Du Xian-Fa, Cui Hai-Tao, Pan He-Hai, Long Jun, Cui Hao-Wen, Chen Shun-Lun, Wang Jian-Ru, Li Ze-Min, Liu Hui, Huang Yong-Can, Wang Hua, Zheng Zhao-Min
Department of Spine Surgery, The First Affiliated Hospital of Sun Yat-sen University, Guangzhou, 510080, China.
Guangdong Provincial Key Laboratory of Malignant Tumor Epigenetics and Gene Regulation, Sun Yat-sen Memorial Hospital, Sun Yat-sen University, Guangzhou, 510080, China.
J Orthop Translat. 2021 Jun 19;29:123-133. doi: 10.1016/j.jot.2021.05.004. eCollection 2021 Jul.
Low back pain is a leading cause of disabilities worldwide, and intervertebral disc degeneration (IVDD)-related disorders have been recognised as one of the main contributors. Nevertheless, the underlying mechanism has not yet been fully understood. The aim of this study was to investigate the role of the miR-133a-5p/FBXO6 axis in the regulation of IVDD.
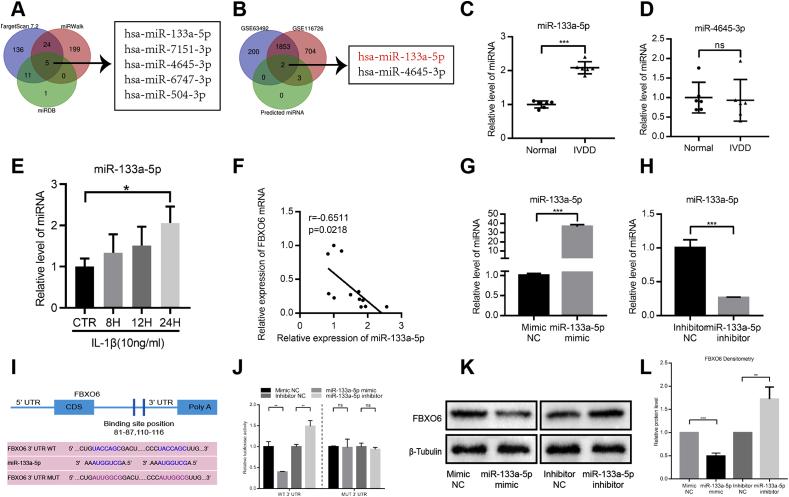
RT-qPCR, WB and IHC were performed to assess the expression of FBXO6 in human IVD tissues. Nucleus pulposus (NP) cells were treated with IL-1β to induce IVDD cellular model. Silence of FBXO6 was achieved using specific siRNAs. CCK-8 assay, flow cytometry, TUNEL assay, RT-qPCR and WB were used to evaluate the role and mechanism of FBXO6 in the process of IVDD. Online tools, GSE datasets and RT-qPCR were used to search the candidate miRNAs targeting FBXO6. The direct binding sites between FBXO6 and miR-133a-5p were further verified by a dual luciferase assay. RT-qPCR, WB and rescue experiments were conducted to identify the regulatory function of miR-133a-5p on the expression of aggrecan, collagen Ⅱ, MMP3, ADAMTS5, IL-6 and COX2. In addition, the role of the NF-κB pathway in regulating miR-133a-5p was studied using lentiviral shRNA, WB and RT-qPCR.
Results showed that FBXO6 mainly expressed in the NP tissue of IVD and the expression of FBXO6 decreased with the process of IVDD as well as under IL-1β stimulation. The silence of FBXO6 led to the decreased expression of aggrecan and collagen Ⅱ and the increased expression of MMP3, ADAMTS5, IL-6 and COX2, which further induced the degeneration of NP cells. The bioinformatic analysis showed that miR-133a-5p was the candidate miRNA targeting FBXO6. miR-133a-5p was upregulated in IVDD tissues and significantly inhibited the expression of FBXO6. The inhibition of miR-133a-5p ameliorated the acceleration of IVDD induced by the silence of FBXO6 in vitro. Moreover, it was demonstrated that IL-1β regulated the expression of the miR-133a-5p/FBXO6 axis via the NF-κB pathway in NP cells.
miR-133a-5p was upregulated by IL-1β to aggravate intervertebral disc degeneration via sponging FBXO6. Inhibiting miR-133a-5p expression or rescuing FBXO6 expression may be promising strategies for the treatment of IVDD.
This study suggests that the miR-133a-5p/FBXO6 axis could regulate NP cells proliferation, apoptosis, synthesis and degradation of extracellular matrix, which provides a promising therapeutic target and strategy for the treatment of IVDD.
腰背痛是全球致残的主要原因之一,椎间盘退变(IVDD)相关疾病被认为是主要促成因素之一。然而,其潜在机制尚未完全明确。本研究旨在探讨miR-133a-5p/FBXO6轴在IVDD调控中的作用。
采用RT-qPCR、WB和IHC检测人IVD组织中FBXO6的表达。用白细胞介素-1β(IL-1β)处理髓核(NP)细胞以诱导IVDD细胞模型。使用特异性小干扰RNA(siRNA)沉默FBXO6。采用CCK-8法、流式细胞术、TUNEL法、RT-qPCR和WB评估FBXO6在IVDD过程中的作用及机制。利用在线工具、GSE数据集和RT-qPCR搜索靶向FBXO6的候选微小RNA(miRNA)。通过双荧光素酶报告基因检测进一步验证FBXO6与miR-133a-5p之间的直接结合位点。进行RT-qPCR、WB和拯救实验以确定miR-133a-5p对聚集蛋白聚糖、Ⅱ型胶原、基质金属蛋白酶3(MMP3)、含血小板反应蛋白基序的解聚素样金属蛋白酶5(ADAMTS5)、白细胞介素-6(IL-6)和环氧化酶2(COX2)表达的调控作用。此外,利用慢病毒短发夹RNA(shRNA)、WB和RT-qPCR研究核因子κB(NF-κB)通路在调控miR-133a-5p中的作用。
结果显示,FBXO6主要在IVD的NP组织中表达,且随着IVDD进程以及在IL-1β刺激下FBXO6表达降低。FBXO6沉默导致聚集蛋白聚糖和Ⅱ型胶原表达降低,MMP3、ADAMTS5、IL-6和COX2表达增加,进而诱导NP细胞退变。生物信息学分析表明,miR-133a-5p是靶向FBXO6的候选miRNA。miR-133a-5p在IVDD组织中上调,并显著抑制FBXO6表达。抑制miR-133a-5p可改善体外因FBXO6沉默诱导的IVDD加速进程。此外,证明IL-1β通过NP细胞中的NF-κB通路调控miR-133a-5p/FBXO6轴的表达。
IL-1β上调miR-133a-5p,通过靶向FBXO6加重椎间盘退变。抑制miR-133a-5p表达或恢复FBXO6表达可能是治疗IVDD的有前景的策略。
本研究表明,miR-133a-5p/FBXO6轴可调节NP细胞增殖、凋亡、细胞外基质合成与降解,为IVDD治疗提供了有前景的治疗靶点和策略。