Suppr超能文献

小鼠子宫内膜上皮中的葡萄糖转运蛋白4:在胚胎发育和着床中的作用

GLUT4 in Mouse Endometrial Epithelium: Roles in Embryonic Development and Implantation.

作者信息

Long Yun, Wang Yi-Cheng, Yuan Dong-Zhi, Dai Xin-Hua, Liao Lin-Chuan, Zhang Xue-Qin, Zhang Li-Xue, Ma Yong-Dan, Lei Yi, Cui Zhi-Hui, Zhang Jin-Hu, Nie Li, Yue Li-Min

机构信息

Department of Physiology, West China School of Basic Medical Sciences and Forensic Medicine, Sichuan University, Chengdu, China.

Department of Physiology, Chongqing Three Gorges Medical College, Chongqing, China.

出版信息

Front Physiol. 2021 Jun 25;12:674924. doi: 10.3389/fphys.2021.674924. eCollection 2021.

Abstract

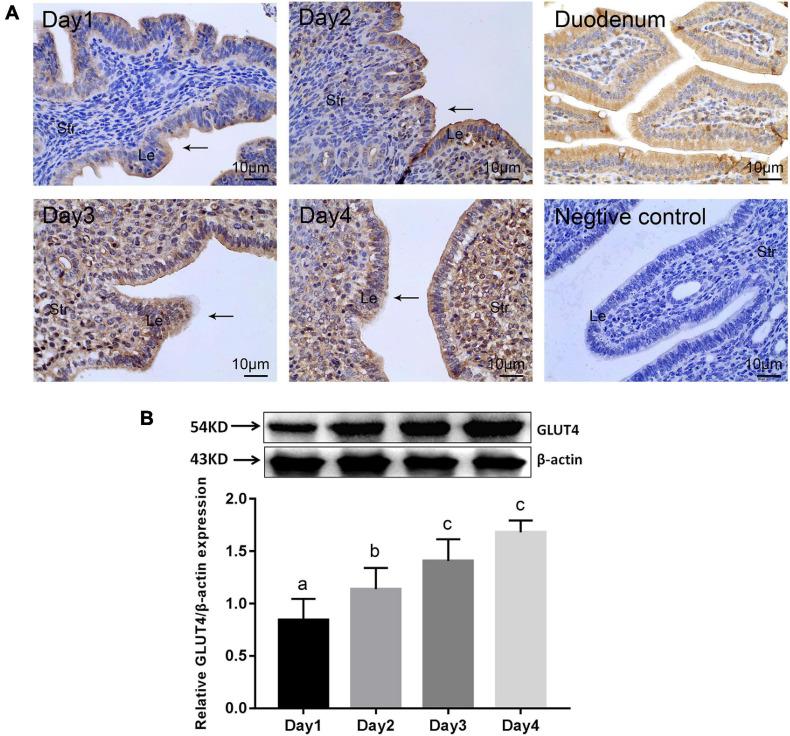
GLUT4 is involved in rapid glucose uptake among various kinds of cells to contribute to glucose homeostasis. Prior data have reported that aberrant glucose metabolism by GLUT4 dysfunction in the uterus could be responsible for infertility and increased miscarriage. However, the expression and precise functions of GLUT4 in the endometrium under physiological conditions remain unknown or controversial. In this study, we observed that GLUT4 exhibits a spatiotemporal expression in mouse uterus on pregnant days 1-4; its expression especially increased on pregnant day 4 during the window of implantation. We also determined that estrogen, in conjunction with progesterone, promotes the expression of GLUT4 in the endometrial epithelium or . GLUT4 is an important transporter that mediates glucose transport in endometrial epithelial cells (EECs) or . , glucose uptake decreased in mouse EECs when the cells were treated with GLUT4 small interfering RNA (siRNA). , the injection of GLUT4-siRNA into one side of the mouse uterine horns resulted in an increased glucose concentration in the uterine fluid on pregnant day 4, although it was still lower than in blood, and impaired endometrial receptivity by inhibiting pinopode formation and the expressions of leukemia inhibitory factor (LIF) and integrin ανβ3, finally affecting embryonic development and implantation. Overall, the obtained results indicate that GLUT4 in the endometrial epithelium affects embryo development by altering glucose concentration in the uterine fluid. It can also affect implantation by impairing endometrial receptivity due to dysfunction of GLUT4.

摘要

葡萄糖转运蛋白4(GLUT4)参与多种细胞的快速葡萄糖摄取,以维持葡萄糖稳态。先前的数据报道,子宫中GLUT4功能障碍导致的异常葡萄糖代谢可能是不孕和流产增加的原因。然而,在生理条件下,GLUT4在子宫内膜中的表达及确切功能仍不清楚或存在争议。在本研究中,我们观察到GLUT4在妊娠第1 - 4天的小鼠子宫中呈现时空表达;在植入窗口期的妊娠第4天其表达尤其增加。我们还确定,雌激素与孕酮共同作用可促进子宫内膜上皮细胞中GLUT4的表达。GLUT4是一种重要的转运蛋白,介导子宫内膜上皮细胞(EECs)中的葡萄糖转运。当用GLUT4小干扰RNA(siRNA)处理小鼠EECs时,葡萄糖摄取减少。此外,将GLUT4 - siRNA注射到小鼠子宫角的一侧,导致妊娠第4天子宫液中葡萄糖浓度升高,尽管仍低于血液中的浓度,并通过抑制微绒毛形成以及白血病抑制因子(LIF)和整合素ανβ3的表达损害子宫内膜容受性,最终影响胚胎发育和植入。总体而言,所得结果表明子宫内膜上皮中的GLUT4通过改变子宫液中的葡萄糖浓度影响胚胎发育。它还可因GLUT4功能障碍损害子宫内膜容受性而影响植入。

https://cdn.ncbi.nlm.nih.gov/pmc/blobs/2d8c/8267529/f77e05de19de/fphys-12-674924-g001.jpg

文献AI研究员

20分钟写一篇综述,助力文献阅读效率提升50倍。

立即体验

用中文搜PubMed

大模型驱动的PubMed中文搜索引擎

马上搜索

文档翻译

学术文献翻译模型,支持多种主流文档格式。

立即体验