Suppr超能文献

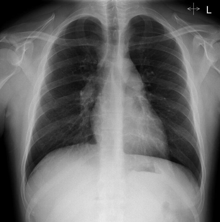
一名25岁男性出现进行性呼吸困难和弥漫性纵隔淋巴结肿大的有趣病例。

An interesting case of progressive dyspnoea and diffuse mediastinal adenopathy in a 25-year-old man.

作者信息

Cullivan Sarah, Morris Joseph, McCormack Ciara, Alameeri Amel, Gaine Sean P, McCullagh Brian

机构信息

National Pulmonary Hypertension Unit, Mater Misericordiae University Hospital, Dublin, Ireland.

School of Health & Human Performance, Dublin City University, Dublin, Ireland.

出版信息

Breathe (Sheff). 2021 Mar;17(1):200289. doi: 10.1183/20734735.0289-2020.

摘要

https://bit.ly/3cfe9pX. (此为网址,无法准确翻译为中文,保留原文即可)

https://cdn.ncbi.nlm.nih.gov/pmc/blobs/a69f/8291953/351a4bbd3b64/EDU-0289-2020.01.jpg

文献AI研究员

20分钟写一篇综述,助力文献阅读效率提升50倍。

立即体验

用中文搜PubMed

大模型驱动的PubMed中文搜索引擎

马上搜索

文档翻译

学术文献翻译模型,支持多种主流文档格式。

立即体验