Suppr超能文献

以进行性心力衰竭和死亡为首发表现的NK/T细胞淋巴瘤:一例报告及文献复习

Progressive Heart Failure and Death as the Initial Manifestation of NK/T-Cell Lymphoma: A Case Report and Literature Review.

作者信息

Zhang Ziyu, Wang Shuai, Liang Qingchun, Peng Daoquan

机构信息

Department of Cardiovascular Medicine, The Second Xiangya Hospital, Central South University, Changsha, China.

Department of Pathology, The Second Xiangya Hospital, Central South Univerisity, Changsha, China.

出版信息

Front Cardiovasc Med. 2021 Jun 24;8:685736. doi: 10.3389/fcvm.2021.685736. eCollection 2021.

Abstract

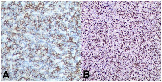
Natural killer/T-cell (NK/T-cell) lymphoma is a rare-type non-Hodgkin lymphoma derived from NK cells or cytotoxic T cells. Here, we present a case of a 40-year-old woman who experienced quick-developed global heart failure and then was diagnosed with NK/T-cell lymphoma through lymphoid biopsy. Neither transthoracic echocardiography nor any radiological images detected a mass in her heart or pericardium. Elevated plasma troponin level and diffused patchy areas of gadolinium late enhancement on cardiac magnetic resonance were compatible with myocarditis. Considering the persistently elevated cytokine level, systemic inflammation symptoms, acute respiratory distress syndrome, and cardiac dysfunction, a cytokine storm secondary to NK/T-cell lymphoma was considered. Due to the refractory malignant arrhythmia, the patient died soon after being admitted to our hospital.

摘要

自然杀伤/T细胞(NK/T细胞)淋巴瘤是一种源自NK细胞或细胞毒性T细胞的罕见类型非霍奇金淋巴瘤。在此,我们报告一例40岁女性病例,该患者迅速发展为全心衰,随后通过淋巴活检被诊断为NK/T细胞淋巴瘤。经胸超声心动图及任何影像学检查均未在其心脏或心包发现肿物。血浆肌钙蛋白水平升高以及心脏磁共振钆延迟强化的弥漫性片状区域与心肌炎相符。考虑到细胞因子水平持续升高、全身炎症症状、急性呼吸窘迫综合征及心脏功能障碍,考虑为NK/T细胞淋巴瘤继发的细胞因子风暴。由于难治性恶性心律失常,患者入院后不久死亡。

https://cdn.ncbi.nlm.nih.gov/pmc/blobs/520c/8264061/83e6225a4db2/fcvm-08-685736-g0001.jpg

文献AI研究员

20分钟写一篇综述,助力文献阅读效率提升50倍。

立即体验

用中文搜PubMed

大模型驱动的PubMed中文搜索引擎

马上搜索

文档翻译

学术文献翻译模型,支持多种主流文档格式。

立即体验