要

背景

鼻气管插管通常用于口腔内手术。

病例

一名34岁接受正颌手术的女性患者在鼻气管插管期间出现反复的气管导管套囊撕裂。插管后出现漏气,在取出的气管导管中观察到套囊撕裂。随后,立即通过同一鼻腔重新插管,但再次观察到气管导管套囊撕裂处漏气。对拔出的导管进行漏气测试,发现由于撕裂,导管套囊附近有气泡和漏气。通过另一侧鼻腔进行鼻气管插管,未发现漏气或异常情况。在手术过程中,外科医生注意到置于中管腔内的正畸微种植体暴露于鼻腔。

结论

我们旨在强调谨慎,并讨论术前评估未确认的正畸微种植体可能导致反复气管导管套囊撕裂的可能性。

https://cdn.ncbi.nlm.nih.gov/pmc/blobs/f100/8828625/8501a1b766ab/apm-21015f1.jpg

文献AI研究员

20分钟写一篇综述,助力文献阅读效率提升50倍。

立即体验

用中文搜PubMed

大模型驱动的PubMed中文搜索引擎

马上搜索

文档翻译

学术文献翻译模型,支持多种主流文档格式。

立即体验