Suppr超能文献

一例具有混合特征、诊断具有挑战性的腮腺肿瘤。

A Diagnostically Challenging Parotid Gland Tumor With Hybrid Features.

作者信息

Hamilton Steven, Saleem Maleeha, Ali Mustafa, Kaplan Adam C, Mukkavilli Gopi

机构信息

Internal Medicine, Jersey Shore University Medical Center/Saint Francis Medical Center Program, Trenton, USA.

出版信息

Cureus. 2021 Jun 2;13(6):e15383. doi: 10.7759/cureus.15383. eCollection 2021 Jun.

Abstract

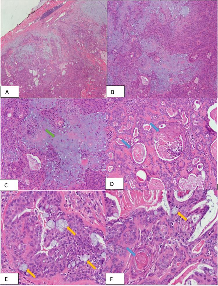
Salivary gland tumors are relatively uncommon with most being benign. When diagnosed the most common benign and malignant tumors are pleomorphic adenoma and mucoepidermoid carcinoma (MEC), respectively. However, not uncommonly, it is difficult to differentiate between the histopathological entities, leading to a diagnostic dilemma that can impact a patient's treatment and prognosis. A 24-year-old woman presented with a three-year history of asymptomatic left-sided facial swelling. She denied any prior history of head and neck radiation. There was no history of alcohol consumption or smoking exposure and there was no personal or family history of head and neck cancers. Additionally, she did not have any known occupational or environmental exposures. Due to the chronicity and painless nature of this facial mass, our patient did not pursue evaluation initially. Subsequently, she experienced an increase in size and pain for a few months exacerbated by swallowing. She had no other symptoms. On physical examination, a 3 x 3 cm left parotid gland mass was noted. There was no associated head or neck lymphadenopathy and compression of the left facial mass did not elicit secretions from the opening of Stensen's duct. Due to the rapid increase in size, she was sent for CT neck/soft tissue with contrast which confirmed a 3.56 x 2.67 cm solid nodule within the superficial portion of the left parotid gland. This was followed by an MRI orbit/face/neck with and without contrast, for further delineation, which demonstrated a 4 x 3.7 x 3 cm complex heterogeneous mass within the superficial left parotid gland. Thereafter the patient underwent an uncomplicated ultrasound-guided biopsy of the parotid mass. The histopathological appraisal concluded that this was a cellular pleomorphic adenoma, with mucinous and squamous metaplasia with reactive lymph nodes. Due to the new rapid increase in size and intense painful nature of this tumor, nerve-sparing left parotidectomy, fat grafting and reconstruction were completed. Cellular pleomorphic adenomas are benign low-grade neoplasms, typified as biphasic with both epithelial and myoepithelial components. However, they have increased cellularity and focally increased mitotic activity, not advanced enough to qualify as malignant. The presence of mucinous and squamous metaplasia is of diagnostic interest as it makes diagnosis on fine-needle aspiration (FNA) morphologically challenging. These findings are typical of MEC and on FNA can be misleading in the setting of a pleomorphic adenoma. However, on histopathological evaluation of the gross specimen along with immunohistochemical staining the diagnosis is made much easier. A diagnosis of MEC would have potentially required neck dissection and adjuvant therapy with a potential increased risk of morbidity and mortality. This case emphasises the importance of an adequate tissue biopsy in regards to parotid gland tumors to optimise a patient's care plan.

摘要

涎腺肿瘤相对少见,大多数为良性。确诊时,最常见的良性和恶性肿瘤分别是多形性腺瘤和黏液表皮样癌(MEC)。然而,区分组织病理学实体并不罕见地存在困难,导致诊断困境,这可能会影响患者的治疗和预后。一名24岁女性,有三年无症状左侧面部肿胀病史。她否认有任何头颈部放疗史。无饮酒或吸烟暴露史,也无头颈部癌症的个人或家族史。此外,她没有任何已知的职业或环境暴露史。由于这个面部肿物具有慢性和无痛性,我们的患者最初未寻求评估。随后,几个月来她经历了肿物增大和疼痛,吞咽时加重。她没有其他症状。体格检查发现左侧腮腺有一个3×3厘米的肿物。没有相关的头颈部淋巴结肿大,按压左侧面部肿物未引出斯滕森导管开口处的分泌物。由于肿物大小迅速增加,她被送去做颈部/软组织增强CT,结果证实左侧腮腺浅叶有一个3.56×2.67厘米的实性结节。随后进行了有对比剂和无对比剂的眼眶/面部/颈部MRI检查,以进一步明确,结果显示左侧腮腺浅叶有一个4×3.7×3厘米的复杂不均匀肿物。此后,患者接受了腮腺肿物的超声引导下活检,过程顺利。组织病理学评估结论为这是一个细胞性多形性腺瘤,伴有黏液样和鳞状化生以及反应性淋巴结。由于这个肿瘤新出现的迅速增大和剧烈疼痛的性质,完成了保留面神经的左侧腮腺切除术、脂肪移植和重建手术。细胞性多形性腺瘤是良性低度肿瘤,典型表现为双相性,具有上皮和肌上皮成分。然而,它们细胞增多且有局灶性有丝分裂活性增加,但尚未发展到足以诊断为恶性的程度。黏液样和鳞状化生的存在在诊断上具有重要意义,因为这使得细针穿刺抽吸(FNA)的形态学诊断具有挑战性。这些表现是MEC的典型特征,在FNA检查时,在多形性腺瘤的情况下可能会产生误导。然而,对大体标本进行组织病理学评估并结合免疫组化染色后,诊断会容易得多。MEC的诊断可能需要进行颈部清扫和辅助治疗,这可能会增加发病和死亡风险。这个病例强调了对于腮腺肿瘤进行充分组织活检以优化患者护理计划的重要性。

https://cdn.ncbi.nlm.nih.gov/pmc/blobs/8c79/8253480/6718f0a9c91a/cureus-0013-00000015383-i01.jpg

文献AI研究员

20分钟写一篇综述,助力文献阅读效率提升50倍。

立即体验

用中文搜PubMed

大模型驱动的PubMed中文搜索引擎

马上搜索

文档翻译

学术文献翻译模型,支持多种主流文档格式。

立即体验