Suppr超能文献

糖皮质激素受体触发肺癌中具有获得性治疗脆弱性的可逆性耐药休眠状态。

Glucocorticoid receptor triggers a reversible drug-tolerant dormancy state with acquired therapeutic vulnerabilities in lung cancer.

机构信息

Division of Oncogenomics, Oncode Institute, The Netherlands Cancer Institute, Amsterdam, The Netherlands.

Division of Cell Biology, Oncode Institute, The Netherlands Cancer Institute, Amsterdam, The Netherlands.

出版信息

Nat Commun. 2021 Jul 16;12(1):4360. doi: 10.1038/s41467-021-24537-3.

Abstract

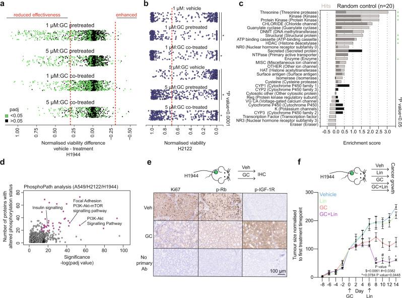
The glucocorticoid receptor (GR) regulates gene expression, governing aspects of homeostasis, but is also involved in cancer. Pharmacological GR activation is frequently used to alleviate therapy-related side-effects. While prior studies have shown GR activation might also have anti-proliferative action on tumours, the underpinnings of glucocorticoid action and its direct effectors in non-lymphoid solid cancers remain elusive. Here, we study the mechanisms of glucocorticoid response, focusing on lung cancer. We show that GR activation induces reversible cancer cell dormancy characterised by anticancer drug tolerance, and activation of growth factor survival signalling accompanied by vulnerability to inhibitors. GR-induced dormancy is dependent on a single GR-target gene, CDKN1C, regulated through chromatin looping of a GR-occupied upstream distal enhancer in a SWI/SNF-dependent fashion. These insights illustrate the importance of GR signalling in non-lymphoid solid cancer biology, particularly in lung cancer, and warrant caution for use of glucocorticoids in treatment of anticancer therapy related side-effects.

摘要

糖皮质激素受体(GR)调节基因表达,控制着内环境稳定的各个方面,但也与癌症有关。药理学上激活 GR 通常用于减轻治疗相关的副作用。虽然之前的研究表明,GR 激活也可能对肿瘤具有抗增殖作用,但糖皮质激素作用的基础及其在非淋巴实体瘤中的直接效应物仍不清楚。在这里,我们研究了糖皮质激素反应的机制,重点是肺癌。我们表明,GR 激活诱导可逆的肿瘤细胞休眠,其特征是抗癌药物耐药性,以及生长因子存活信号的激活,同时对抑制剂敏感。GR 诱导的休眠依赖于单个 GR 靶基因 CDKN1C,该基因通过 GR 占据的上游远端增强子的染色质环looping 以 SWI/SNF 依赖性方式进行调控。这些发现说明了 GR 信号在非淋巴实体瘤生物学中的重要性,特别是在肺癌中,因此在使用糖皮质激素治疗抗癌治疗相关副作用时需要谨慎。

https://cdn.ncbi.nlm.nih.gov/pmc/blobs/c99b/8285479/78ed7af6d959/41467_2021_24537_Fig1_HTML.jpg

文献AI研究员

20分钟写一篇综述,助力文献阅读效率提升50倍。

立即体验

用中文搜PubMed

大模型驱动的PubMed中文搜索引擎

马上搜索

文档翻译

学术文献翻译模型,支持多种主流文档格式。

立即体验